• 文献检索
  • 文档翻译
  • 深度研究
  • 学术资讯
  • Suppr Zotero 插件Zotero 插件
  • 邀请有礼
  • 套餐&价格
  • 历史记录
应用&插件
Suppr Zotero 插件Zotero 插件浏览器插件Mac 客户端Windows 客户端微信小程序
定价
高级版会员购买积分包购买API积分包
服务
文献检索文档翻译深度研究API 文档MCP 服务
关于我们
关于 Suppr公司介绍联系我们用户协议隐私条款
关注我们

Suppr 超能文献

核心技术专利:CN118964589B侵权必究
粤ICP备2023148730 号-1Suppr @ 2026

文献检索

告别复杂PubMed语法,用中文像聊天一样搜索,搜遍4000万医学文献。AI智能推荐,让科研检索更轻松。

立即免费搜索

文件翻译

保留排版,准确专业,支持PDF/Word/PPT等文件格式,支持 12+语言互译。

免费翻译文档

深度研究

AI帮你快速写综述,25分钟生成高质量综述,智能提取关键信息,辅助科研写作。

立即免费体验

术前心脏计算机断层扫描在使用Watchman FLX装置规划左心耳封堵中的附加价值。

The Added Value of Preprocedural Cardiac Computed Tomography in Planning Left Atrial Appendage Closure With the Watchman FLX Device.

作者信息

Kassab Joseph, Nakhla Shady, Miyasaka Rhonda L, Saliba Walid, Ghobrial Joanna, Wazni Oussama, Kapadia Samir R, Kanj Mohamed, Harb Serge C

机构信息

Heart, Vascular, and Thoracic Institute, Cleveland Clinic Foundation, Cleveland, Ohio, USA.

出版信息

Struct Heart. 2023 May 16;7(5):100188. doi: 10.1016/j.shj.2023.100188. eCollection 2023 Sep.

DOI:10.1016/j.shj.2023.100188
PMID:37745676
原文链接:https://pmc.ncbi.nlm.nih.gov/articles/PMC10513000/
Abstract

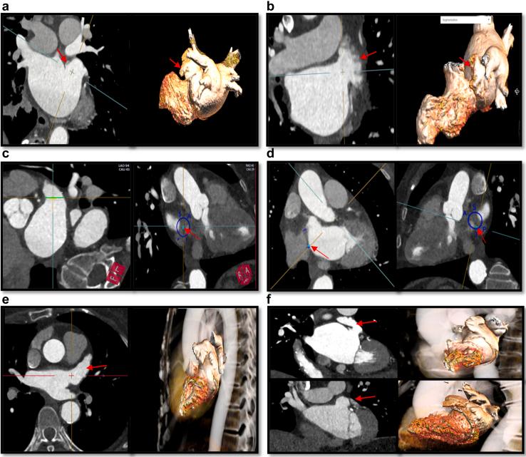
•Cardiac computed tomography (CCT) can be used as a useful complementary tool in preprocedural planning of left atrial appendage closure.•CCT planning includes assessing exclusion criteria, device sizing, sheath selection, anticipating challenging anatomies, and transseptal puncture planning.•Procedural 3D intracardiac echocardiography (3D-ICE) is increasingly being used instead of transesophageal echocardiography. In this setting, preprocedural CCT is useful to compensate for 3D ICE's reduced resolution.

摘要

•心脏计算机断层扫描(CCT)可作为左心耳封堵术前规划的有用辅助工具。

•CCT规划包括评估排除标准、确定器械尺寸、选择鞘管、预判复杂解剖结构以及经间隔穿刺规划。

•术中三维心内超声心动图(3D-ICE)越来越多地被用于替代经食管超声心动图。在这种情况下,术前CCT有助于弥补3D-ICE分辨率降低的不足。

https://cdn.ncbi.nlm.nih.gov/pmc/blobs/5faa/10513000/23ea8eb18bb8/gr6.jpg
https://cdn.ncbi.nlm.nih.gov/pmc/blobs/5faa/10513000/d9ae38773b38/gr1.jpg
https://cdn.ncbi.nlm.nih.gov/pmc/blobs/5faa/10513000/0025f745466a/gr2.jpg
https://cdn.ncbi.nlm.nih.gov/pmc/blobs/5faa/10513000/bae22464d313/gr3.jpg
https://cdn.ncbi.nlm.nih.gov/pmc/blobs/5faa/10513000/702af82062f4/gr4.jpg
https://cdn.ncbi.nlm.nih.gov/pmc/blobs/5faa/10513000/038918e9b4af/gr5.jpg
https://cdn.ncbi.nlm.nih.gov/pmc/blobs/5faa/10513000/23ea8eb18bb8/gr6.jpg
https://cdn.ncbi.nlm.nih.gov/pmc/blobs/5faa/10513000/d9ae38773b38/gr1.jpg
https://cdn.ncbi.nlm.nih.gov/pmc/blobs/5faa/10513000/0025f745466a/gr2.jpg
https://cdn.ncbi.nlm.nih.gov/pmc/blobs/5faa/10513000/bae22464d313/gr3.jpg
https://cdn.ncbi.nlm.nih.gov/pmc/blobs/5faa/10513000/702af82062f4/gr4.jpg
https://cdn.ncbi.nlm.nih.gov/pmc/blobs/5faa/10513000/038918e9b4af/gr5.jpg
https://cdn.ncbi.nlm.nih.gov/pmc/blobs/5faa/10513000/23ea8eb18bb8/gr6.jpg

相似文献

1
The Added Value of Preprocedural Cardiac Computed Tomography in Planning Left Atrial Appendage Closure With the Watchman FLX Device.术前心脏计算机断层扫描在使用Watchman FLX装置规划左心耳封堵中的附加价值。
Struct Heart. 2023 May 16;7(5):100188. doi: 10.1016/j.shj.2023.100188. eCollection 2023 Sep.
2
Novel computed tomography angiography-based sizing methodology for WATCHMAN FLX device in left atrial appendage closure.基于新型计算机断层血管造影的左心耳封堵术 WATCHMAN FLX 装置大小测量方法。
J Cardiovasc Electrophysiol. 2022 Aug;33(8):1781-1787. doi: 10.1111/jce.15548. Epub 2022 May 26.
3
Left Atrial Appendage Occlusion Using Cardiac CT Angiography and Intracardiac Echocardiography: A Prospective, Single-Center Study.应用心脏 CT 血管造影和心内超声心动图行左心耳封堵术:一项前瞻性、单中心研究。
J Invasive Cardiol. 2021 Nov;33(11):E851-E856. doi: 10.25270/jic/20.00706. Epub 2021 Oct 7.
4
Additive Value of Preprocedural Computed Tomography Planning Versus Stand-Alone Transesophageal Echocardiogram Guidance to Left Atrial Appendage Occlusion: Comparison of Real-World Practice.经皮左心耳封堵术前行 CT 规划与单独行经食管超声心动图引导的附加价值:真实世界实践的比较。
J Am Heart Assoc. 2021 Sep 7;10(17):e020615. doi: 10.1161/JAHA.120.020615. Epub 2021 Aug 16.
5
Intracardiac Echocardiography to Guide Watchman FLX Implantation: The ICE LAA Study.心腔内超声心动图指导Watchman FLX植入:ICE LAA研究
JACC Cardiovasc Interv. 2023 Mar 27;16(6):643-651. doi: 10.1016/j.jcin.2022.10.024. Epub 2023 Feb 8.
6
Left atrial appendage closure with the Watchman device using intracardiac vs transesophageal echocardiography: Procedural and cost considerations.经心内 vs 经食管超声心动图引导下使用 Watchman 装置行左心耳封堵术:操作和费用相关考虑。
Heart Rhythm. 2019 Mar;16(3):334-342. doi: 10.1016/j.hrthm.2018.12.013.
7
Intracardiac echocardiography- versus transesophageal echocardiography-guided left atrial appendage occlusion with Watchman FLX.经胸超声心动图与经食管超声心动图引导下使用 Watchman FLX 封堵左心耳
J Cardiovasc Electrophysiol. 2021 Oct;32(10):2781-2784. doi: 10.1111/jce.15220. Epub 2021 Sep 5.
8
The Watchman FLX Device: First European Experience and Feasibility of Intracardiac Echocardiography to Guide Implantation.Watchman FLX 装置:欧洲首例经验及腔内超声指导植入的可行性。
JACC Clin Electrophysiol. 2020 Dec 14;6(13):1633-1642. doi: 10.1016/j.jacep.2020.06.028. Epub 2020 Aug 26.
9
Validation of a computational model aiming to optimize preprocedural planning in percutaneous left atrial appendage closure.验证一种旨在优化经皮左心耳封堵术术前规划的计算模型。
J Cardiovasc Comput Tomogr. 2020 Mar-Apr;14(2):149-154. doi: 10.1016/j.jcct.2019.08.010. Epub 2019 Aug 20.
10
Periprocedural Imaging for Left Atrial Appendage Closure: Computed Tomography, Transesophageal Echocardiography, and Intracardiac Echocardiography.左心耳封堵术的围手术期影像学:计算机断层扫描、经食管超声心动图和心内超声心动图。
Card Electrophysiol Clin. 2020 Mar;12(1):55-65. doi: 10.1016/j.ccep.2019.11.007.

引用本文的文献

1
Measure twice, implant once.测量两次,植入一次。
J Interv Card Electrophysiol. 2024 Jun;67(4):689-690. doi: 10.1007/s10840-024-01740-y. Epub 2024 Feb 3.

本文引用的文献

1
Large thrombus originating from left atrial diverticulum: a new concern for catheter ablation of atrial fibrillation.源自左心房憩室的大血栓:心房颤动导管消融术的新关注点。
Circulation. 2011 Aug 30;124(9):1086-8. doi: 10.1161/CIRCULATIONAHA.110.000315.
2
Presence of accessory left atrial appendage/diverticula in a population with atrial fibrillation compared with those in sinus rhythm: a retrospective review.在房颤患者中与窦性心律患者比较,存在左心耳/憩室附件:一项回顾性研究。
Int J Cardiovasc Imaging. 2012 Feb;28(2):375-80. doi: 10.1007/s10554-011-9815-4. Epub 2011 Feb 18.