Suppr超能文献

游走脾伴急性扭转,酷似附件肿物。

Wandering spleen with acute torsion mimicking an adnexal mass.

作者信息

Khan Hana, Fatima Kulsoom, Aman Muhammad, Khan Faheemullah, Khan Poonum, Safi Muhammad Ismail

机构信息

Medical College, Aga Khan University Hospital, Karachi, Pakistan.

Department of Radiology, Aga Khan University Hospital, Karachi, Pakistan.

出版信息

Radiol Case Rep. 2023 Sep 8;18(11):4094-4098. doi: 10.1016/j.radcr.2023.08.069. eCollection 2023 Nov.

Abstract

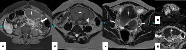
Wandering spleen manifests when the splenic ligaments are underdeveloped, or become lax, thereby allowing the spleen to relocate from its anatomical site to more distant areas. During such movements, torsion of the long splenic peduncle is common, which can lead to symptoms of acute abdomen and further complications such as infarction. It is typically seen in children and young females. Our report presents a case of a 22-year-old female presenting to the ER with complaints of severe pain in the abdominal region. On ultrasound, there was suspicion of an adnexal mass, which was later confirmed to be a misplaced spleen in the lower abdomen, with torsion, fat stranding, and splenic vein thrombosis, as revealed by enhanced CT abdomen and pelvic MRI. It was followed by an emergency splenectomy. As wandering spleen presents nonspecifically and is a rare condition, it is important to consider wandering spleen when patients present similarly to this case, to prevent misdiagnosis and to deliver surgical treatment quickly to preserve the spleen.

摘要

游走脾是在脾韧带发育不全或变得松弛时出现,从而使脾脏从其解剖位置移位到更远的区域。在这种移动过程中,脾长蒂扭转很常见,这可导致急腹症症状及进一步的并发症,如梗死。它通常见于儿童和年轻女性。我们的报告介绍了一例22岁女性因腹部剧痛到急诊室就诊的病例。超声检查怀疑有附件包块,后来经腹部增强CT和盆腔MRI证实为下腹部异位脾脏,伴有扭转、脂肪堆积及脾静脉血栓形成。随后进行了急诊脾切除术。由于游走脾表现不具特异性且是一种罕见疾病,当患者出现类似此病例的情况时,考虑游走脾很重要,以防止误诊并迅速进行手术治疗以保留脾脏。

https://cdn.ncbi.nlm.nih.gov/pmc/blobs/1049/10505588/9a0c2ae7ca13/gr1.jpg

相似文献

1
Wandering spleen with acute torsion mimicking an adnexal mass.
Radiol Case Rep. 2023 Sep 8;18(11):4094-4098. doi: 10.1016/j.radcr.2023.08.069. eCollection 2023 Nov.
2
Wandering spleen with torsion: a rare cause of acute abdomen in a 14-year-old girl.
Arch Clin Cases. 2022 Jul 7;9(2):56-61. doi: 10.22551/2022.35.0902.10204. eCollection 2022.
3
Torsion of Wandering Spleen: A Case Report.
J Emerg Med. 2020 Apr;58(4):e189-e192. doi: 10.1016/j.jemermed.2020.01.012. Epub 2020 Mar 20.
4
Wandering spleen torsion with portal vein thrombosis: A case report.
World J Clin Cases. 2023 Oct 6;11(28):6955-6960. doi: 10.12998/wjcc.v11.i28.6955.
5
A wandering spleen presenting as an acute abdomen: case report.
J Emerg Med. 2012 Nov;43(5):e303-5. doi: 10.1016/j.jemermed.2010.06.029. Epub 2010 Sep 19.
6
Torsion of the wandering spleen as an abdominal emergency: a case report.
BMC Surg. 2021 Jun 9;21(1):289. doi: 10.1186/s12893-021-01289-x.
7
Splenic torsion, a challenging diagnosis in an adult presenting with acute abdomen.
Int J Surg Case Rep. 2023 Oct;111:108898. doi: 10.1016/j.ijscr.2023.108898. Epub 2023 Oct 3.
8
Torsion of a wandering spleen in a pregnant patient presented with acute abdomen: A case report.
Int J Surg Case Rep. 2024 Jun;119:109721. doi: 10.1016/j.ijscr.2024.109721. Epub 2024 May 1.
9
Wandering spleen in the pelvic region in an adult man with symptoms of acute abdomen.
Arab J Gastroenterol. 2016 Mar;17(1):49-52. doi: 10.1016/j.ajg.2016.03.003. Epub 2016 Apr 4.
10
Torsion of wandering spleen.
Bratisl Lek Listy. 2009;110(11):723-5.

本文引用的文献

1
Wandering Spleen with Splenic Torsion: Unusual Cause of Acute Abdomen.
Int Med Case Rep J. 2022 Nov 4;15:625-630. doi: 10.2147/IMCRJ.S388271. eCollection 2022.
2
Torsion of spleen and portal hypertension: Pathophysiology and clinical implications.
World J Hepatol. 2021 Jul 27;13(7):774-780. doi: 10.4254/wjh.v13.i7.774.
3
Torsion of the wandering spleen as an abdominal emergency: a case report.
BMC Surg. 2021 Jun 9;21(1):289. doi: 10.1186/s12893-021-01289-x.
5
Wandering Spleen Volvulus: A Case Report and Literature Review of This Diagnostic Challenge.
Am J Case Rep. 2020 Sep 1;21:e925301. doi: 10.12659/AJCR.925301.
6
Torsion of Wandering Spleen Attached to the Omentum: A Rare Case Report from Iran.
Int J Gen Med. 2020 Jun 24;13:333-336. doi: 10.2147/IJGM.S248259. eCollection 2020.
7
Torsion of wandering spleen: radiological findings.
Emerg Radiol. 2020 Oct;27(5):555-560. doi: 10.1007/s10140-020-01786-1. Epub 2020 May 18.
8
Torsion of a wandering spleen as a cause of portal hypertension and mesenteric varices: a rare aetiology.
J Surg Case Rep. 2018 May 18;2018(5):rjy107. doi: 10.1093/jscr/rjy107. eCollection 2018 May.
9
Splenic torsion, a challenging diagnosis: Case report and review of literature.
Int J Surg Case Rep. 2018;44:212-216. doi: 10.1016/j.ijscr.2018.02.032. Epub 2018 Feb 25.
10
Tale of a wandering spleen: 1800 degree torsion with infarcted spleen and secondary involvement of liver.
J Radiol Case Rep. 2014 Jun 30;8(6):18-26. doi: 10.3941/jrcr.v8i6.1534. eCollection 2014 Jun.

文献AI研究员

20分钟写一篇综述,助力文献阅读效率提升50倍。

立即体验

用中文搜PubMed

大模型驱动的PubMed中文搜索引擎

马上搜索

文档翻译

学术文献翻译模型,支持多种主流文档格式。

立即体验