Suppr超能文献

甲状腺原发性包虫囊肿:两例病例报告并文献复习。

Primary hydatid cyst of the thyroid glands: two case reports and a review of the literature.

机构信息

Department of General Surgery, Shiraz University of Medical Sciences, Shiraz, Iran.

Student Research Committee, Shiraz University of Medical Sciences, Shiraz, Iran.

出版信息

J Med Case Rep. 2023 Oct 4;17(1):417. doi: 10.1186/s13256-023-04141-3.

Abstract

INTRODUCTION

Although hydatid cyst remains one of the prevalent parasitic infections in humans, hydatid cyst of the thyroid is extremely rare, even in endemic areas. Here we present two cases of thyroid hydatid cysts.

CASE PRESENTATION

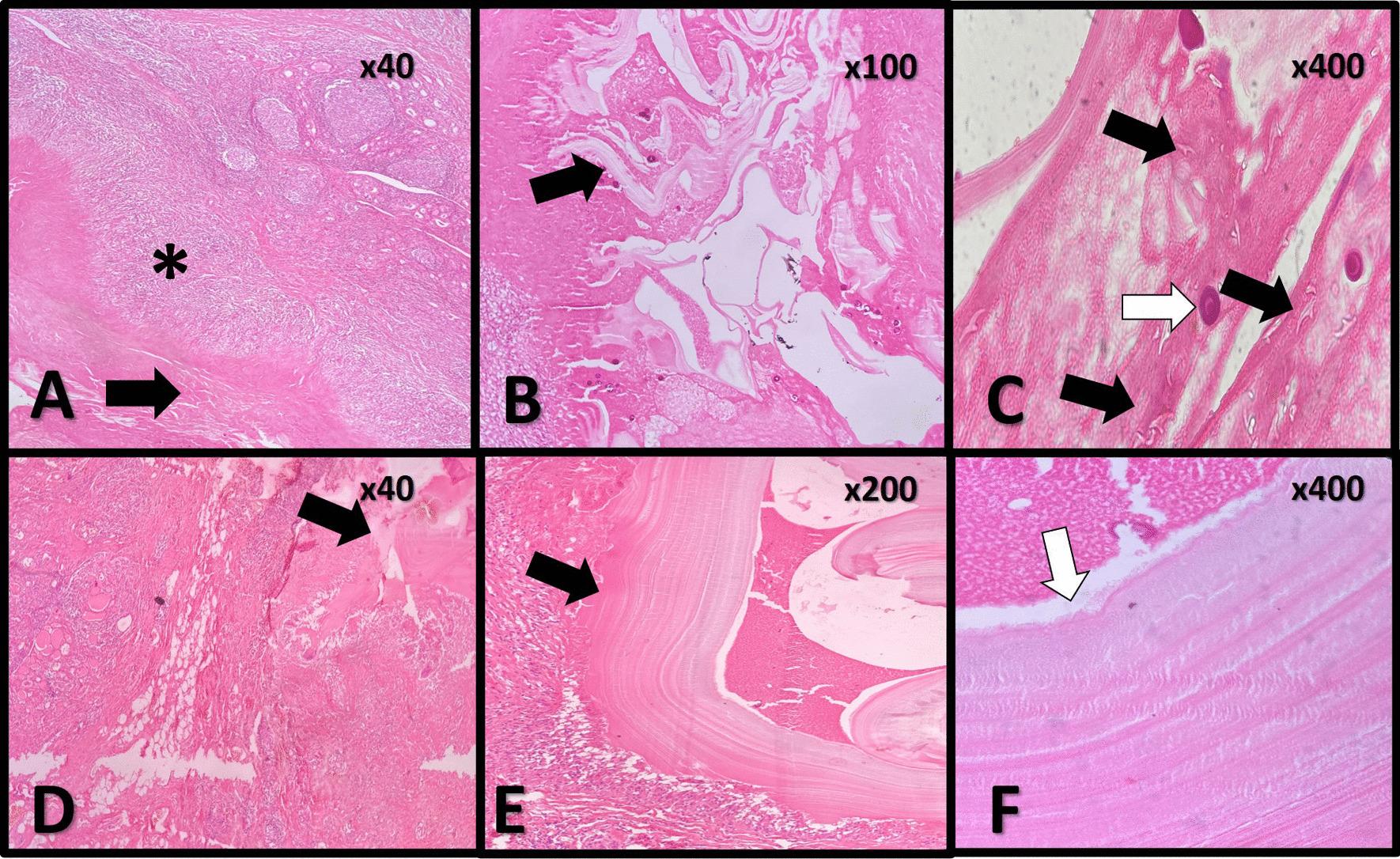
A 35 and a 50 year-old Iranian female with a positive history of animal contact were presented with a neck lump without any compressive symptoms. A physical exam revealed neck masses that elevated with swallowing. Thyroid gland ultrasonography showed cystic thyroid lesions, and fine needle aspiration (FNA) suggested a thyroid hydatic cyst. Thyroid lobectomy and isthmectomy were done for the first patient, and near-total thyroidectomy was done for the other. The pathology report confirmed the diagnosis of a hydatid cyst. None of the patients had hydatid cysts in other sites. Patients were discharged without an antiparasitic drug, and no recurrence was detected at the six-month follow-up.

CONCLUSION

It is necessary to consider hydatid cysts in the differential diagnosis of cystic lesions of the thyroid gland in endemic areas, especially in people with a positive history of animal contact.

摘要

介绍

尽管包虫囊肿仍然是人类中流行的寄生虫感染之一,但甲状腺包虫囊肿极为罕见,即使在流行地区也是如此。在这里,我们介绍两例甲状腺包虫囊肿。

病例介绍

一名 35 岁和一名 50 岁的伊朗女性均有动物接触史,表现为无压迫症状的颈部肿块。体格检查显示颈部肿块随吞咽而升高。甲状腺超声显示囊性甲状腺病变,细针抽吸(FNA)提示甲状腺包虫囊肿。对第一个患者进行了甲状腺叶切除术和峡部切除术,对另一个患者进行了近全甲状腺切除术。病理报告证实了包虫囊肿的诊断。患者在其他部位均无包虫囊肿。患者未使用抗寄生虫药物出院,在六个月的随访中未发现复发。

结论

在流行地区,尤其是有动物接触史的患者中,对于甲状腺囊肿性病变,需要考虑包虫囊肿作为鉴别诊断。

https://cdn.ncbi.nlm.nih.gov/pmc/blobs/0af3/10548661/13253e1c783a/13256_2023_4141_Fig1_HTML.jpg

文献AI研究员

20分钟写一篇综述,助力文献阅读效率提升50倍。

立即体验

用中文搜PubMed

大模型驱动的PubMed中文搜索引擎

马上搜索

文档翻译

学术文献翻译模型,支持多种主流文档格式。

立即体验