Suppr超能文献

梅-图二氏综合征:复发性、自发性深静脉血栓形成的一种有趣表现

May-Thurner Syndrome: An Interesting Presentation of Recurrent, Unprovoked Deep Vein Thrombosis.

作者信息

Phillips-Smith Bethany A, Jatana Jazmin, Carter Emma, Machani Sathyanarayana, Wickel Dean J

机构信息

Family Medicine, West Virginia University School of Medicine, Wheeling, USA.

Vascular Surgery, West Virginia University School of Medicine, Wheeling, USA.

出版信息

Cureus. 2023 Aug 14;15(8):e43491. doi: 10.7759/cureus.43491. eCollection 2023 Aug.

Abstract

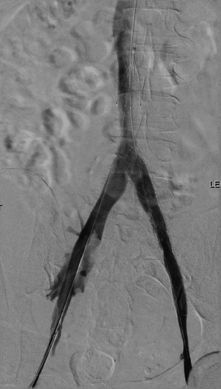
May-Thurner Syndrome (MTS) is a unique condition characterized by the compression of the left iliac vein by the right common iliac artery, which causes venous outflow obstruction and a high risk of venous sequelae. May-Thurner Syndrome is a condition that is primarily observed in females and is an uncommon cause of deep vein thrombosis (DVT). The more common presentation of DVT is in the lower left extremity, although there have been cases of right-sided formation. In this case report, we present a patient with unprovoked, recurrent, left-sided deep vein thrombosis in a 70-year-old woman. The aim of this case report is to highlight this uncommon condition and to suggest consideration of MTS in the setting of a patient with recurrent unprovoked DVTs of the same extremity.

摘要

梅-图二氏综合征(MTS)是一种独特的病症,其特征为右髂总动脉压迫左髂静脉,导致静脉流出道梗阻以及发生静脉后遗症的高风险。梅-图二氏综合征主要见于女性,是深静脉血栓形成(DVT)的一种罕见病因。DVT更常见的表现是在左下肢,不过也有右侧形成的病例。在本病例报告中,我们介绍了一名70岁女性患者,其出现不明原因的、复发性左侧深静脉血栓形成。本病例报告的目的是强调这种罕见病症,并建议在同一肢体反复出现不明原因DVT的患者中考虑梅-图二氏综合征。

https://cdn.ncbi.nlm.nih.gov/pmc/blobs/12f6/10499663/686aa2cb808a/cureus-0015-00000043491-i01.jpg

文献AI研究员

20分钟写一篇综述,助力文献阅读效率提升50倍。

立即体验

用中文搜PubMed

大模型驱动的PubMed中文搜索引擎

马上搜索

文档翻译

学术文献翻译模型,支持多种主流文档格式。

立即体验