Suppr超能文献

胆道癌转移至小脑的极为罕见现象:一例报告并文献复习

Very rare metastatic phenomena of biliary tract cancer to the cerebellum: A case report and review of the literature.

作者信息

Shrateh Oadi N, Saa Shadi Abu

机构信息

Faculty of Medicine, Al-Quds University, Jerusalem, Palestine.

Faculty of Medicine, Al-Quds University, Jerusalem, Palestine; Department of Neurosurgery, Palestinian Medical Complex (PMC), Ramallah, Palestine.

出版信息

Int J Surg Case Rep. 2023 Oct;111:108819. doi: 10.1016/j.ijscr.2023.108819. Epub 2023 Sep 13.

Abstract

INTRODUCTION AND IMPORTANCE

The occurrence of brain metastasis due to cholangiocarcinoma is an exceedingly uncommon phenomenon, documented in only a few numbers of published cases. Recent studies indicated an incidence rate of just 0.15 % for brain metastases in connection with this condition, which was also linked to a reduced survival rate.

CASE PRESENTATION

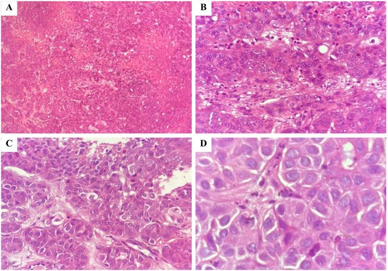
A 58-year-old woman with a history of hepatobiliary cholangiocarcinoma presented with a recent onset of unsteady walking, dizziness, vomiting, and worsening occipital headaches. Her medical history included successful chemotherapy treatment for her cholangiocarcinoma. Neurological examination revealed right-sided cerebellar deficits, and imaging indicated a sizable lesion in the right cerebellar hemisphere with surrounding vasogenic edema. A PET scan revealed a liver lesion but no other significant abnormalities. The recommended approach was surgical excision of the cerebellar lesion to relieve symptoms, halt deterioration, and obtain a tissue sample for analysis. After comprehensive discussions with the patient and her family, they opted for the surgical procedure.

CLINICAL DISCUSSION

The major contributors to brain metastases include lung cancers, breast cancers, testicular cancers, melanomas, and renal tumors. In contrast, brain metastases originating from gastrointestinal cancers are less frequent, accounting for fewer than 4 % of cases, with notable impact on 1 % of colorectal cancers, 0.62 % of gastric cancers, and 0.33 % of pancreatic cancers. However, brain metastases are extremely rare.

CONCLUSION

This study underscores the significance of anticipating and identifying brain metastases in biliary tract cancers, even in the face of their low incidence and the limited amount of available literature on the subject.

摘要

引言与重要性

胆管癌导致脑转移是一种极为罕见的现象,仅有少数已发表病例记载。近期研究表明,与此病症相关的脑转移发生率仅为0.15%,这也与生存率降低有关。

病例介绍

一名58岁有肝胆管癌病史的女性,近期出现行走不稳、头晕、呕吐及枕部头痛加重症状。她的病史包括胆管癌化疗成功。神经系统检查发现右侧小脑功能缺损,影像学检查显示右侧小脑半球有一个较大病变,周围伴有血管源性水肿。PET扫描显示肝脏有一个病变,但无其他明显异常。建议的治疗方法是手术切除小脑病变以缓解症状、阻止病情恶化并获取组织样本进行分析。在与患者及其家属进行全面讨论后,他们选择了手术治疗。

临床讨论

脑转移的主要病因包括肺癌、乳腺癌、睾丸癌、黑色素瘤和肾肿瘤。相比之下,源自胃肠道癌症的脑转移较少见,占病例不到4%,对1%的结直肠癌、0.62%的胃癌和0.33%的胰腺癌有显著影响。然而,脑转移极为罕见。

结论

本研究强调了在胆管癌中预测和识别脑转移的重要性,即使其发生率较低且关于该主题的现有文献有限。

https://cdn.ncbi.nlm.nih.gov/pmc/blobs/bbab/10509700/d2daeaa558a8/gr1.jpg

相似文献

1
Very rare metastatic phenomena of biliary tract cancer to the cerebellum: A case report and review of the literature.
Int J Surg Case Rep. 2023 Oct;111:108819. doi: 10.1016/j.ijscr.2023.108819. Epub 2023 Sep 13.
2
More advantages in detecting bone and soft tissue metastases from prostate cancer using F-PSMA PET/CT.
Hell J Nucl Med. 2019 Jan-Apr;22(1):6-9. doi: 10.1967/s002449910952. Epub 2019 Mar 7.
3
Solitary cerebellum metastasis from gastric adenocarcinoma. A rare case report.
Int J Surg Case Rep. 2019;57:110-112. doi: 10.1016/j.ijscr.2019.02.048. Epub 2019 Mar 18.
4
Cerebellar metastasis of gastrointestinal stromal tumor: A case report and review of the literature.
Int J Surg Case Rep. 2018;42:165-168. doi: 10.1016/j.ijscr.2017.12.009. Epub 2017 Dec 13.
5
A case report of atypical presentation of a solitary brain metastasis from a primary lung cancer in a low resource setting.
Int J Surg Case Rep. 2023 Oct;111:108804. doi: 10.1016/j.ijscr.2023.108804. Epub 2023 Sep 11.
6
Biliary cancer brain metastases: a multi-institution case series with case reports.
J Gastrointest Oncol. 2022 Apr;13(2):822-832. doi: 10.21037/jgo-21-818.
7
Vaginal bleeding as a rare presentation of metastatic renal cell carcinoma: Case report and literature review.
Int J Surg Case Rep. 2023 Sep;110:108657. doi: 10.1016/j.ijscr.2023.108657. Epub 2023 Aug 11.
10
Case report and literature review: Metastatic lobular carcinoma of the breast an unusual presentation.
Int J Surg Case Rep. 2011;2(8):301-5. doi: 10.1016/j.ijscr.2011.06.010. Epub 2011 Oct 12.

文献AI研究员

20分钟写一篇综述,助力文献阅读效率提升50倍。

立即体验

用中文搜PubMed

大模型驱动的PubMed中文搜索引擎

马上搜索

文档翻译

学术文献翻译模型,支持多种主流文档格式。

立即体验