• 文献检索
  • 文档翻译
  • 深度研究
  • 学术资讯
  • Suppr Zotero 插件Zotero 插件
  • 邀请有礼
  • 套餐&价格
  • 历史记录
应用&插件
Suppr Zotero 插件Zotero 插件浏览器插件Mac 客户端Windows 客户端微信小程序
定价
高级版会员购买积分包购买API积分包
服务
文献检索文档翻译深度研究API 文档MCP 服务
关于我们
关于 Suppr公司介绍联系我们用户协议隐私条款
关注我们

Suppr 超能文献

核心技术专利:CN118964589B侵权必究
粤ICP备2023148730 号-1Suppr @ 2026

文献检索

告别复杂PubMed语法,用中文像聊天一样搜索,搜遍4000万医学文献。AI智能推荐,让科研检索更轻松。

立即免费搜索

文件翻译

保留排版,准确专业,支持PDF/Word/PPT等文件格式,支持 12+语言互译。

免费翻译文档

深度研究

AI帮你快速写综述,25分钟生成高质量综述,智能提取关键信息,辅助科研写作。

立即免费体验

前置胎盘穿透性胎盘所致的非瘢痕性子宫破裂:病例报告及文献复习。

Antepartum unscarred uterine rupture caused by placenta percreta: a case report and literature review.

机构信息

Section of Anatomic Pathology, Department of Health Sciences, University of Florence, Florence, Italy.

Department of Health Science, Division of Obstetrics & Gynecology, University of Florence, Florence, Italy.

出版信息

Pathologica. 2023 Aug;115(4):232-236. doi: 10.32074/1591-951X-882.

DOI:10.32074/1591-951X-882
PMID:37711040
原文链接:https://pmc.ncbi.nlm.nih.gov/articles/PMC10688248/
Abstract

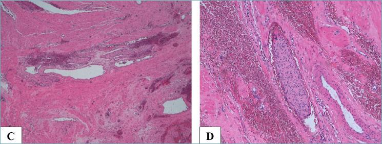
The main risk for uterine rupture is the presence of a uterine scar due to prior cesarean delivery or other uterine surgery. However, rupture in an unscarred uterus is extremely rare, and risk factors include multiple gestations, trauma, congenital anomalies, use of uterotonics and placenta accreta spectrum. Placenta accreta spectrum, also known as morbidly adherent placenta, is becoming increasingly common and is associated with significant maternal and neonatal morbidity and mortality. We report a case of unscarred uterine rupture due to placenta percreta in a multiparous woman that required emergency peripartum hysterectomy.

摘要

子宫破裂的主要风险是由于先前的剖宫产或其他子宫手术导致的子宫瘢痕。然而,未受损的子宫破裂极为罕见,其危险因素包括多胎妊娠、创伤、先天异常、使用子宫收缩剂和胎盘粘连谱系疾病。胎盘粘连谱系疾病,也称为病态粘连胎盘,正变得越来越常见,并与产妇和新生儿发病率和死亡率显著相关。我们报告了一例多产妇因胎盘植入导致的未受损子宫破裂病例,该病例需要紧急围产期子宫切除术。

https://cdn.ncbi.nlm.nih.gov/pmc/blobs/738e/10688248/b07007a2ed55/pathol-2023-04-232-g002.jpg
https://cdn.ncbi.nlm.nih.gov/pmc/blobs/738e/10688248/5959a7d92433/pathol-2023-04-232-g001.jpg
https://cdn.ncbi.nlm.nih.gov/pmc/blobs/738e/10688248/b07007a2ed55/pathol-2023-04-232-g002.jpg
https://cdn.ncbi.nlm.nih.gov/pmc/blobs/738e/10688248/5959a7d92433/pathol-2023-04-232-g001.jpg
https://cdn.ncbi.nlm.nih.gov/pmc/blobs/738e/10688248/b07007a2ed55/pathol-2023-04-232-g002.jpg

相似文献

1
Antepartum unscarred uterine rupture caused by placenta percreta: a case report and literature review.前置胎盘穿透性胎盘所致的非瘢痕性子宫破裂:病例报告及文献复习。
Pathologica. 2023 Aug;115(4):232-236. doi: 10.32074/1591-951X-882.
2
Spontaneous rupture of an unscarred uterus at the early third trimester due to placenta percreta: a case report.早孕期胎盘植入致无瘢子宫自发性破裂 1 例报告。
J Int Med Res. 2024 Oct;52(10):3000605241281688. doi: 10.1177/03000605241281688.
3
[Clinical analysis of 12 cases of spontaneous uterine rupture caused by placenta percreta].[12例胎盘植入致自发性子宫破裂的临床分析]
Zhonghua Fu Chan Ke Za Zhi. 2020 Oct 25;55(10):691-696. doi: 10.3760/cma.j.cn112141-20200430-00373.
4
Uterine preservation in placenta percreta complicated by unscarred uterine rupture at second trimester in a patient with repeated molar pregnancies: a case report and brief review of the literature.一例有多次葡萄胎妊娠史患者,孕中期胎盘植入合并子宫无瘢痕破裂时保留子宫:病例报告及文献简要回顾
Clin Exp Obstet Gynecol. 2014;41(5):590-2.
5
Placenta percreta with spontaneous rupture of an unscarred uterus in the second trimester.孕中期胎盘植入伴未瘢痕化子宫自发性破裂。
Obstet Gynecol. 2001 Nov;98(5 Pt 2):927-9. doi: 10.1016/s0029-7844(01)01580-0.
6
Placenta percreta presenting as uterine rupture following previous B-Lynch suture.前置胎盘穿透性胎盘,既往行 B-Lynch 缝合术后子宫破裂。
BMJ Case Rep. 2021 Oct 1;14(10):e245593. doi: 10.1136/bcr-2021-245593.
7
Spontaneous uterine rupture at an unusual site due to placenta percreta in a 21-week twin pregnancy with previous cesarean section.一名有剖宫产史的21周双胎妊娠孕妇因胎盘植入导致子宫在不寻常部位发生自发性破裂。
Clin Exp Obstet Gynecol. 2004;31(3):239-41.
8
Spontaneous Rupture in a Non-Laboring Uterus at 20 Weeks: A Case Report.20 周非分娩状态下子宫自发性破裂:病例报告。
Am J Case Rep. 2020 Aug 10;21:e924894. doi: 10.12659/AJCR.924894.
9
Spontaneous rupture of unscarred uterus at early mid-trimester due to placenta percreta.妊娠中期早期因穿透性胎盘导致未瘢痕化子宫自发性破裂。
J Obstet Gynaecol. 2004 Sep;24(6):705. doi: 10.1080/01443610400008156.
10
Spontaneous uterine rupture at a non-cesarean section scar site caused by placenta percreta in the early second trimester of gestation: A case report.中期妊娠早期胎盘穿透性植入导致非剖宫产瘢痕部位自发性子宫破裂 1 例报告。
Taiwan J Obstet Gynecol. 2021 Jul;60(4):784-786. doi: 10.1016/j.tjog.2021.05.037.

引用本文的文献

1
Conservative Management of Placenta Percreta With Perforation in an Infertile Lupus Patient Following Embryo Transfer: A Report of a Rare Case.胚胎移植后狼疮不孕患者合并胎盘植入伴穿孔的保守治疗:1例罕见病例报告
Cureus. 2024 Nov 29;16(11):e74774. doi: 10.7759/cureus.74774. eCollection 2024 Nov.

本文引用的文献

1
Postpartum unscarred uterine rupture caused by placenta accreta: A case report and literature review.胎盘植入所致产后未瘢痕子宫破裂:一例报告及文献复习
Clin Case Rep. 2021 Jan 24;9(3):1587-1590. doi: 10.1002/ccr3.3851. eCollection 2021 Mar.
2
Unscarred uterine rupture and subsequent pregnancy outcome - a tertiary centre experience.未瘢痕化的子宫破裂及后续妊娠结局——一家三级中心的经验。
Ginekol Pol. 2020;91(2):95-90. doi: 10.5603/GP.a2020.0012. Epub 2020 Feb 21.
3
Placenta percreta causing spontaneous uterine rupture and intrauterine fetal death in an unscared uterus: A case report.
穿透性胎盘植入导致未受损子宫自发性子宫破裂及宫内胎儿死亡:一例报告
Int J Surg Case Rep. 2019;65:65-68. doi: 10.1016/j.ijscr.2019.10.039. Epub 2019 Nov 1.
4
Placenta Accreta Spectrum.胎盘植入谱系疾病。
Am J Obstet Gynecol. 2018 Dec;219(6):B2-B16. doi: 10.1016/j.ajog.2018.09.042.
5
FIGO consensus guidelines on placenta accreta spectrum disorders: Introduction.国际妇产科联盟(FIGO)关于胎盘植入谱系疾病的共识指南:引言
Int J Gynaecol Obstet. 2018 Mar;140(3):261-264. doi: 10.1002/ijgo.12406.
6
Placenta accreta spectrum: pathophysiology and evidence-based anatomy for prenatal ultrasound imaging.胎盘植入谱系疾病:产前超声影像学的病理生理学和基于证据的解剖学。
Am J Obstet Gynecol. 2018 Jan;218(1):75-87. doi: 10.1016/j.ajog.2017.05.067. Epub 2017 Jun 24.
7
Risk factors for complete uterine rupture.子宫完全破裂的危险因素。
Am J Obstet Gynecol. 2017 Feb;216(2):165.e1-165.e8. doi: 10.1016/j.ajog.2016.10.017. Epub 2016 Oct 22.
8
Risk factors of uterine rupture with a special interest to uterine fundal pressure.子宫破裂的危险因素,特别关注子宫底压力。
J Perinat Med. 2017 Apr 1;45(3):309-313. doi: 10.1515/jpm-2016-0023.
9
Maternal and fetal morbidity associated with uterine rupture of the unscarred uterus.未行剖宫产史的子宫破裂产妇及其胎儿的发病率。
Am J Obstet Gynecol. 2015 Sep;213(3):382.e1-6. doi: 10.1016/j.ajog.2015.05.048. Epub 2015 May 28.
10
Signs, symptoms and complications of complete and partial uterine ruptures during pregnancy and delivery.妊娠和分娩期间完全性及部分性子宫破裂的体征、症状及并发症。
Eur J Obstet Gynecol Reprod Biol. 2014 Aug;179:130-4. doi: 10.1016/j.ejogrb.2014.05.004. Epub 2014 May 22.