Suppr超能文献

一例罕见的颅内皮样囊肿破裂的磁共振成像表现

Magnetic Resonance Imaging Findings in a Rare Case of a Ruptured Intracranial Dermoid Cyst.

作者信息

Saifi Iram, Kashikar Shivali V, Dhande Rajasbala, Pavanan Asish, Reddy Sai Nidhi G

机构信息

Radiodiagnosis, Jawaharlal Nehru Medical College, Wardha, IND.

出版信息

Cureus. 2023 Aug 10;15(8):e43316. doi: 10.7759/cureus.43316. eCollection 2023 Aug.

Abstract

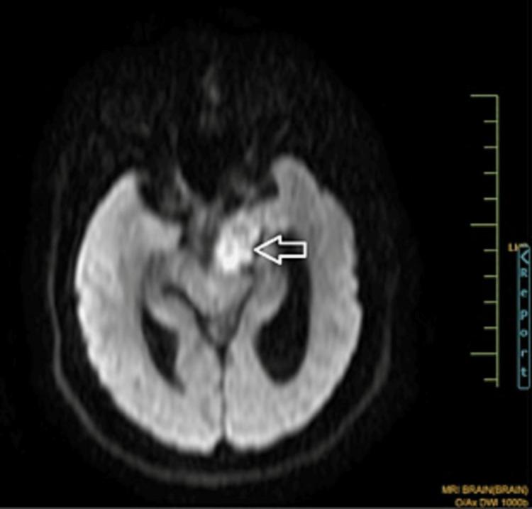
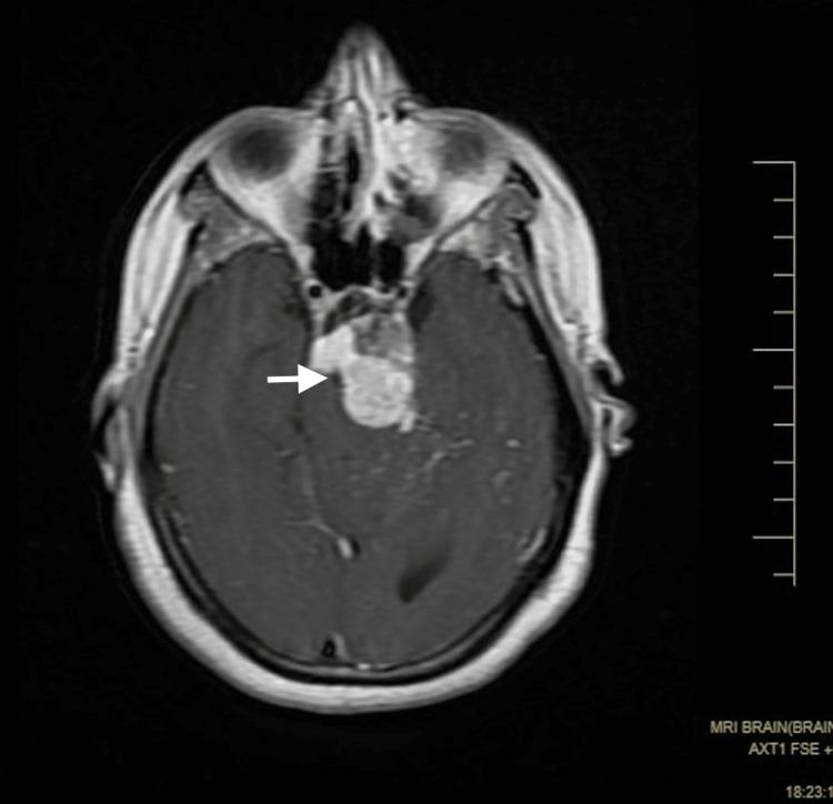
Intracranial dermoid cysts are rare, benign, congenital, and slow-growing cystic lesions. They contain mature squamous epithelium, apocrine, eccrine, sebaceous glands, and ectodermal structures. The rupture of intracranial dermoid cysts is a rare event and can cause life-threatening conditions.

摘要

颅内皮样囊肿是罕见的、良性的、先天性的、生长缓慢的囊性病变。它们包含成熟的鳞状上皮、顶泌汗腺、小汗腺、皮脂腺和外胚层结构。颅内皮样囊肿破裂是罕见事件,可导致危及生命的情况。

https://cdn.ncbi.nlm.nih.gov/pmc/blobs/ed86/10492919/cacaaaa07277/cureus-0015-00000043316-i01.jpg

文献AI研究员

20分钟写一篇综述,助力文献阅读效率提升50倍。

立即体验

用中文搜PubMed

大模型驱动的PubMed中文搜索引擎

马上搜索

文档翻译

学术文献翻译模型,支持多种主流文档格式。

立即体验