Suppr超能文献

一名接受硫嘌呤和抗TNF治疗的克罗恩病患者发生原发性肝淋巴瘤:病例报告

A primary hepatic lymphoma in a patient with Crohn's disease receiving thiopurine and anti-TNF therapy: a case report.

作者信息

Merhaben Salma, Ayadi Shema, Tangour Monia, Boujelbene Nadia, Ghariani Rayfa, Mouelhi Leila, Merhaben Fathi

机构信息

Gastroenterology Department, Charles Nicolle hospital, Tunis, 1006, Tunisia.

Histopathology Department, Salah Azaiez Institute, Tunis, 1007, Tunisia.

出版信息

Future Sci OA. 2023 Aug 28;9(10):FSO893. doi: 10.2144/fsoa-2023-0082. eCollection 2023 Dec.

Abstract

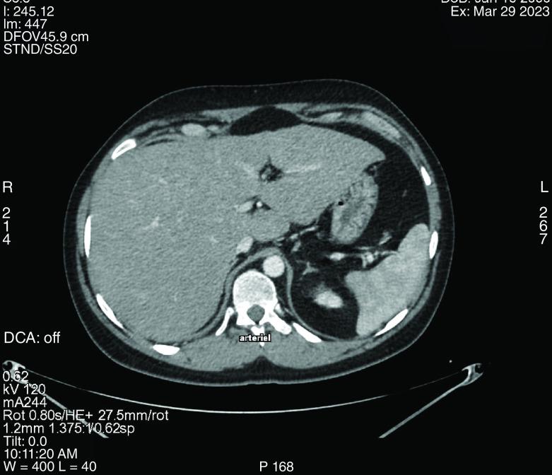
Primary hepatic lymphoma is a rare variant of non-Hodgkin's lymphoma with an incidence of 0.016% of all non-Hodgkin lymphomas. The most common histologic subtype is large diffuse B-cell lymphoma. Pathogenesis is not clearly established and undergoing immunosuppressive therapy has been proposed as a risk factor for primary hepatic lymphoma. We report an intriguing case study, featuring a 23-year-old male patient with Crohn's Disease who had been receiving a combination therapy of thiopurine and anti-TNF for 6 years and was diagnosed with primary hepatic diffuse large B-cell lymphoma.

摘要

原发性肝淋巴瘤是一种罕见的非霍奇金淋巴瘤变体,占所有非霍奇金淋巴瘤的0.016%。最常见的组织学亚型是弥漫性大B细胞淋巴瘤。其发病机制尚未明确,有人提出接受免疫抑制治疗是原发性肝淋巴瘤的一个危险因素。我们报告了一个有趣的病例研究,患者为一名23岁的克罗恩病男性,接受硫嘌呤和抗TNF联合治疗6年,被诊断为原发性肝弥漫性大B细胞淋巴瘤。

https://cdn.ncbi.nlm.nih.gov/pmc/blobs/097a/10518835/b6007840a4c2/fsoa-09-893-g1.jpg

相似文献

1
A primary hepatic lymphoma in a patient with Crohn's disease receiving thiopurine and anti-TNF therapy: a case report.
Future Sci OA. 2023 Aug 28;9(10):FSO893. doi: 10.2144/fsoa-2023-0082. eCollection 2023 Dec.
2
Hepatosplenic T-cell lymphoma in a 47-year-old Crohn's disease patient on thiopurine monotherapy.
World J Gastroenterol. 2016 Dec 21;22(47):10465-10470. doi: 10.3748/wjg.v22.i47.10465.
3
Primary colonic MALT lymphoma associated with Crohn's disease: Case report and review of the literature.
Clin Case Rep. 2023 May 25;11(6):e7381. doi: 10.1002/ccr3.7381. eCollection 2023 Jun.
4
Role of thiopurine and anti-TNF therapy in lymphoma in inflammatory bowel disease.
Am J Gastroenterol. 2011 Dec;106(12):2146-53. doi: 10.1038/ajg.2011.283. Epub 2011 Oct 25.
6
Hepatosplenic T-Cell Lymphoma: A Rare Complication of Monotherapy with Thiopurines in Crohn's Disease.
GE Port J Gastroenterol. 2019 Jul;26(4):279-284. doi: 10.1159/000493350. Epub 2018 Nov 28.
7
Predictors of anti-TNF treatment failure in anti-TNF-naive patients with active luminal Crohn's disease: a prospective, multicentre, cohort study.
Lancet Gastroenterol Hepatol. 2019 May;4(5):341-353. doi: 10.1016/S2468-1253(19)30012-3. Epub 2019 Feb 27.
8
Mesentery lymphoma in a patient with Crohn's disease: An extremely rare entity.
Int J Surg Case Rep. 2012;3(7):343-5. doi: 10.1016/j.ijscr.2012.04.005. Epub 2012 Apr 16.
10
Perforated small bowel lymphoma: a rare presentation of Crohn's disease.
J Surg Case Rep. 2024 Mar 11;2024(3):rjae135. doi: 10.1093/jscr/rjae135. eCollection 2024 Mar.

引用本文的文献

1
A Case Report of Follicular Lymphoma in a Crohn's Disease Patient Treated With Azathioprine.
Cureus. 2023 Dec 20;15(12):e50839. doi: 10.7759/cureus.50839. eCollection 2023 Dec.

本文引用的文献

2
Prognosis of primary hepatic lymphoma: A US population-based analysis.
Transl Oncol. 2021 Jan;14(1):100931. doi: 10.1016/j.tranon.2020.100931. Epub 2020 Nov 11.
3
Prognosis of Lymphoma in Patients With Known Inflammatory Bowel Disease: A French Multicentre Cohort Study.
J Crohns Colitis. 2020 Sep 16;14(9):1222-1230. doi: 10.1093/ecco-jcc/jjaa048.
4
Reappraisal of primary hepatic lymphoma: Is surgical resection underestimated?
Crit Rev Oncol Hematol. 2018 Mar;123:1-6. doi: 10.1016/j.critrevonc.2018.01.004. Epub 2018 Jan 30.
6
Impact of anti-TNF therapy on NK cells function and on immunosurveillance against B-cell lymphomas.
J Autoimmun. 2017 Jun;80:56-64. doi: 10.1016/j.jaut.2017.02.001. Epub 2017 Feb 14.
7
Adalimumab Monotherapy and a Combination with Azathioprine for Crohn's Disease: A Prospective, Randomized Trial.
J Crohns Colitis. 2016 Nov;10(11):1259-1266. doi: 10.1093/ecco-jcc/jjw152. Epub 2016 Aug 26.
8
European Evidence-based Consensus: Inflammatory Bowel Disease and Malignancies.
J Crohns Colitis. 2015 Nov;9(11):945-65. doi: 10.1093/ecco-jcc/jjv141. Epub 2015 Aug 20.
10
Systematic review with meta-analysis: malignancies with anti-tumour necrosis factor-α therapy in inflammatory bowel disease.
Aliment Pharmacol Ther. 2014 Mar;39(5):447-58. doi: 10.1111/apt.12624. Epub 2014 Jan 20.

文献AI研究员

20分钟写一篇综述,助力文献阅读效率提升50倍。

立即体验

用中文搜PubMed

大模型驱动的PubMed中文搜索引擎

马上搜索

文档翻译

学术文献翻译模型,支持多种主流文档格式。

立即体验