Suppr超能文献

Transitional cell carcinoma in an ileal conduit.

作者信息

Curran F T, Fuggle W J

出版信息

Postgrad Med J. 1986 Aug;62(730):769-71. doi: 10.1136/pgmj.62.730.769.

Abstract

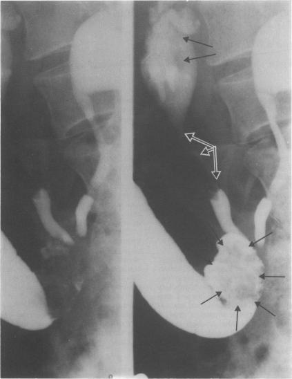
Following cystectomy for transitional cell carcinoma a 63 year old woman developed recurrent tumours in the upper urinary tract and ileal conduit, suggesting that malignant transitional cells can auto-implant in ileal epithelium. This phenomenon has not been previously reported. We illustrate the value of retrograde urogram via an ileal conduit following cystectomy for cancer.

摘要
https://cdn.ncbi.nlm.nih.gov/pmc/blobs/9225/2418828/829f5d7ea545/postmedj00102-0055-a.jpg

引用本文的文献

本文引用的文献

1
Multicentric origin of papillary tumors of the urinary tract.
J Urol. 1951 Dec;66(6):792-805. doi: 10.1016/S0022-5347(17)74417-5.
2
DYNAMICS OF ILEAL CONDUITS.
Radiology. 1965 Aug;85:338-42. doi: 10.1148/85.2.338.
3
Upper urinary tract transitional cell cancer after radical cystectomy for bladder cancer.
J Urol. 1984 Jan;131(1):50-2. doi: 10.1016/s0022-5347(17)50195-0.
4
Ileal conduit exfoliative cytology in the diagnosis of recurrent cancer.
J Urol. 1972 May;107(5):835-9. doi: 10.1016/s0022-5347(17)61154-6.
5
Renal pelvic tumors.
JAMA. 1971 Nov 8;218(6):845-54.
6
Carcinoma of ileal bladder stoma.
J Urol. 1974 Sep;112(3):332-4. doi: 10.1016/s0022-5347(17)59722-0.
7
Carcinoma of the renal pelvis: a review of 43 cases.
Br J Urol. 1973 Aug;45(4):370-6. doi: 10.1111/j.1464-410x.1973.tb12174.x.
8
Recurrent transitional cell carcinoma complicating ileal conduit.
Br J Urol. 1976 Feb;48(1):60. doi: 10.1111/j.1464-410x.1976.tb02743.x.
9
Papillary (transitional) carcinoma in an ileal conduit.
J Urol. 1975 Oct;114(4):626-7. doi: 10.1016/s0022-5347(17)67103-9.
10
Histologic appearance of the intestinal urinary conduit.
J Urol. 1975 Dec;114(6):854-7. doi: 10.1016/s0022-5347(17)67159-3.

文献AI研究员

20分钟写一篇综述,助力文献阅读效率提升50倍。

立即体验

用中文搜PubMed

大模型驱动的PubMed中文搜索引擎

马上搜索

文档翻译

学术文献翻译模型,支持多种主流文档格式。

立即体验