Suppr超能文献

免疫功能正常宿主播散性组织胞浆菌病的不寻常表现

Unusual Presentation of Disseminated Histoplasmosis in an Immunocompetent Host.

作者信息

Subramanian Maya, Mehta Ashin, Jha Pinky

机构信息

Medicine, Medical College of Wisconsin, Wauwatosa, USA.

Internal Medicine, Medical College of Wisconsin, Wauwatosa, USA.

出版信息

Cureus. 2023 Aug 26;15(8):e44170. doi: 10.7759/cureus.44170. eCollection 2023 Aug.

Abstract

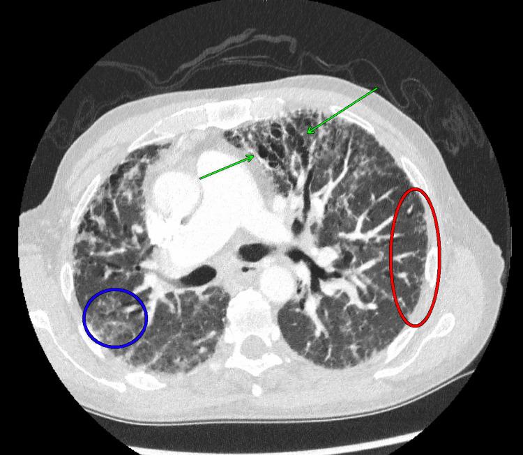
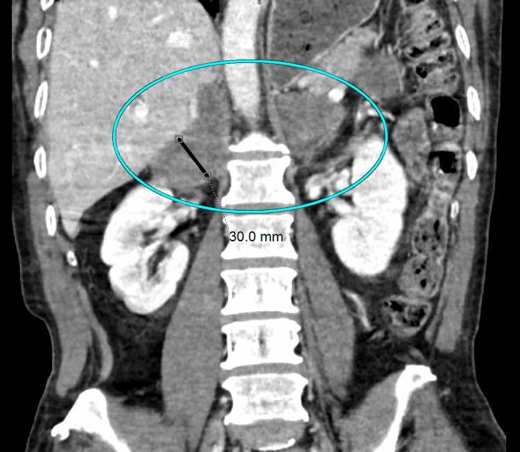
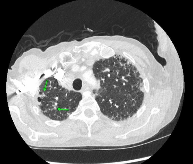
Histoplasmosis, a fungal infection caused by the inhalation of conidia spores, has been shown to cause disseminated disease in immunocompromised individuals. Disseminated histoplasmosis manifests as multi-system involvement including pulmonary and/or neurological disease. Imaging findings, such as pulmonary focal infiltrates, cavitary nodules, mediastinal, and hilar lymphadenopathy, are common. Here, we report a rare case of disseminated histoplasmosis in a 58-year-old immunocompetent male with no occupational exposure. This patient presented with primary adrenal insufficiency, and a subsequent CT-guided biopsy of the adrenal gland was performed and revealed numerous spores containing . This patient also suffered from numerous pulmonary and neurological derangements, which are likely sequelae of the disseminated fungal infection. Ultimately, the patient succumbed to their illness and died. Preventing such outcomes relies on early detection and prompt management, which are crucial in treating disseminated histoplasmosis. Increased awareness of atypical presentations can enhance patient outcomes and alleviate the impact of this severe fungal infection. This case not only underscores the importance of considering disseminated histoplasmosis in an immunocompetent patient presenting with unexplained weight loss and adrenal insufficiency but also contributes to the limited literature on disseminated histoplasmosis in immunocompetent individuals.

摘要

组织胞浆菌病是一种因吸入分生孢子而引起的真菌感染,已被证明会在免疫功能低下的个体中引发播散性疾病。播散性组织胞浆菌病表现为多系统受累,包括肺部和/或神经系统疾病。影像学表现,如肺部局灶性浸润、空洞性结节、纵隔和肺门淋巴结肿大,较为常见。在此,我们报告一例罕见的播散性组织胞浆菌病病例,患者为一名58岁免疫功能正常的男性,无职业暴露史。该患者出现原发性肾上腺功能不全,随后进行了CT引导下的肾上腺活检,结果显示有大量含孢子的组织。该患者还患有多种肺部和神经系统紊乱,这可能是播散性真菌感染的后遗症。最终,患者因病死亡。预防此类后果依赖于早期发现和及时治疗,这对治疗播散性组织胞浆菌病至关重要。提高对非典型表现的认识可以改善患者预后,减轻这种严重真菌感染的影响。该病例不仅强调了在出现不明原因体重减轻和肾上腺功能不全的免疫功能正常患者中考虑播散性组织胞浆菌病的重要性,也为免疫功能正常个体播散性组织胞浆菌病的有限文献增添了内容。

https://cdn.ncbi.nlm.nih.gov/pmc/blobs/09f7/10519440/eb889fb7b3b6/cureus-0015-00000044170-i01.jpg

文献AI研究员

20分钟写一篇综述,助力文献阅读效率提升50倍。

立即体验

用中文搜PubMed

大模型驱动的PubMed中文搜索引擎

马上搜索

文档翻译

学术文献翻译模型,支持多种主流文档格式。

立即体验