• 文献检索
  • 文档翻译
  • 深度研究
  • 学术资讯
  • Suppr Zotero 插件Zotero 插件
  • 邀请有礼
  • 套餐&价格
  • 历史记录
应用&插件
Suppr Zotero 插件Zotero 插件浏览器插件Mac 客户端Windows 客户端微信小程序
定价
高级版会员购买积分包购买API积分包
服务
文献检索文档翻译深度研究API 文档MCP 服务
关于我们
关于 Suppr公司介绍联系我们用户协议隐私条款
关注我们

Suppr 超能文献

核心技术专利:CN118964589B侵权必究
粤ICP备2023148730 号-1Suppr @ 2026

文献检索

告别复杂PubMed语法,用中文像聊天一样搜索,搜遍4000万医学文献。AI智能推荐,让科研检索更轻松。

立即免费搜索

文件翻译

保留排版,准确专业,支持PDF/Word/PPT等文件格式,支持 12+语言互译。

免费翻译文档

深度研究

AI帮你快速写综述,25分钟生成高质量综述,智能提取关键信息,辅助科研写作。

立即免费体验

化疗药物对肝脏微环境的影响:奥沙利铂造成有利于转移的环境。

Impact of chemotherapeutic agents on liver microenvironment: oxaliplatin create a pro-metastatic landscape.

机构信息

Center of Biotherapy, Beijing Hospital, National Center of Gerontology; Institute of Geriatric Medicine, Chinese Academy of Medical Sciences, Graduate School of Peking Union Medical College, Beijing, 100730, People's Republic of China.

Savaid Medical School, University of Chinese Academy of Sciences, Beijing, 100049, People's Republic of China.

出版信息

J Exp Clin Cancer Res. 2023 Sep 11;42(1):237. doi: 10.1186/s13046-023-02804-z.

DOI:10.1186/s13046-023-02804-z
PMID:37697332
原文链接:https://pmc.ncbi.nlm.nih.gov/articles/PMC10494354/
Abstract

BACKGROUND

Chemotherapeutic agents are used to control tumor proliferation. However, their influence in the pre-metastatic niche of target organs has not been well studied. Oxaliplatin (OXA) is a drug applied in standard treatments of colorectal cancer (CRC), while the direct effect of which on the pre-metastatic microenvironment of the liver remains unclear.

METHODS

Models of liver metastases were established with luciferase expressing CT26 cells in BALB/c and BALB/c-nude mice. Single-cell RNA Sequencing was performed to examine the immune microenvironment in the liver elicited by OXA. Immunofluorescence and flowcytometry were utilized to confirm the changes in the number of immune cells. LDH, CellTrace CFSE Cell Proliferation and apoptosis assays were conducted to explore the impact of OXA on T cells ex vivo. The correlation between chemotherapy-related lymphopenia and metastases was assessed by meta-analysis.

RESULTS

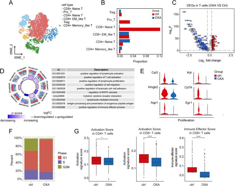
Herein we discovered that administration of OXA prior to the occurrence of liver metastasis actually accelerated tumor development and colonization in the liver. Single-cell RNA sequencing revealed that the landscape of the liver immune microenvironment had been changed to immunosuppressive phenotype. Macrophages after the treatment of OXA exhibited a high ability to inhibit the activation of T cells. Further investigation revealed a significant decrease in the number of T cells in the liver, particularly CD8 T cells with reduced capacity of proliferation, activation, and killing. When mice were treated with T cell supplementation, the OXA-induced metastasis was notably abolished, indicating that the OXA-primed liver microenvironment could be reversed by the infusion of T cells. Consistent with our findings in mice, a meta-analysis was performed to verify that chemotherapy-related lymphopenia was associated with an inferior prognosis related with high incidence of metastasis, suggesting the pivotal role of chemotherapy in pre-metastatic niche formation. Furthermore, a notable reduction in the count of both macrophages and T cells was observed in the liver of colorectal cancer (CRC) patient undergoing OXA-based chemotherapy.

CONCLUSIONS

Our findings proposed that immunosuppressive microenvironment in liver induced by OXA enhanced liver metastasis of colorectal cancer, which highlighted a new consideration to balance the pro metastases and anti-cancer possibility of OXA treatment.

摘要

背景

化疗药物用于控制肿瘤增殖。然而,它们在靶器官的转移前生态位中的影响尚未得到很好的研究。奥沙利铂(OXA)是一种用于结直肠癌(CRC)标准治疗的药物,但其对肝脏转移前微环境的直接影响尚不清楚。

方法

在 BALB/c 和 BALB/c-nude 小鼠中用表达荧光素酶的 CT26 细胞建立肝转移模型。进行单细胞 RNA 测序以检查 OXA 引起的肝脏免疫微环境中的免疫细胞。免疫荧光和流式细胞术用于确认免疫细胞数量的变化。LDH、CellTrace CFSE 细胞增殖和凋亡测定用于探索 OXA 对体外 T 细胞的影响。通过荟萃分析评估化疗相关淋巴细胞减少与转移之间的相关性。

结果

在此,我们发现,在肝转移发生之前给予 OXA 实际上会加速肿瘤在肝脏中的发展和定植。单细胞 RNA 测序显示,肝脏免疫微环境的景观已发生变化,呈现出免疫抑制表型。经 OXA 处理的巨噬细胞表现出抑制 T 细胞激活的高能力。进一步的研究表明,肝脏中的 T 细胞数量显著减少,特别是增殖、激活和杀伤能力降低的 CD8 T 细胞。当用 T 细胞补充治疗时,OXA 诱导的转移明显被消除,表明 OXA 预激活的肝脏微环境可以通过输注 T 细胞逆转。与我们在小鼠中的发现一致,进行了荟萃分析以验证化疗相关的淋巴细胞减少与高转移发生率相关的预后不良之间的关联,这表明化疗在转移前生态位形成中的关键作用。此外,在接受基于 OXA 的化疗的结直肠癌(CRC)患者的肝脏中观察到巨噬细胞和 T 细胞计数明显减少。

结论

我们的研究结果表明,OXA 诱导的肝脏免疫抑制微环境增强了结直肠癌的肝转移,这突显了在平衡 OXA 治疗的促转移和抗癌可能性方面的新考虑。

https://cdn.ncbi.nlm.nih.gov/pmc/blobs/c61d/10494354/ac7b304be4f5/13046_2023_2804_Fig7_HTML.jpg
https://cdn.ncbi.nlm.nih.gov/pmc/blobs/c61d/10494354/917f95e59cec/13046_2023_2804_Fig1_HTML.jpg
https://cdn.ncbi.nlm.nih.gov/pmc/blobs/c61d/10494354/9cf02dc5b780/13046_2023_2804_Fig2_HTML.jpg
https://cdn.ncbi.nlm.nih.gov/pmc/blobs/c61d/10494354/7d4ea51884f1/13046_2023_2804_Fig3_HTML.jpg
https://cdn.ncbi.nlm.nih.gov/pmc/blobs/c61d/10494354/4736eaabc768/13046_2023_2804_Fig4_HTML.jpg
https://cdn.ncbi.nlm.nih.gov/pmc/blobs/c61d/10494354/9054cc5b452a/13046_2023_2804_Fig5_HTML.jpg
https://cdn.ncbi.nlm.nih.gov/pmc/blobs/c61d/10494354/9350cc897bad/13046_2023_2804_Fig6_HTML.jpg
https://cdn.ncbi.nlm.nih.gov/pmc/blobs/c61d/10494354/ac7b304be4f5/13046_2023_2804_Fig7_HTML.jpg
https://cdn.ncbi.nlm.nih.gov/pmc/blobs/c61d/10494354/917f95e59cec/13046_2023_2804_Fig1_HTML.jpg
https://cdn.ncbi.nlm.nih.gov/pmc/blobs/c61d/10494354/9cf02dc5b780/13046_2023_2804_Fig2_HTML.jpg
https://cdn.ncbi.nlm.nih.gov/pmc/blobs/c61d/10494354/7d4ea51884f1/13046_2023_2804_Fig3_HTML.jpg
https://cdn.ncbi.nlm.nih.gov/pmc/blobs/c61d/10494354/4736eaabc768/13046_2023_2804_Fig4_HTML.jpg
https://cdn.ncbi.nlm.nih.gov/pmc/blobs/c61d/10494354/9054cc5b452a/13046_2023_2804_Fig5_HTML.jpg
https://cdn.ncbi.nlm.nih.gov/pmc/blobs/c61d/10494354/9350cc897bad/13046_2023_2804_Fig6_HTML.jpg
https://cdn.ncbi.nlm.nih.gov/pmc/blobs/c61d/10494354/ac7b304be4f5/13046_2023_2804_Fig7_HTML.jpg

相似文献

1
Impact of chemotherapeutic agents on liver microenvironment: oxaliplatin create a pro-metastatic landscape.化疗药物对肝脏微环境的影响:奥沙利铂造成有利于转移的环境。
J Exp Clin Cancer Res. 2023 Sep 11;42(1):237. doi: 10.1186/s13046-023-02804-z.
2
Unraveling the immune landscape and therapeutic biomarker PMEPA1 for oxaliplatin resistance in colorectal cancer: A comprehensive approach.解析结直肠癌奥沙利铂耐药的免疫图谱和治疗性生物标志物 PMEPA1:一种综合方法。
Biochem Pharmacol. 2024 Apr;222:116117. doi: 10.1016/j.bcp.2024.116117. Epub 2024 Mar 8.
3
Immune modulation of the liver metastatic colorectal cancer microenvironment via the oral CAPOX-mediated cGAS-STING pathway.通过口服 CAPOX 介导的 cGAS-STING 通路调节肝转移性结直肠癌的微环境。
Biomaterials. 2024 Oct;310:122625. doi: 10.1016/j.biomaterials.2024.122625. Epub 2024 May 25.
4
Suppression MGP inhibits tumor proliferation and reverses oxaliplatin resistance in colorectal cancer.抑制 MGP 可抑制结直肠癌细胞增殖并逆转奥沙利铂耐药性。
Biochem Pharmacol. 2021 Jul;189:114390. doi: 10.1016/j.bcp.2020.114390. Epub 2020 Dec 22.
5
Kruppel-like factor 5 enhances proliferation, lipid droplet formation and oxaliplatin resistance in colorectal cancer by promoting fatty acid binding protein 6 transcription.Kruppel 样因子 5 通过促进脂肪酸结合蛋白 6 的转录增强结直肠癌细胞的增殖、脂滴形成和奥沙利铂耐药性。
Anticancer Drugs. 2023 Nov 1;34(10):1171-1182. doi: 10.1097/CAD.0000000000001515. Epub 2023 Mar 10.
6
Targeting circ-0034880-enriched tumor extracellular vesicles to impede SPP1CD206 pro-tumor macrophages mediated pre-metastatic niche formation in colorectal cancer liver metastasis.靶向富含 circ-0034880 的肿瘤细胞外囊泡以抑制 SPP1CD206 促肿瘤巨噬细胞介导的结直肠癌肝转移前转移龛形成。
Mol Cancer. 2024 Aug 20;23(1):168. doi: 10.1186/s12943-024-02086-9.
7
Novel hyaluronic acid oligosaccharide-loaded and CD44v6-targeting oxaliplatin nanoparticles for the treatment of colorectal cancer.载新型透明质酸寡糖和靶向 CD44v6 的奥沙利铂纳米粒治疗结直肠癌
Drug Deliv. 2021 Dec;28(1):920-929. doi: 10.1080/10717544.2021.1914777.
8
Oxaliplatin resistance in colorectal cancer cells is mediated via activation of ABCG2 to alleviate ER stress induced apoptosis.结直肠癌细胞中的奥沙利铂耐药是通过 ABCG2 的激活来减轻内质网应激诱导的细胞凋亡实现的。
J Cell Physiol. 2018 Jul;233(7):5458-5467. doi: 10.1002/jcp.26406. Epub 2018 Jan 23.
9
Oxaliplatin disrupts pathological features of glioma cells and associated macrophages independent of apoptosis induction.奥沙利铂可破坏胶质瘤细胞和相关巨噬细胞的病理特征,而不依赖于细胞凋亡的诱导。
J Neurooncol. 2018 Dec;140(3):497-507. doi: 10.1007/s11060-018-2979-1. Epub 2018 Aug 21.
10
[The efficacy and side effects of rigosertib combined with chemotherapy in mutant colorectal cancer mice].瑞戈非尼联合化疗对KRAS基因突变型结直肠癌小鼠的疗效及副作用
Zhonghua Zhong Liu Za Zhi. 2023 Feb 23;45(2):138-145. doi: 10.3760/cma.j.cn112152-20210514-00379.

引用本文的文献

1
Acupuncture for preventing chemotherapy-induced peripheral neuropathy: study protocol for a randomised controlled trial.针刺预防化疗引起的周围神经病变:一项随机对照试验的研究方案
BMJ Open. 2025 Jul 28;15(7):e102588. doi: 10.1136/bmjopen-2025-102588.
2
Effect of examined lymph node count on precise cancer-specific survival and effectiveness of adjuvant chemotherapy in resected colorectal cancer.检查的淋巴结数量对根治性结直肠癌患者精准癌症特异性生存及辅助化疗疗效的影响
Sci Rep. 2025 Jul 16;15(1):25856. doi: 10.1038/s41598-025-03999-1.
3
Understanding pre-metastatic niche formation: implications for colorectal cancer liver metastasis.

本文引用的文献

1
Prognostic impact of neutrophilia and lymphopenia on survival in anal cancer treated with definitive concurrent chemoradiotherapy: a retrospective multicenter study.中性粒细胞增多和淋巴细胞减少对接受根治性同期放化疗的肛门癌患者生存的预后影响:一项回顾性多中心研究。
Int J Clin Oncol. 2022 Mar;27(3):553-562. doi: 10.1007/s10147-021-02094-5. Epub 2021 Nov 29.
2
Mitochondrial translation is required for sustained killing by cytotoxic T cells.线粒体翻译对于细胞毒性 T 细胞的持续杀伤是必需的。
Science. 2021 Oct 15;374(6565):eabe9977. doi: 10.1126/science.abe9977.
3
Association between treatment-related lymphopenia and survival in glioblastoma patients following postoperative chemoradiotherapy.
了解转移前生态位的形成:对结直肠癌肝转移的影响。
J Transl Med. 2025 Mar 17;23(1):340. doi: 10.1186/s12967-025-06328-2.
4
Analyze the Diversity and Function of Immune Cells in the Tumor Microenvironment From the Perspective of Single-Cell RNA Sequencing.从单细胞RNA测序角度分析肿瘤微环境中免疫细胞的多样性与功能
Cancer Med. 2025 Mar;14(5):e70622. doi: 10.1002/cam4.70622.
5
Immune dynamics shaping pre-metastatic and metastatic niches in liver metastases: from molecular mechanisms to therapeutic strategies.免疫动力学塑造肝转移中的前转移和转移生态位:从分子机制到治疗策略。
Mol Cancer. 2024 Nov 14;23(1):254. doi: 10.1186/s12943-024-02171-z.
6
Huaier promotes sensitivity of colorectal cancer to oxaliplatin by inhibiting METTL3 to regulate the Wnt/β‑catenin signaling pathway.槐耳通过抑制 METTL3 调节 Wnt/β-catenin 信号通路促进结直肠癌对奥沙利铂的敏感性。
Oncol Rep. 2025 Jan;53(1). doi: 10.3892/or.2024.8840. Epub 2024 Nov 8.
7
Pre-metastatic niche: formation, characteristics and therapeutic implication.转移前生态位:形成、特征及治疗意义
Signal Transduct Target Ther. 2024 Sep 25;9(1):236. doi: 10.1038/s41392-024-01937-7.
8
Role of T cells in liver metastasis.T 细胞在肝转移中的作用。
Cell Death Dis. 2024 May 16;15(5):341. doi: 10.1038/s41419-024-06726-2.
9
Spatiotemporally Controlled T-Cell Combination Therapy for Solid Tumor.时空可控 T 细胞联合疗法治疗实体瘤。
Adv Sci (Weinh). 2024 Jul;11(25):e2401100. doi: 10.1002/advs.202401100. Epub 2024 Apr 17.
术后放化疗后治疗相关性淋巴细胞减少与胶质母细胞瘤患者生存的关系。
Strahlenther Onkol. 2022 May;198(5):448-457. doi: 10.1007/s00066-021-01855-5. Epub 2021 Oct 6.
4
Tumor-derived exosomes drive immunosuppressive macrophages in a pre-metastatic niche through glycolytic dominant metabolic reprogramming.肿瘤来源的外泌体通过糖酵解主导的代谢重编程在转移前微环境中驱动免疫抑制性巨噬细胞。
Cell Metab. 2021 Oct 5;33(10):2040-2058.e10. doi: 10.1016/j.cmet.2021.09.002. Epub 2021 Sep 23.
5
Hepatic stellate cells suppress NK cell-sustained breast cancer dormancy.肝星状细胞抑制 NK 细胞维持的乳腺癌休眠。
Nature. 2021 Jun;594(7864):566-571. doi: 10.1038/s41586-021-03614-z. Epub 2021 Jun 2.
6
Tumor Immune Microenvironment and Immunosuppressive Therapy in Hepatocellular Carcinoma: A Review.肝癌肿瘤免疫微环境与免疫抑制治疗:综述。
Int J Mol Sci. 2021 May 28;22(11):5801. doi: 10.3390/ijms22115801.
7
Sinusoidal Obstruction Syndrome Promotes Liver Metastatic Seeding of Colorectal Cancer Cells in a Rat Model.窦性阻塞综合征促进大鼠模型中结肠癌细胞的肝转移播散
Anticancer Res. 2021 Apr;41(4):1803-1810. doi: 10.21873/anticanres.14946.
8
PRISMA 2020 explanation and elaboration: updated guidance and exemplars for reporting systematic reviews.PRISMA 2020 解释和说明:系统评价报告的更新指南和范例。
BMJ. 2021 Mar 29;372:n160. doi: 10.1136/bmj.n160.
9
Association of severe lymphopenia and disease progression in unresectable locally advanced non-small cell lung cancer treated with definitive chemoradiation and immunotherapy.在接受根治性放化疗和免疫治疗的不可切除局部晚期非小细胞肺癌中,严重淋巴细胞减少与疾病进展的关联。
Lung Cancer. 2021 Apr;154:36-43. doi: 10.1016/j.lungcan.2021.01.022. Epub 2021 Jan 27.
10
Rab22a-NeoF1 fusion protein promotes osteosarcoma lung metastasis through its secretion into exosomes.Rab22a-NeoF1 融合蛋白通过其分泌进入外泌体促进骨肉瘤肺转移。
Signal Transduct Target Ther. 2021 Feb 11;6(1):59. doi: 10.1038/s41392-020-00414-1.