Suppr超能文献

皮层肌动蛋白表达对乳腺癌患者预后的影响。

Effects of Cortactin Expression on Prognosis in Patients with Breast Cancer.

作者信息

Son Hwangkyu, Jee Seungyun, Cha Hyebin, Song Kihyuk, Bang Seongsik, Kim Hyunsung, Paik Seungsam, Park Hosub, Myung Jaekyung

机构信息

Department of Pathology, Hanyang University College of Medicine, Seoul 04763, Republic of Korea.

出版信息

Diagnostics (Basel). 2023 Sep 7;13(18):2876. doi: 10.3390/diagnostics13182876.

Abstract

BACKGROUND

Cortactin is overexpressed in several types of invasive cancers. However, the role of cortactin expression in breast cancer prognosis has not been sufficiently elucidated. Therefore, we investigated the clinicopathological significance of cortactin in breast cancer.

METHODS

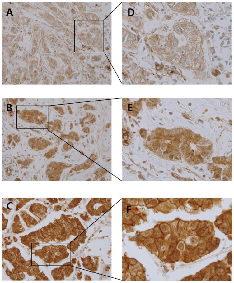
Tissue microarrays were prepared from a cohort of 506 patients with breast cancer, and cortactin expression was evaluated using immunohistochemistry. The cortactin immunoreactivity score (IRS) was quantified as the product of the intensity score and the percentage of immunoreactive cells. Cortactin expression was classified as low or high using the IRS (IRS ≤ 4 as a cortactin-low value and IRS > 4 as a cortactin-high value). We compared cortactin expression and clinicopathological factors according to the molecular subtypes of breast cancer.

RESULTS

Of 506 breast cancer cases, 333 and 173 showed high and low cortactin expression, respectively. Of the 333 patients with high cortactin expression, 204, 58, and 71 had luminal, HER2, and triple-negative breast cancer (TNBC), respectively. In the univariate and multivariate analyses of patients with TNBC, cortactin expression was found to be a significant prognostic factor for overall survival (OS). However, in all patients with non-TNBC, cortactin expression had no significant association with prognosis or overall survival. Survival curves revealed that among patients with TNBC, the high-cortactin group had a better prognosis in disease-free survival and OS.

CONCLUSIONS

Cortactin expression may be a good biomarker for predicting the prognosis of patients with TNBC.

摘要

背景

皮层肌动蛋白在多种侵袭性癌症中过表达。然而,皮层肌动蛋白表达在乳腺癌预后中的作用尚未得到充分阐明。因此,我们研究了皮层肌动蛋白在乳腺癌中的临床病理意义。

方法

从506例乳腺癌患者队列中制备组织微阵列,并使用免疫组织化学评估皮层肌动蛋白表达。皮层肌动蛋白免疫反应性评分(IRS)被量化为强度评分与免疫反应性细胞百分比的乘积。根据IRS将皮层肌动蛋白表达分为低表达或高表达(IRS≤4为皮层肌动蛋白低表达值,IRS>4为皮层肌动蛋白高表达值)。我们根据乳腺癌的分子亚型比较了皮层肌动蛋白表达与临床病理因素。

结果

在506例乳腺癌病例中,分别有333例和173例显示皮层肌动蛋白高表达和低表达。在333例皮层肌动蛋白高表达患者中,分别有204例、58例和71例患有管腔型、HER2型和三阴性乳腺癌(TNBC)。在TNBC患者的单因素和多因素分析中,发现皮层肌动蛋白表达是总生存期(OS)的一个重要预后因素。然而,在所有非TNBC患者中,皮层肌动蛋白表达与预后或总生存期无显著关联。生存曲线显示,在TNBC患者中,皮层肌动蛋白高表达组在无病生存期和OS方面预后较好。

结论

皮层肌动蛋白表达可能是预测TNBC患者预后的良好生物标志物。

https://cdn.ncbi.nlm.nih.gov/pmc/blobs/86d8/10530131/06bc9d8468b6/diagnostics-13-02876-g001.jpg

文献检索

告别复杂PubMed语法,用中文像聊天一样搜索,搜遍4000万医学文献。AI智能推荐,让科研检索更轻松。

立即免费搜索

文件翻译

保留排版,准确专业,支持PDF/Word/PPT等文件格式,支持 12+语言互译。

免费翻译文档

深度研究

AI帮你快速写综述,25分钟生成高质量综述,智能提取关键信息,辅助科研写作。

立即免费体验