Suppr超能文献

嗜酸性肠炎发作酷似急性胃肠炎:1例罕见病例

Eosinophilic Enteritis Flare-Up Mimicking Acute Gastroenteritis: A Rare Case.

作者信息

Veer Maha, Devi Sapna, Sonia Fnu, Khenhrani Raja Ram, Kumar Mukesh

机构信息

Medicine, Liaquat University of Medical and Health Sciences, Jamshoro, PAK.

Internal Medicine, Shaheed Mohtarma Benazir Bhutto Medical College, Karachi, PAK.

出版信息

Cureus. 2023 Aug 27;15(8):e44199. doi: 10.7759/cureus.44199. eCollection 2023 Aug.

Abstract

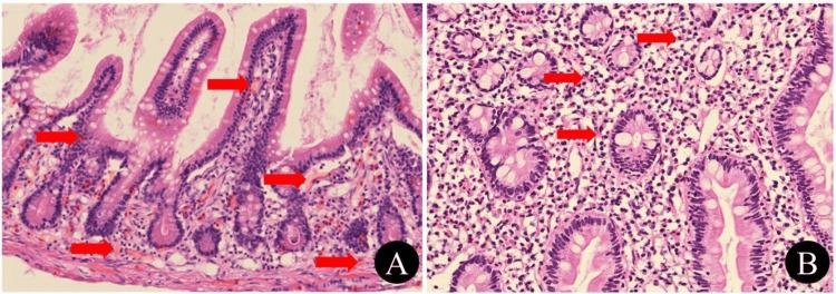
Eosinophilic enteritis is a rare subset of eosinophilic gastrointestinal disorders. It typically presents with chronic symptoms of abdominal pain, nausea, vomiting, diarrhea, and ascites. However, the clinical presentation can vary due to acute flare-ups. Here, we present a case of eosinophilic enteritis in a young female patient with intractable vomiting and diarrhea, mimicking acute gastroenteritis in the absence of other gastrointestinal symptoms. This case illustrates the challenge of diagnosing acute and diverse presentations of eosinophilic enteritis. It also highlights the importance of promptly treating and confirming the diagnosis through urgent tissue histopathology in adolescents with unexplained vomiting and diarrhea.

摘要

嗜酸性粒细胞性肠炎是嗜酸性粒细胞性胃肠道疾病的一个罕见亚型。它通常表现为腹痛、恶心、呕吐、腹泻和腹水等慢性症状。然而,由于急性发作,临床表现可能会有所不同。在此,我们报告一例年轻女性嗜酸性粒细胞性肠炎患者,其出现顽固性呕吐和腹泻,在无其他胃肠道症状的情况下酷似急性胃肠炎。该病例说明了诊断嗜酸性粒细胞性肠炎急性和多样表现的挑战。它还强调了在患有不明原因呕吐和腹泻的青少年中通过紧急组织病理学及时治疗和确诊的重要性。

https://cdn.ncbi.nlm.nih.gov/pmc/blobs/0c0b/10521587/208d0c1fb2b8/cureus-0015-00000044199-i01.jpg

文献AI研究员

20分钟写一篇综述,助力文献阅读效率提升50倍。

立即体验

用中文搜PubMed

大模型驱动的PubMed中文搜索引擎

马上搜索

文档翻译

学术文献翻译模型,支持多种主流文档格式。

立即体验