• 文献检索
  • 文档翻译
  • 深度研究
  • 学术资讯
  • Suppr Zotero 插件Zotero 插件
  • 邀请有礼
  • 套餐&价格
  • 历史记录
应用&插件
Suppr Zotero 插件Zotero 插件浏览器插件Mac 客户端Windows 客户端微信小程序
定价
高级版会员购买积分包购买API积分包
服务
文献检索文档翻译深度研究API 文档MCP 服务
关于我们
关于 Suppr公司介绍联系我们用户协议隐私条款
关注我们

Suppr 超能文献

核心技术专利:CN118964589B侵权必究
粤ICP备2023148730 号-1Suppr @ 2026

文献检索

告别复杂PubMed语法,用中文像聊天一样搜索,搜遍4000万医学文献。AI智能推荐,让科研检索更轻松。

立即免费搜索

文件翻译

保留排版,准确专业,支持PDF/Word/PPT等文件格式,支持 12+语言互译。

免费翻译文档

深度研究

AI帮你快速写综述,25分钟生成高质量综述,智能提取关键信息,辅助科研写作。

立即免费体验

异氟醚预处理对新生大鼠缺氧缺血性脑病神经功能的保护作用

Protective effect of isoflurane preconditioning on neurological function in rats with HIE.

作者信息

Fei-Sun Yi, Huang Miao, Qin Hao-Yue, Campos de SouzaHan Senio, Xue Han, Wang Yu-Ying, Wang Yi-Bo

机构信息

Institute of Neurological Disease, National-Local Joint Engineering Research Center of Translational Medicine of Anesthesiology, West China Hospital Sichuan University Chengdu Sichuan China.

Center for Epigenetics and Induced Pluripotent Stem Cells, Kennedy Krieger Institute Johns Hopkins University Baltimore USA.

出版信息

Ibrain. 2022 Dec 3;8(4):500-515. doi: 10.1002/ibra.12081. eCollection 2022 Winter.

DOI:10.1002/ibra.12081
PMID:37786586
原文链接:https://pmc.ncbi.nlm.nih.gov/articles/PMC10528772/
Abstract

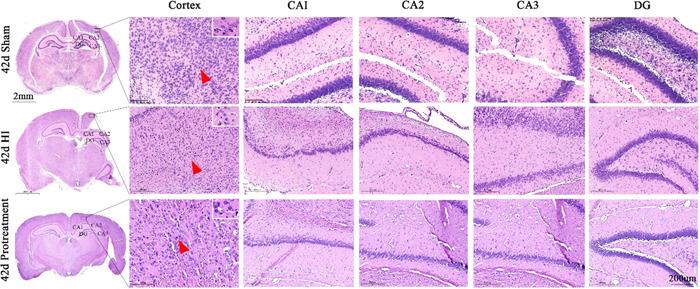
Hypoxic-ischemic encephalopathy (HIE) is an important cause of neonatal death and disability, which can lead to long-term neurological and motor dysfunction. Currently, inhalation anesthetics are widely used in surgery, and some studies have found that isoflurane (ISO) may have a positive effect on neuroprotection. In this paper, we investigated whether ISO pretreatment has a neuroprotective effect on the neurological function of HIE rats. Here, 7-day-old neonatal rats were randomly divided into a sham group, a hypoxic-ischemic (HI) group, and an ISO pretreatment (pretreatment) group. The pretreatment group was pretreated with 2% ISO for 1 h, followed by the HI group to establish an HI animal model. The HI‑induced neurological injury was evaluated by Zea‑Longa scores and triphenyltetrazolium (TTC) staining. Neuronal number and histomorphological changes were observed with Nissl staining and Hematoxylin-eosin (HE) staining. In addition, motor learning memory function was evaluated by the Morris water maze (MWM), the Y-maze, and the rotarod tests. HI induced severe neurological dysfunction, brain infarction, and cell apoptosis as well as obvious neuron loss in neonatal rats. In the MWM, the rats in the pretreatment group showed a decrease in escape latency ( = 0.042), indicating that pretreatment with ISO could improve the learning ability of HI rats. The results of Nissl staining showed that in the HI group, there was an irregular arrangement of neurons and nuclear fixation; however, the cell damage was significantly reduced and the total number of neurons was increased after ISO pretreatment ( < 0.001). In conclusion, ISO pretreatment improved cognitive function and attenuated HI-induced reduction of Nissl-positive cells and spatial memory impairment, suggesting that pretreatment with ISO before HI modeling could reduce neuronal cell death in the hippocampus after HI.

摘要

缺氧缺血性脑病(HIE)是新生儿死亡和残疾的重要原因,可导致长期神经和运动功能障碍。目前,吸入麻醉剂在手术中广泛使用,一些研究发现异氟烷(ISO)可能具有神经保护作用。在本文中,我们研究了ISO预处理对HIE大鼠神经功能是否具有神经保护作用。在此,将7日龄新生大鼠随机分为假手术组、缺氧缺血(HI)组和ISO预处理组。预处理组用2% ISO预处理1小时,随后与HI组一起建立HI动物模型。通过Zea-Longa评分和三苯基四氮唑(TTC)染色评估HI诱导的神经损伤。用尼氏染色和苏木精-伊红(HE)染色观察神经元数量和组织形态学变化。此外,通过莫里斯水迷宫(MWM)、Y迷宫和转棒试验评估运动学习记忆功能。HI诱导新生大鼠出现严重的神经功能障碍、脑梗死、细胞凋亡以及明显的神经元丢失。在MWM试验中,预处理组大鼠的逃避潜伏期缩短(P = 0.042),表明ISO预处理可提高HI大鼠的学习能力。尼氏染色结果显示,HI组神经元排列不规则且核固缩;然而,ISO预处理后细胞损伤明显减轻,神经元总数增加(P < 0.001)。总之,ISO预处理改善了认知功能,减轻了HI诱导的尼氏阳性细胞减少和空间记忆损害,表明在HI建模前用ISO预处理可减少HI后海马神经元细胞死亡。

https://cdn.ncbi.nlm.nih.gov/pmc/blobs/f8b0/10528772/ad04c242b1f7/IBRA-8-500-g004.jpg
https://cdn.ncbi.nlm.nih.gov/pmc/blobs/f8b0/10528772/f4a9787996d2/IBRA-8-500-g008.jpg
https://cdn.ncbi.nlm.nih.gov/pmc/blobs/f8b0/10528772/707a45f68447/IBRA-8-500-g009.jpg
https://cdn.ncbi.nlm.nih.gov/pmc/blobs/f8b0/10528772/55308de68829/IBRA-8-500-g011.jpg
https://cdn.ncbi.nlm.nih.gov/pmc/blobs/f8b0/10528772/6f2441020696/IBRA-8-500-g005.jpg
https://cdn.ncbi.nlm.nih.gov/pmc/blobs/f8b0/10528772/8f52a51a6a1b/IBRA-8-500-g003.jpg
https://cdn.ncbi.nlm.nih.gov/pmc/blobs/f8b0/10528772/d6725779fe7d/IBRA-8-500-g006.jpg
https://cdn.ncbi.nlm.nih.gov/pmc/blobs/f8b0/10528772/b92c014f732d/IBRA-8-500-g007.jpg
https://cdn.ncbi.nlm.nih.gov/pmc/blobs/f8b0/10528772/e1e747eb93cf/IBRA-8-500-g001.jpg
https://cdn.ncbi.nlm.nih.gov/pmc/blobs/f8b0/10528772/8025621c9006/IBRA-8-500-g010.jpg
https://cdn.ncbi.nlm.nih.gov/pmc/blobs/f8b0/10528772/ad04c242b1f7/IBRA-8-500-g004.jpg
https://cdn.ncbi.nlm.nih.gov/pmc/blobs/f8b0/10528772/f4a9787996d2/IBRA-8-500-g008.jpg
https://cdn.ncbi.nlm.nih.gov/pmc/blobs/f8b0/10528772/707a45f68447/IBRA-8-500-g009.jpg
https://cdn.ncbi.nlm.nih.gov/pmc/blobs/f8b0/10528772/55308de68829/IBRA-8-500-g011.jpg
https://cdn.ncbi.nlm.nih.gov/pmc/blobs/f8b0/10528772/6f2441020696/IBRA-8-500-g005.jpg
https://cdn.ncbi.nlm.nih.gov/pmc/blobs/f8b0/10528772/8f52a51a6a1b/IBRA-8-500-g003.jpg
https://cdn.ncbi.nlm.nih.gov/pmc/blobs/f8b0/10528772/d6725779fe7d/IBRA-8-500-g006.jpg
https://cdn.ncbi.nlm.nih.gov/pmc/blobs/f8b0/10528772/b92c014f732d/IBRA-8-500-g007.jpg
https://cdn.ncbi.nlm.nih.gov/pmc/blobs/f8b0/10528772/e1e747eb93cf/IBRA-8-500-g001.jpg
https://cdn.ncbi.nlm.nih.gov/pmc/blobs/f8b0/10528772/8025621c9006/IBRA-8-500-g010.jpg
https://cdn.ncbi.nlm.nih.gov/pmc/blobs/f8b0/10528772/ad04c242b1f7/IBRA-8-500-g004.jpg

相似文献

1
Protective effect of isoflurane preconditioning on neurological function in rats with HIE.异氟醚预处理对新生大鼠缺氧缺血性脑病神经功能的保护作用
Ibrain. 2022 Dec 3;8(4):500-515. doi: 10.1002/ibra.12081. eCollection 2022 Winter.
2
Chlorogenic acid exerts neuroprotective effect against hypoxia-ischemia brain injury in neonatal rats by activating Sirt1 to regulate the Nrf2-NF-κB signaling pathway.绿原酸通过激活 Sirt1 调节 Nrf2-NF-κB 信号通路对新生大鼠缺氧缺血性脑损伤发挥神经保护作用。
Cell Commun Signal. 2022 Jun 10;20(1):84. doi: 10.1186/s12964-022-00860-0.
3
Isoflurane postconditioning induces concentration- and timing-dependent neuroprotection partly mediated by the GluR2 AMPA receptor in neonatal rats after brain hypoxia-ischemia.异氟醚后处理在新生大鼠脑缺氧缺血后诱导浓度和时间依赖性神经保护,部分由GluR2 AMPA受体介导。
J Anesth. 2016 Jun;30(3):427-36. doi: 10.1007/s00540-015-2132-7. Epub 2016 Jan 25.
4
Human Placenta-Derived Mesenchymal Stem Cells Improve Neurological Function in Rats with Intrauterine Hypoxic-Ischaemic Encephalopathy by Reducing Apoptosis and Inflammatory Reactions.人胎盘源间充质干细胞通过减少细胞凋亡和炎症反应改善宫内缺氧缺血性脑病大鼠的神经功能。
Front Biosci (Landmark Ed). 2024 Apr 3;29(4):139. doi: 10.31083/j.fbl2904139.
5
Transcranial direct current stimulation enhances the protective effect of isoflurane preconditioning on cerebral ischemia/reperfusion injury: A new mechanism associated with the nuclear protein Akirin2.经颅直流电刺激增强异氟醚预处理对脑缺血/再灌注损伤的保护作用:与核蛋白Akirin2 相关的新机制。
CNS Neurosci Ther. 2024 Sep;30(9):e70033. doi: 10.1111/cns.70033.
6
[Huperzine A attenuates cognitive deficits and brain injury after hypoxia-ischemic brain damage in neonatal rats].石杉碱甲减轻新生大鼠缺氧缺血性脑损伤后的认知缺陷和脑损伤
Zhonghua Er Ke Za Zhi. 2003 Jan;41(1):42-5.
7
Isoflurane postconditioning improved long-term neurological outcome possibly via inhibiting the mitochondrial permeability transition pore in neonatal rats after brain hypoxia-ischemia.异氟烷后处理可能通过抑制新生大鼠脑缺氧缺血后的线粒体通透性转换孔来改善长期神经功能预后。
Neuroscience. 2014 Nov 7;280:193-203. doi: 10.1016/j.neuroscience.2014.09.006. Epub 2014 Sep 18.
8
G-CSF attenuates neuroinflammation and neuronal apoptosis via the mTOR/p70SK6 signaling pathway in neonatal Hypoxia-Ischemia rat model.G-CSF 通过 mTOR/p70SK6 信号通路减轻新生缺氧缺血大鼠模型的神经炎症和神经元凋亡。
Brain Res. 2020 Jul 15;1739:146817. doi: 10.1016/j.brainres.2020.146817. Epub 2020 Apr 1.
9
Methylene Blue Pretreatment Protects Against Repeated Neonatal Isoflurane Exposure-Induced Brain Injury and Memory Loss.亚甲蓝预处理可预防新生大鼠反复暴露于异氟烷所致的脑损伤和记忆丧失。
Mol Neurobiol. 2024 Aug;61(8):5787-5801. doi: 10.1007/s12035-024-03931-0. Epub 2024 Jan 17.
10
Hyperbaric oxygenation promotes neural stem cell proliferation and protects the learning and memory ability in neonatal hypoxic-ischemic brain damage.高压氧疗可促进神经干细胞增殖,并保护新生儿缺氧缺血性脑损伤中的学习和记忆能力。
Int J Clin Exp Pathol. 2015 Feb 1;8(2):1752-9. eCollection 2015.

引用本文的文献

1
Compound 21 Attenuates Isoflurane-Induced Injury in Neonatal Rat Hippocampal Neurons and Primary Rat Neuronal Cells by Upregulating METTL3.化合物21通过上调METTL3减轻异氟烷诱导的新生大鼠海马神经元和原代大鼠神经细胞损伤。
J Inflamm Res. 2024 Nov 30;17:10079-10091. doi: 10.2147/JIR.S483211. eCollection 2024.
2
Anesthetics in pathological cerebrovascular conditions.病理性脑血管疾病中的麻醉剂
J Cereb Blood Flow Metab. 2025 Jan;45(1):32-47. doi: 10.1177/0271678X241295857. Epub 2024 Oct 25.

本文引用的文献

1
Targeting Persistent Neuroinflammation after Hypoxic-Ischemic Encephalopathy-Is Exendin-4 the Answer?靶向缺氧缺血性脑病后的持续性神经炎症——外泌体 4 是答案吗?
Int J Mol Sci. 2022 Sep 5;23(17):10191. doi: 10.3390/ijms231710191.
2
Trial of Erythropoietin for Hypoxic-Ischemic Encephalopathy in Newborns.新生儿缺氧缺血性脑病促红细胞生成素治疗试验。
N Engl J Med. 2022 Jul 14;387(2):148-159. doi: 10.1056/NEJMoa2119660.
3
Mild hypoxic-ischemic encephalopathy (HIE): timing and pattern of MRI brain injury.轻度缺氧缺血性脑病(HIE):MRI 脑损伤的时间和模式。
Pediatr Res. 2022 Dec;92(6):1731-1736. doi: 10.1038/s41390-022-02026-7. Epub 2022 Mar 30.
4
Morris water maze: a versatile and pertinent tool for assessing spatial learning and memory.Morris 水迷宫:一种用于评估空间学习和记忆的多功能且相关的工具。
Exp Anim. 2022 Aug 5;71(3):264-280. doi: 10.1538/expanim.21-0120. Epub 2022 Mar 18.
5
Changes in breathing pattern during severe hypothermia and autoresuscitation from hypothermic respiratory arrest in anesthetized mice.在麻醉小鼠中严重低体温和低温呼吸暂停自主复律期间呼吸模式的变化。
Physiol Rep. 2021 Dec;9(23):e15139. doi: 10.14814/phy2.15139.
6
Object recognition and Morris water maze to detect cognitive impairment from mild hippocampal damage in rats: A reflection based on the literature and experience.通过物体识别和莫里斯水迷宫检测大鼠轻度海马损伤所致的认知障碍:基于文献与经验的思考
Pharmacol Biochem Behav. 2021 Nov;210:173273. doi: 10.1016/j.pbb.2021.173273. Epub 2021 Sep 16.
7
Drug delivery platforms for neonatal brain injury.用于新生儿脑损伤的药物递送平台。
J Control Release. 2021 Feb 10;330:765-787. doi: 10.1016/j.jconrel.2020.12.056. Epub 2021 Jan 6.
8
Subanesthetic isoflurane abates ROS-activated MAPK/NF-κB signaling to repress ischemia-induced microglia inflammation and brain injury.亚麻醉浓度异氟醚通过抑制 ROS 激活的 MAPK/NF-κB 信号通路抑制缺血诱导的小胶质细胞炎症和脑损伤。
Aging (Albany NY). 2020 Dec 28;12(24):26121-26139. doi: 10.18632/aging.202349.
9
Neuroprotective mechanisms of DNA methyltransferase in a mouse hippocampal neuronal cell line after hypoxic preconditioning.缺氧预处理后DNA甲基转移酶在小鼠海马神经元细胞系中的神经保护机制
Neural Regen Res. 2020 Dec;15(12):2362-2368. doi: 10.4103/1673-5374.285003.
10
MicroRNAs in the Blood-Brain Barrier in Hypoxic-Ischemic Brain Injury.血液-脑屏障中的微小 RNA 在缺氧缺血性脑损伤中的作用。
Curr Neuropharmacol. 2020;18(12):1180-1186. doi: 10.2174/1570159X18666200429004242.