Suppr超能文献

斯洛伐克一只藏原羚体内多头蚴阶段感染的首次报告。

First report of infection with metacestode stages of in a kulan () from Slovakia.

作者信息

Delling Cora, Helm Christiane, Heinze Peggy, Friedman Miroslava, Böttcher Denny

机构信息

Institute of Parasitology, Faculty of Veterinary Medicine, Leipzig University, An den Tierkliniken 35, 04103, Leipzig, Germany.

Institute of Veterinary Pathology, Faculty of Veterinary Medicine, Leipzig University, An den Tierkliniken 33, 04103, Leipzig, Germany.

出版信息

Int J Parasitol Parasites Wildl. 2023 Sep 9;22:80-83. doi: 10.1016/j.ijppaw.2023.09.003. eCollection 2023 Dec.

Abstract

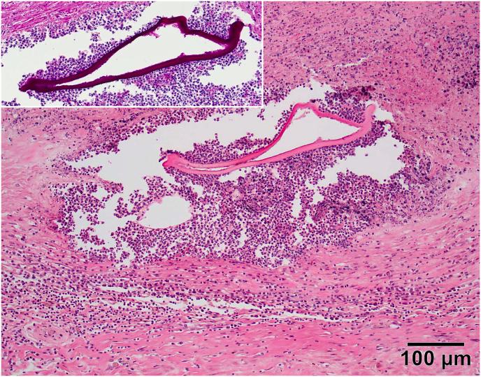
While the principle definitive host of the zoonotic cestode in Europe is the red fox, several rodent species act as main intermediate hosts. Among others, e.g., humans, dogs, and pigs, also horses have been described to act as aberrant hosts in highly endemic regions. Here, a case of an infection in a kulan () is described. The five years old kulan from a zoo in Slovakia was transported to an animal park in Germany. The animal had to be euthanized within a few weeks after the import due to its poor general state of health. The pathological examination revealed a nodular mass in the liver as an incidental finding. By histological examination of the mass, a pyogranulomatous and necrotizing inflammation and intralesional fragments of amorphous eosinophil layers were detected. The suspected diagnosis of infection was confirmed by PCR addressing parts of the genes 12S rRNA and the NADH dehydrogenase subunit 2, showing very high identities with isolates from France, Slovakia and the USA.

摘要

虽然欧洲人畜共患绦虫的主要终末宿主是赤狐,但几种啮齿动物物种是主要中间宿主。除此之外,例如人类、狗和猪,在高流行地区马也被描述为异常宿主。在此,描述了一例在印度野驴身上的感染病例。这头来自斯洛伐克一家动物园的5岁印度野驴被运到德国的一个野生动物园。由于其总体健康状况不佳,这头动物在进口后几周内不得不实施安乐死。病理检查偶然发现肝脏中有一个结节性肿块。通过对肿块进行组织学检查,检测到脓性肉芽肿性和坏死性炎症以及病灶内无定形嗜酸性层碎片。通过针对12S rRNA基因部分和NADH脱氢酶亚基2的PCR确诊了疑似的感染,显示与来自法国、斯洛伐克和美国的分离株具有非常高的同源性。

https://cdn.ncbi.nlm.nih.gov/pmc/blobs/edb0/10509565/2cd92a47db8f/ga1.jpg

文献AI研究员

20分钟写一篇综述,助力文献阅读效率提升50倍。

立即体验

用中文搜PubMed

大模型驱动的PubMed中文搜索引擎

马上搜索

文档翻译

学术文献翻译模型,支持多种主流文档格式。

立即体验