• 文献检索
  • 文档翻译
  • 深度研究
  • 学术资讯
  • Suppr Zotero 插件Zotero 插件
  • 邀请有礼
  • 套餐&价格
  • 历史记录
应用&插件
Suppr Zotero 插件Zotero 插件浏览器插件Mac 客户端Windows 客户端微信小程序
定价
高级版会员购买积分包购买API积分包
服务
文献检索文档翻译深度研究API 文档MCP 服务
关于我们
关于 Suppr公司介绍联系我们用户协议隐私条款
关注我们

Suppr 超能文献

核心技术专利:CN118964589B侵权必究
粤ICP备2023148730 号-1Suppr @ 2026

文献检索

告别复杂PubMed语法,用中文像聊天一样搜索,搜遍4000万医学文献。AI智能推荐,让科研检索更轻松。

立即免费搜索

文件翻译

保留排版,准确专业,支持PDF/Word/PPT等文件格式,支持 12+语言互译。

免费翻译文档

深度研究

AI帮你快速写综述,25分钟生成高质量综述,智能提取关键信息,辅助科研写作。

立即免费体验

PJA1 介导星形胶质细胞 GPR30 对雌性小鼠学习和记忆的影响。

PJA1 mediates the effects of astrocytic GPR30 on learning and memory in female mice.

机构信息

Department of Pharmacology, School of Pharmacy and.

Precision Pharmacy & Drug Development Center, Department of Pharmacy, Tangdu Hospital, Fourth Military Medical University, Xi'an, China.

出版信息

J Clin Invest. 2023 Sep 15;133(18):e165812. doi: 10.1172/JCI165812.

DOI:10.1172/JCI165812
PMID:37712419
原文链接:https://pmc.ncbi.nlm.nih.gov/articles/PMC10503807/
Abstract

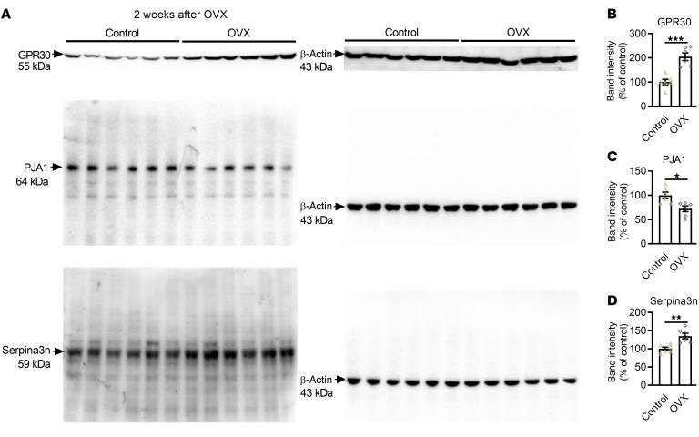
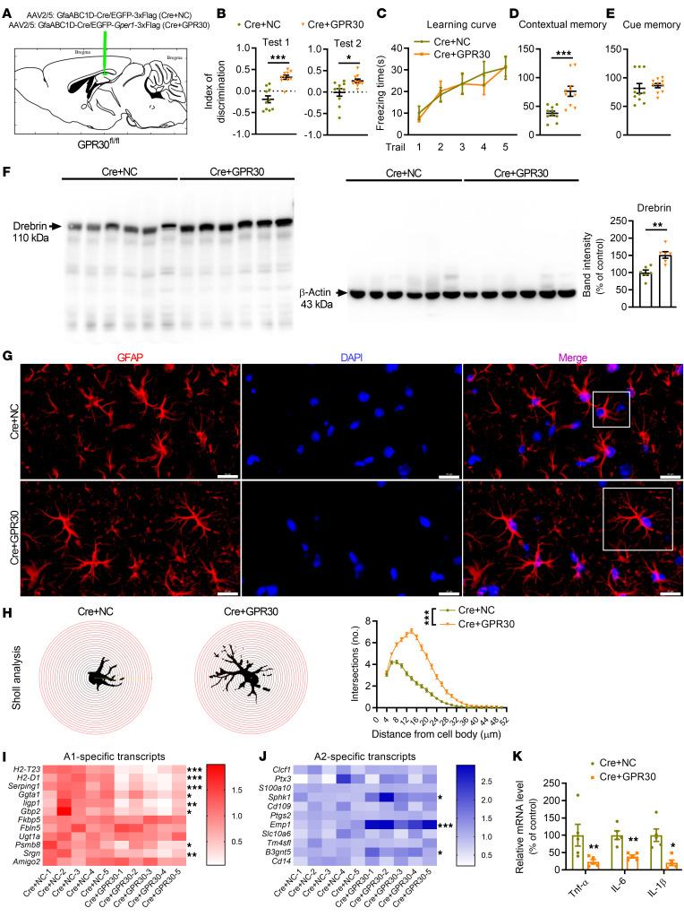
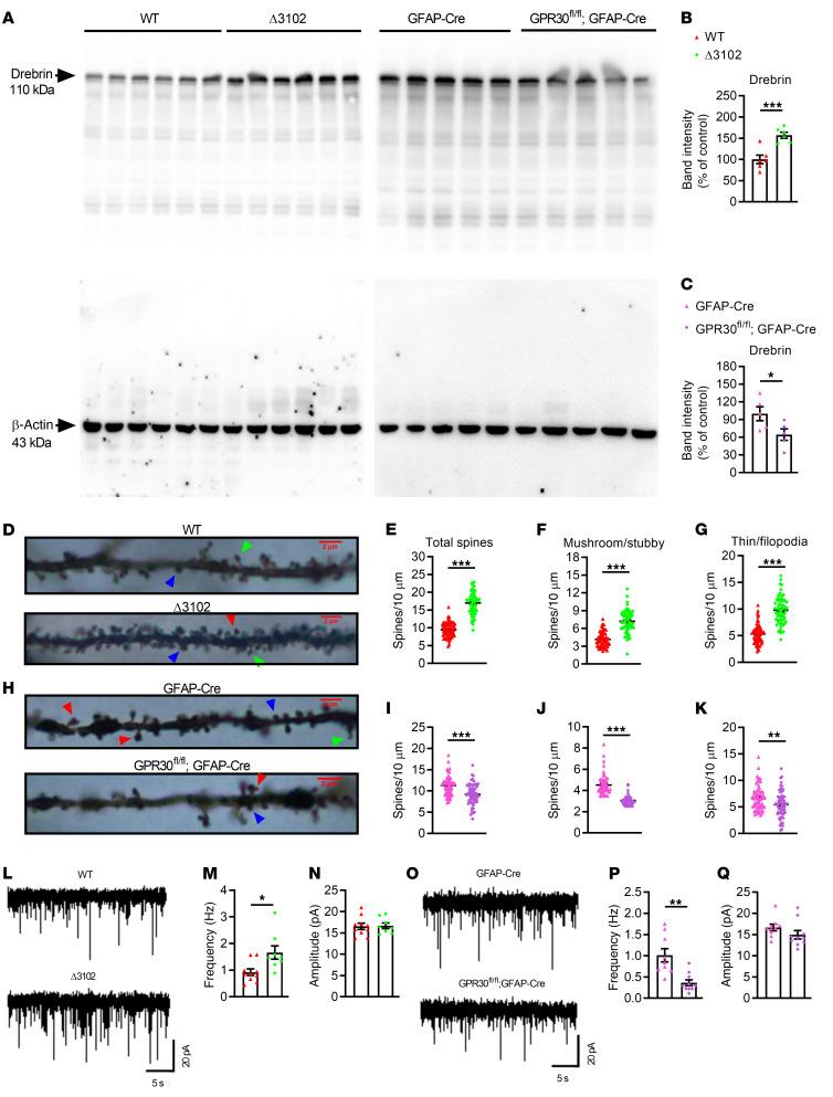
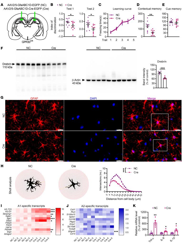
Hormone replacement therapy (HRT) is not recommended for treating learning and memory decline in menopausal women because it exerts adverse effects by activating classic estrogen receptors ERα and ERβ. The membrane estrogen receptor G protein-coupled receptor 30 (GPR30) has been reported to be involved in memory modulation; however, the underlying mechanisms are poorly understood. Here, we found that GPR30 deletion in astrocytes, but not in neurons, impaired learning and memory in female mice. Astrocytic GPR30 depletion induced A1 phenotype transition, impairing neuronal function. Further exploration revealed that Praja1 (PJA1), a RING ubiquitin ligase, mediated the effects of astrocytic GPR30 on learning and memory by binding to Serpina3n, which is a molecular marker of neuroinflammation in astrocytes. GPR30 positively modulated PJA1 expression through the CREB signaling pathway in cultured murine and human astrocytes. Additionally, the mRNA levels of GPR30 and PJA1 were reduced in exosomes isolated from postmenopausal women while Serpina3n levels were increased in the plasma. Together, our findings suggest a key role for astrocytic GPR30 in the learning and memory abilities of female mice and identify GPR30/PJA1/Serpina3n as potential therapeutic targets for learning and memory loss in peri- and postmenopausal women.

摘要

激素替代疗法(HRT)不建议用于治疗绝经后妇女的学习和记忆下降,因为它通过激活经典雌激素受体 ERα 和 ERβ 产生不良反应。膜雌激素受体 G 蛋白偶联受体 30(GPR30)已被报道参与记忆调节;然而,其潜在机制尚不清楚。在这里,我们发现星形胶质细胞中的 GPR30 缺失,但不是神经元中的 GPR30 缺失,会损害雌性小鼠的学习和记忆。星形胶质细胞 GPR30 耗竭诱导 A1 表型转换,损害神经元功能。进一步探索发现,RING 泛素连接酶 Praja1(PJA1)通过与 Serpina3n 结合介导星形胶质细胞 GPR30 对学习和记忆的影响,Serpina3n 是星形胶质细胞神经炎症的分子标志物。GPR30 通过培养的鼠和人星形胶质细胞中的 CREB 信号通路正向调节 PJA1 的表达。此外,绝经后妇女分离的外泌体中 GPR30 和 PJA1 的 mRNA 水平降低,而血浆中 Serpina3n 水平升高。总之,我们的研究结果表明,星形胶质细胞 GPR30 在雌性小鼠的学习和记忆能力中起关键作用,并确定 GPR30/PJA1/Serpina3n 是围绝经期和绝经后妇女学习和记忆丧失的潜在治疗靶点。

https://cdn.ncbi.nlm.nih.gov/pmc/blobs/8082/10503807/fbce3d2d96a3/jci-133-165812-g049.jpg
https://cdn.ncbi.nlm.nih.gov/pmc/blobs/8082/10503807/33b0b76a0ac0/jci-133-165812-g046.jpg
https://cdn.ncbi.nlm.nih.gov/pmc/blobs/8082/10503807/6840369cb522/jci-133-165812-g050.jpg
https://cdn.ncbi.nlm.nih.gov/pmc/blobs/8082/10503807/c971ff8b7ed5/jci-133-165812-g051.jpg
https://cdn.ncbi.nlm.nih.gov/pmc/blobs/8082/10503807/0bb4c18e8ac6/jci-133-165812-g052.jpg
https://cdn.ncbi.nlm.nih.gov/pmc/blobs/8082/10503807/43b8d760bee2/jci-133-165812-g053.jpg
https://cdn.ncbi.nlm.nih.gov/pmc/blobs/8082/10503807/c1f8509bc567/jci-133-165812-g054.jpg
https://cdn.ncbi.nlm.nih.gov/pmc/blobs/8082/10503807/fe45ac4614e1/jci-133-165812-g055.jpg
https://cdn.ncbi.nlm.nih.gov/pmc/blobs/8082/10503807/eb25f1c9375f/jci-133-165812-g056.jpg
https://cdn.ncbi.nlm.nih.gov/pmc/blobs/8082/10503807/333817b34ecc/jci-133-165812-g057.jpg
https://cdn.ncbi.nlm.nih.gov/pmc/blobs/8082/10503807/fabe035ff64d/jci-133-165812-g047.jpg
https://cdn.ncbi.nlm.nih.gov/pmc/blobs/8082/10503807/9c3c38ac9b85/jci-133-165812-g048.jpg
https://cdn.ncbi.nlm.nih.gov/pmc/blobs/8082/10503807/fbce3d2d96a3/jci-133-165812-g049.jpg
https://cdn.ncbi.nlm.nih.gov/pmc/blobs/8082/10503807/33b0b76a0ac0/jci-133-165812-g046.jpg
https://cdn.ncbi.nlm.nih.gov/pmc/blobs/8082/10503807/6840369cb522/jci-133-165812-g050.jpg
https://cdn.ncbi.nlm.nih.gov/pmc/blobs/8082/10503807/c971ff8b7ed5/jci-133-165812-g051.jpg
https://cdn.ncbi.nlm.nih.gov/pmc/blobs/8082/10503807/0bb4c18e8ac6/jci-133-165812-g052.jpg
https://cdn.ncbi.nlm.nih.gov/pmc/blobs/8082/10503807/43b8d760bee2/jci-133-165812-g053.jpg
https://cdn.ncbi.nlm.nih.gov/pmc/blobs/8082/10503807/c1f8509bc567/jci-133-165812-g054.jpg
https://cdn.ncbi.nlm.nih.gov/pmc/blobs/8082/10503807/fe45ac4614e1/jci-133-165812-g055.jpg
https://cdn.ncbi.nlm.nih.gov/pmc/blobs/8082/10503807/eb25f1c9375f/jci-133-165812-g056.jpg
https://cdn.ncbi.nlm.nih.gov/pmc/blobs/8082/10503807/333817b34ecc/jci-133-165812-g057.jpg
https://cdn.ncbi.nlm.nih.gov/pmc/blobs/8082/10503807/fabe035ff64d/jci-133-165812-g047.jpg
https://cdn.ncbi.nlm.nih.gov/pmc/blobs/8082/10503807/9c3c38ac9b85/jci-133-165812-g048.jpg
https://cdn.ncbi.nlm.nih.gov/pmc/blobs/8082/10503807/fbce3d2d96a3/jci-133-165812-g049.jpg

相似文献

1
PJA1 mediates the effects of astrocytic GPR30 on learning and memory in female mice.PJA1 介导星形胶质细胞 GPR30 对雌性小鼠学习和记忆的影响。
J Clin Invest. 2023 Sep 15;133(18):e165812. doi: 10.1172/JCI165812.
2
Activation of G protein-coupled receptor 30 protects neurons by regulating autophagy in astrocytes.G 蛋白偶联受体 30 的激活通过调节星形胶质细胞自噬来保护神经元。
Glia. 2020 Jan;68(1):27-43. doi: 10.1002/glia.23697. Epub 2019 Aug 19.
3
Localization of estrogen receptor ERα, ERβ and GPR30 on myenteric neurons of the gastrointestinal tract and their role in motility.雌激素受体ERα、ERβ和GPR30在胃肠道肌间神经元上的定位及其在运动中的作用。
Gen Comp Endocrinol. 2019 Feb 1;272:63-75. doi: 10.1016/j.ygcen.2018.11.016. Epub 2018 Nov 28.
4
Apoptosis Induced by the UV Filter Benzophenone-3 in Mouse Neuronal Cells Is Mediated via Attenuation of Erα/Pparγ and Stimulation of Erβ/Gpr30 Signaling.UV 滤光剂二苯甲酮-3 诱导小鼠神经元细胞凋亡是通过减弱 Erα/Pparγ 并刺激 Erβ/Gpr30 信号转导实现的。
Mol Neurobiol. 2018 Mar;55(3):2362-2383. doi: 10.1007/s12035-017-0480-z. Epub 2017 Mar 29.
5
Neuroprotective action of raloxifene against hypoxia-induced damage in mouse hippocampal cells depends on ERα but not ERβ or GPR30 signalling.雷洛昔芬对小鼠海马细胞缺氧诱导损伤的神经保护作用依赖于雌激素受体α(ERα),而非雌激素受体β(ERβ)或G蛋白偶联受体30(GPR30)信号通路。
J Steroid Biochem Mol Biol. 2015 Feb;146:26-37. doi: 10.1016/j.jsbmb.2014.05.005. Epub 2014 May 17.
6
β-estradiol adjusts intestinal function via ERβ and GPR30 mediated PI3K/AKT signaling activation to alleviate postmenopausal dyslipidemia.β-雌二醇通过 ERβ 和 GPR30 介导的 PI3K/AKT 信号通路激活调节肠道功能,以减轻绝经后血脂异常。
Biochem Pharmacol. 2020 Oct;180:114134. doi: 10.1016/j.bcp.2020.114134. Epub 2020 Jul 3.
7
The G protein-coupled receptor GPR30 inhibits proliferation of estrogen receptor-positive breast cancer cells.G 蛋白偶联受体 GPR30 抑制雌激素受体阳性乳腺癌细胞的增殖。
Cancer Res. 2010 Feb 1;70(3):1184-94. doi: 10.1158/0008-5472.CAN-09-3068. Epub 2010 Jan 19.
8
GPR30 regulates glutamate transporter GLT-1 expression in rat primary astrocytes.GPR30 调节大鼠原代星形胶质细胞中谷氨酸转运体 GLT-1 的表达。
J Biol Chem. 2012 Aug 3;287(32):26817-28. doi: 10.1074/jbc.M112.341867. Epub 2012 May 29.
9
Marijuana and β-estradiol interactions on spatial learning and memory in young female rats: Lack of role of the G protein-coupled estrogen receptor (GPR30).大麻和β-雌二醇对年轻雌性大鼠空间学习和记忆的相互作用:G 蛋白偶联雌激素受体(GPR30)的作用缺失。
Life Sci. 2021 Sep 1;280:119723. doi: 10.1016/j.lfs.2021.119723. Epub 2021 Jun 16.
10
GPR30-mediated estrogenic regulation of actin polymerization and spatial memory involves SRC-1 and PI3K-mTORC2 in the hippocampus of female mice.GPR30 介导的雌激素对肌动蛋白聚合和空间记忆的调节涉及到雌性小鼠海马中的 SRC-1 和 PI3K-mTORC2。
CNS Neurosci Ther. 2019 Jun;25(6):714-733. doi: 10.1111/cns.13108. Epub 2019 Feb 3.

引用本文的文献

1
The GPR30 agonist G-1 promotes hair growth via Wnt/Hedgehog signaling in mice.GPR30激动剂G-1通过Wnt/刺猬信号通路促进小鼠毛发生长。
Front Pharmacol. 2025 Jul 11;16:1570922. doi: 10.3389/fphar.2025.1570922. eCollection 2025.
2
The E3 Ubiquitin Ligase PRAJA1: A Key Regulator of Synaptic Dynamics and Memory Processes with Implications for Alzheimer's Disease.E3泛素连接酶PRAJA1:突触动力学和记忆过程的关键调节因子及其与阿尔茨海默病的关联
Int J Mol Sci. 2025 Mar 23;26(7):2909. doi: 10.3390/ijms26072909.
3
Activation of GPER1 by G1 prevents PTSD-like behaviors in mice: Illustrating the mechanisms from BDNF/TrkB to mitochondria and synaptic connection.

本文引用的文献

1
Gut colonization by Bacteroides requires translation by an EF-G paralog lacking GTPase activity.拟杆菌通过一种缺乏 GTPase 活性的 EF-G 同工酶进行肠道定植。
EMBO J. 2023 Jan 16;42(2):e112372. doi: 10.15252/embj.2022112372. Epub 2022 Dec 6.
2
Ultrastructural view of astrocyte arborization, astrocyte-astrocyte and astrocyte-synapse contacts, intracellular vesicle-like structures, and mitochondrial network.星形细胞树突分支、星形细胞-星形细胞和星形细胞-突触连接、细胞内囊泡样结构以及线粒体网络的超微结构。
Prog Neurobiol. 2022 Jun;213:102264. doi: 10.1016/j.pneurobio.2022.102264. Epub 2022 Mar 11.
3
Assessment of astrocytes as a mediator of memory and learning in rodents.
G1 激活 GPER1 可预防小鼠 PTSD 样行为:从 BDNF/TrkB 到线粒体和突触连接阐述其机制。
CNS Neurosci Ther. 2024 Jul;30(7):e14855. doi: 10.1111/cns.14855.
4
Estrogen-immuno-neuromodulation disorders in menopausal depression.男性更年期抑郁症的雌激素免疫神经调节障碍。
J Neuroinflammation. 2024 Jun 19;21(1):159. doi: 10.1186/s12974-024-03152-1.
5
Restoring periodontal tissue homoeostasis prevents cognitive decline by reducing the number of Serpina3n astrocytes in the hippocampus.恢复牙周组织稳态可通过减少海马体中Serpina3n星形胶质细胞的数量来预防认知能力下降。
Innovation (Camb). 2023 Nov 24;5(1):100547. doi: 10.1016/j.xinn.2023.100547. eCollection 2024 Jan 8.
评估星形胶质细胞在啮齿动物记忆和学习中的介导作用。
Glia. 2022 Aug;70(8):1484-1505. doi: 10.1002/glia.24099. Epub 2021 Sep 28.
4
Astrocyte and neuron cooperation in long-term depression.星形胶质细胞和神经元在长时程抑制中的合作。
Trends Neurosci. 2021 Oct;44(10):837-848. doi: 10.1016/j.tins.2021.07.004. Epub 2021 Jul 30.
5
Early-life inflammation promotes depressive symptoms in adolescence via microglial engulfment of dendritic spines.早期生活中的炎症通过小胶质细胞吞噬树突棘促进青少年时期的抑郁症状。
Neuron. 2021 Aug 18;109(16):2573-2589.e9. doi: 10.1016/j.neuron.2021.06.012. Epub 2021 Jul 6.
6
Praja1 ubiquitin ligase facilitates degradation of polyglutamine proteins and suppresses polyglutamine-mediated toxicity.Praja1 泛素连接酶促进多聚谷氨酰胺蛋白的降解,并抑制多聚谷氨酰胺介导的毒性。
Mol Biol Cell. 2021 Aug 15;32(17):1579-1593. doi: 10.1091/mbc.E20-11-0747. Epub 2021 Jun 23.
7
Activation of microglial G‑protein-coupled receptor 30 protects neurons against excitotoxicity through NF-κB/MAPK pathways.小胶质细胞 G 蛋白偶联受体 30 的激活通过 NF-κB/MAPK 通路保护神经元免受兴奋性毒性。
Brain Res Bull. 2021 Jul;172:22-30. doi: 10.1016/j.brainresbull.2021.04.005. Epub 2021 Apr 10.
8
CSF SERPINA3 Levels Are Elevated in Patients With Progressive MS.CSF SERPINA3 水平在进展性多发性硬化症患者中升高。
Neurol Neuroimmunol Neuroinflamm. 2021 Jan 12;8(2). doi: 10.1212/NXI.0000000000000941. Print 2021 Mar.
9
SerpinA3N deficiency deteriorates impairments of learning and memory in mice following hippocampal stab injury.丝氨酸蛋白酶抑制剂A3N缺乏会使海马刺伤后小鼠的学习和记忆障碍恶化。
Cell Death Discov. 2020 Sep 18;6(1):88. doi: 10.1038/s41420-020-00325-8. eCollection 2020.
10
Activation of astrocytes in hippocampus decreases fear memory through adenosine A receptors.海马体星形胶质细胞的激活通过腺苷 A 受体减少恐惧记忆。
Elife. 2020 Sep 1;9:e57155. doi: 10.7554/eLife.57155.