• 文献检索
  • 文档翻译
  • 深度研究
  • 学术资讯
  • Suppr Zotero 插件Zotero 插件
  • 邀请有礼
  • 套餐&价格
  • 历史记录
应用&插件
Suppr Zotero 插件Zotero 插件浏览器插件Mac 客户端Windows 客户端微信小程序
定价
高级版会员购买积分包购买API积分包
服务
文献检索文档翻译深度研究API 文档MCP 服务
关于我们
关于 Suppr公司介绍联系我们用户协议隐私条款
关注我们

Suppr 超能文献

核心技术专利:CN118964589B侵权必究
粤ICP备2023148730 号-1Suppr @ 2026

文献检索

告别复杂PubMed语法,用中文像聊天一样搜索,搜遍4000万医学文献。AI智能推荐,让科研检索更轻松。

立即免费搜索

文件翻译

保留排版,准确专业,支持PDF/Word/PPT等文件格式,支持 12+语言互译。

免费翻译文档

深度研究

AI帮你快速写综述,25分钟生成高质量综述,智能提取关键信息,辅助科研写作。

立即免费体验

自身免疫性脑炎后嗅觉功能障碍与抗体类型及边缘系统磁共振成像病变的关系

Olfactory dysfunction after autoimmune encephalitis depending on the antibody type and limbic MRI pathologies.

作者信息

Hänsel Martin, Schmitz-Peiffer Henning, Hähner Antje, Reichmann Heinz, Schneider Hauke

机构信息

Department of Neurology, University of Dresden, Dresden, Germany.

Department of Internal Medicine, GZO - Zurich Regional Health Center, Wetzikon, Switzerland.

出版信息

Front Neurol. 2023 Aug 25;14:1225975. doi: 10.3389/fneur.2023.1225975. eCollection 2023.

DOI:10.3389/fneur.2023.1225975
PMID:37693764
原文链接:https://pmc.ncbi.nlm.nih.gov/articles/PMC10486887/
Abstract

OBJECTIVE

Patients' olfactory function after autoimmune encephalitis (AE) involving limbic structures may be impaired. This study aimed to characterize olfactory function in patients after autoimmune encephalitides.

METHODS

A case-control study was performed including 11 AE patients with antibodies against NMDAR ( = 4), GAD ( = 3), VGKC ( = 3) and antibody-negative AE ( = 1) and a control group of 12 patients with pneumococcal meningo-encephalitis (PC). In subgroup analyses, AE patients with and without NMDAR-antibodies were compared. Olfactory function was assessed using the Sniffin Sticks test and the resulting TDI-score (threshold, discrimination, identification). Involvement of limbic structures was evaluated on imaging data (MRI). Statistical analyses were performed to test for correlations of TDI-score and MRI results.

RESULTS

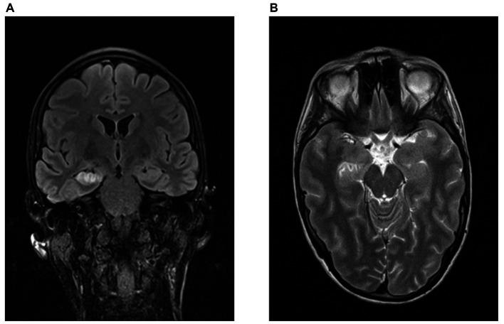
The overall olfactory function of the AE-group and the PC-group was comparable (mean TDI 32.0 [CI 27.3-36.7], 32.3 [CI 28.5-36.0)]. The proportions of hyposmic patients were similar compared to the general population. However, AE patients of the non-NMDAR group had significantly lower TDI-scores (28.9 ± 6,8) than NMDAR patients (37.4 ± 3.5) ( = 0.046) and a significantly lower discrimination capability than the NMDAR patients (9.9 ± 2.0 vs. 14.5 ± 0.6) ( = 0.002). The non-NMDAR patients had significantly more limbic MRI pathologies (6/7) compared to the NMDAR patients (0/4) ( = 0.015). Furthermore, a correlation between limbic MRI pathologies and worse capability of smelling discrimination was found ( = 0.016,  = -0.704,  = 11).

CONCLUSION

Our results indicate that patients with NMDAR autoimmune encephalitis have normal long term olfactory function. However, patients with non-NMDAR autoimmune encephalitis appear to have a persistently impaired olfactory function, probably mediated by encephalitic damage to limbic structures.

摘要

目的

自身免疫性脑炎(AE)累及边缘系统结构后患者的嗅觉功能可能受损。本研究旨在描述自身免疫性脑炎患者的嗅觉功能特征。

方法

进行了一项病例对照研究,纳入11例抗NMDAR(n = 4)、抗GAD(n = 3)、抗VGKC(n = 3)抗体阳性及抗体阴性的AE患者(n = 1),以及12例肺炎球菌性脑膜脑炎(PC)患者作为对照组。在亚组分析中,比较了有和没有NMDAR抗体的AE患者。使用嗅觉棒测试评估嗅觉功能,并得出TDI评分(阈值、辨别力、识别力)。根据影像学数据(MRI)评估边缘系统结构的受累情况。进行统计分析以检验TDI评分与MRI结果之间的相关性。

结果

AE组和PC组的总体嗅觉功能相当(平均TDI分别为32.0 [CI 27.3 - 36.7],32.3 [CI 28.5 - 36.0])。嗅觉减退患者的比例与一般人群相似。然而,非NMDAR组的AE患者的TDI评分(28.9±6.8)显著低于NMDAR患者(37.4±3.5)(p = 0.046),且辨别能力显著低于NMDAR患者(9.9±2.0对14.5±0.6)(p = 0.002)。与NMDAR患者(0/4)相比,非NMDAR患者有更多的边缘系统MRI病变(6/7)(p = 0.015)。此外,发现边缘系统MRI病变与嗅觉辨别能力较差之间存在相关性(p = 0.016,r = -0.704,n = 11)。

结论

我们的结果表明,NMDAR自身免疫性脑炎患者的长期嗅觉功能正常。然而,非NMDAR自身免疫性脑炎患者似乎存在持续受损的嗅觉功能,可能是由边缘系统结构的脑炎损伤介导的。

https://cdn.ncbi.nlm.nih.gov/pmc/blobs/47e8/10486887/f68e14ad97f3/fneur-14-1225975-g002.jpg
https://cdn.ncbi.nlm.nih.gov/pmc/blobs/47e8/10486887/5051ece17e35/fneur-14-1225975-g001.jpg
https://cdn.ncbi.nlm.nih.gov/pmc/blobs/47e8/10486887/f68e14ad97f3/fneur-14-1225975-g002.jpg
https://cdn.ncbi.nlm.nih.gov/pmc/blobs/47e8/10486887/5051ece17e35/fneur-14-1225975-g001.jpg
https://cdn.ncbi.nlm.nih.gov/pmc/blobs/47e8/10486887/f68e14ad97f3/fneur-14-1225975-g002.jpg

相似文献

1
Olfactory dysfunction after autoimmune encephalitis depending on the antibody type and limbic MRI pathologies.自身免疫性脑炎后嗅觉功能障碍与抗体类型及边缘系统磁共振成像病变的关系
Front Neurol. 2023 Aug 25;14:1225975. doi: 10.3389/fneur.2023.1225975. eCollection 2023.
2
Autoimmune epilepsy in children: case series and proposed guidelines for identification.儿童自身免疫性癫痫:病例系列研究与识别建议
Epilepsia. 2013 Jun;54(6):1036-45. doi: 10.1111/epi.12142. Epub 2013 Mar 28.
3
Olfactory and Gustatory Dysfunction in Patients With Autoimmune Encephalitis.自身免疫性脑炎患者的嗅觉和味觉功能障碍
Front Neurol. 2019 May 14;10:480. doi: 10.3389/fneur.2019.00480. eCollection 2019.
4
CSF-Neurofilament Light Chain Levels in NMDAR and LGI1 Encephalitis: A National Cohort Study.脑脊液神经丝轻链在 NMDAR 和 LGI1 脑炎中的水平:一项全国性队列研究。
Front Immunol. 2021 Dec 16;12:719432. doi: 10.3389/fimmu.2021.719432. eCollection 2021.
5
Pediatric Autoimmune Encephalitis: Case Series From Two Chinese Tertiary Pediatric Neurology Centers.儿童自身免疫性脑炎:来自中国两家三级儿童神经科中心的病例系列
Front Neurol. 2019 Aug 22;10:906. doi: 10.3389/fneur.2019.00906. eCollection 2019.
6
Seizure Semiology in Antibody-Associated Autoimmune Encephalitis.抗体相关性自身免疫性脑炎的发作症候学。
Neurol Neuroimmunol Neuroinflamm. 2022 Oct 20;9(6). doi: 10.1212/NXI.0000000000200034. Print 2022 Nov.
7
Olfactory impairment in autoimmune encephalitis: another piece of the puzzle.自身免疫性脑炎中的嗅觉障碍:谜题的另一片拼图。
J Neurol. 2022 May;269(5):2762-2768. doi: 10.1007/s00415-022-10959-6. Epub 2022 Jan 10.
8
Mimics of Autoimmune Encephalitis: Validation of the 2016 Clinical Autoimmune Encephalitis Criteria.自身免疫性脑炎模拟物:2016 年临床自身免疫性脑炎标准的验证。
Neurol Neuroimmunol Neuroinflamm. 2023 Aug 15;10(6). doi: 10.1212/NXI.0000000000200148. Print 2023 Nov.
9
Diagnostic value of CSF findings in antibody-associated limbic and anti-NMDAR-encephalitis.脑脊液检查在抗体相关性边缘叶脑炎和抗 NMDAR 脑炎中的诊断价值。
Seizure. 2013 Mar;22(2):136-40. doi: 10.1016/j.seizure.2012.12.013. Epub 2013 Jan 11.
10
Autoimmune encephalitis in a South Asian population.自身免疫性脑炎在南亚人群中的表现。
BMC Neurol. 2021 May 19;21(1):203. doi: 10.1186/s12883-021-02232-6.

引用本文的文献

1
Hippocampal dysfunction after autoimmune encephalitis depending on the antibody type.自身免疫性脑炎后海马功能障碍取决于抗体类型。
J Neurol. 2025 Feb 1;272(2):175. doi: 10.1007/s00415-024-12742-1.

本文引用的文献

1
Olfactory impairment in autoimmune encephalitis: another piece of the puzzle.自身免疫性脑炎中的嗅觉障碍:谜题的另一片拼图。
J Neurol. 2022 May;269(5):2762-2768. doi: 10.1007/s00415-022-10959-6. Epub 2022 Jan 10.
2
An update on anti-NMDA receptor encephalitis for neurologists and psychiatrists: mechanisms and models.神经科医生和精神科医生对抗 NMDA 受体脑炎的最新认识:发病机制和模型。
Lancet Neurol. 2019 Nov;18(11):1045-1057. doi: 10.1016/S1474-4422(19)30244-3. Epub 2019 Jul 17.
3
Olfactory and Gustatory Dysfunction in Patients With Autoimmune Encephalitis.
自身免疫性脑炎患者的嗅觉和味觉功能障碍
Front Neurol. 2019 May 14;10:480. doi: 10.3389/fneur.2019.00480. eCollection 2019.
4
Long-term neuropsychological outcome following pediatric anti-NMDAR encephalitis.儿童抗 NMDAR 脑炎的长期神经心理学结局。
Neurology. 2018 May 29;90(22):e1997-e2005. doi: 10.1212/WNL.0000000000005605. Epub 2018 Apr 27.
5
From VGKC to LGI1 and Caspr2 encephalitis: The evolution of a disease entity over time.从 VGKC 到 LGI1 和 Caspr2 脑炎:疾病实体随时间的演变。
Autoimmun Rev. 2016 Oct;15(10):970-4. doi: 10.1016/j.autrev.2016.07.018. Epub 2016 Jul 30.
6
Olfaction as a marker for depression.嗅觉障碍作为抑郁症的标志物。
J Neurol. 2017 Apr;264(4):631-638. doi: 10.1007/s00415-016-8227-8. Epub 2016 Jul 8.
7
A clinical approach to diagnosis of autoimmune encephalitis.自身免疫性脑炎的临床诊断方法
Lancet Neurol. 2016 Apr;15(4):391-404. doi: 10.1016/S1474-4422(15)00401-9. Epub 2016 Feb 20.
8
Volume of olfactory bulb and depth of olfactory sulcus in 378 consecutive patients with olfactory loss.378例连续性嗅觉减退患者的嗅球体积及嗅沟深度
J Neurol. 2015;262(4):1046-51. doi: 10.1007/s00415-015-7691-x. Epub 2015 Feb 26.
9
Limbic encephalitis due to GABAB and AMPA receptor antibodies: a case series.边缘性脑炎与 GABA B 和 AMPA 受体抗体:病例系列。
J Neurol Neurosurg Psychiatry. 2015 Sep;86(9):965-72. doi: 10.1136/jnnp-2014-308814. Epub 2014 Oct 9.
10
Persistent anterograde amnesia following limbic encephalitis associated with antibodies to the voltage-gated potassium channel complex.持续性顺行性遗忘症伴边缘性脑炎和电压门控钾通道复合物抗体相关。
J Neurol Neurosurg Psychiatry. 2014 Apr;85(4):387-91. doi: 10.1136/jnnp-2013-306724. Epub 2014 Jan 8.