Sartorius BIA Separations d.o.o., Mirce 21, 5270 Ajdovščina, Slovenia.
Faculty of Medicine, University of Ljubljana, Vrazov trg 2, 1000 Ljubljana, Slovenia.
Int J Mol Sci. 2023 Sep 19;24(18):14267. doi: 10.3390/ijms241814267.
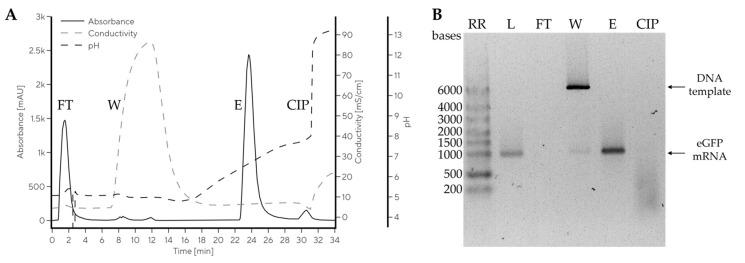
Messenger RNA (mRNA) is becoming an increasingly important therapeutic modality due to its potential for fast development and platform production. New emerging RNA modalities, such as circular RNA, drive the need for the development of non-affinity purification approaches. Recently, the highly efficient chromatographic purification of mRNA was demonstrated with multimodal monolithic chromatography media (CIM PrimaS), where efficient mRNA elution was achieved with an ascending pH gradient approach at pH 10.5. Here, we report that a newly developed chromatographic material enables the elution of mRNA at neutral pH and room temperature. This material demonstrates weak anion-exchanging properties and an isoelectric point of 5.3. It enables the baseline separation of mRNA (at least up to 10,000 nucleotides (nt) in size) from parental plasmid DNA (regardless of isoform composition) with both a NaCl gradient and ascending pH gradient approach, while mRNA elution is achieved in a pH range of 5-7. In addition, the basic structure of the novel material is a chromatographic monolith, enabling convection-assisted mass transfer of large RNA molecules to and from the active surface. This facilitates the elution of mRNA in 3-7 column volumes with more than 80% elution recovery and uncompromised integrity. This is demonstrated by the purification of a model mRNA (size 995 nt) from an in vitro transcription reaction mixture. The purified mRNA is stable for at least 34 days, stored in purified HO at room temperature.
信使 RNA(mRNA)因其快速开发和平台生产的潜力,正成为一种日益重要的治疗模式。新型 RNA 模式,如环状 RNA,推动了非亲和性纯化方法的发展需求。最近,通过多模式整体色谱介质(CIM PrimaS),高效地实现了 mRNA 的高效色谱纯化,其中采用 pH10.5 的上升 pH 梯度法实现了有效的 mRNA 洗脱。在这里,我们报告了一种新开发的色谱材料,可在中性 pH 和室温下洗脱 mRNA。该材料表现出较弱的阴离子交换特性和等电点为 5.3。它能够在 NaCl 梯度和上升 pH 梯度法的作用下,从母体质粒 DNA(无论其亚型组成如何)中基线分离 mRNA(至少大小为 10000 个核苷酸(nt)),同时在 pH5-7 的范围内实现 mRNA 的洗脱。此外,新型材料的基本结构是色谱整体柱,能够促进大 RNA 分子在活性表面的对流辅助传质。这使得可以在 3-7 个柱体积内洗脱 mRNA,洗脱回收率超过 80%,且完整性不受影响。这通过从体外转录反应混合物中纯化模型 mRNA(大小为 995nt)得到了证明。纯化的 mRNA在室温下储存在纯化的水中至少 34 天稳定。