• 文献检索
  • 文档翻译
  • 深度研究
  • 学术资讯
  • Suppr Zotero 插件Zotero 插件
  • 邀请有礼
  • 套餐&价格
  • 历史记录
应用&插件
Suppr Zotero 插件Zotero 插件浏览器插件Mac 客户端Windows 客户端微信小程序
定价
高级版会员购买积分包购买API积分包
服务
文献检索文档翻译深度研究API 文档MCP 服务
关于我们
关于 Suppr公司介绍联系我们用户协议隐私条款
关注我们

Suppr 超能文献

核心技术专利:CN118964589B侵权必究
粤ICP备2023148730 号-1Suppr @ 2026

文献检索

告别复杂PubMed语法,用中文像聊天一样搜索,搜遍4000万医学文献。AI智能推荐,让科研检索更轻松。

立即免费搜索

文件翻译

保留排版,准确专业,支持PDF/Word/PPT等文件格式,支持 12+语言互译。

免费翻译文档

深度研究

AI帮你快速写综述,25分钟生成高质量综述,智能提取关键信息,辅助科研写作。

立即免费体验

甲状腺包虫囊肿:一例报告

Hydatid Cyst of Thyroid Gland: A Case Report.

作者信息

Ghimire Prashant, Magar Sagar Rana, Panthi Bishal, Maharjan Prem Bahadur, Khan Intjar, Thapa Neeraj, Paudel Sujan, Karn Siddhartha, Luitel Prajjwol

机构信息

Universal College of Medical Sciences Bhairahawa Nepal.

Tribhuvan University Institute of Medicine Kathmandu Nepal.

出版信息

Clin Case Rep. 2025 Apr 9;13(4):e70337. doi: 10.1002/ccr3.70337. eCollection 2025 Apr.

DOI:10.1002/ccr3.70337
PMID:40206571
原文链接:https://pmc.ncbi.nlm.nih.gov/articles/PMC11979710/
Abstract

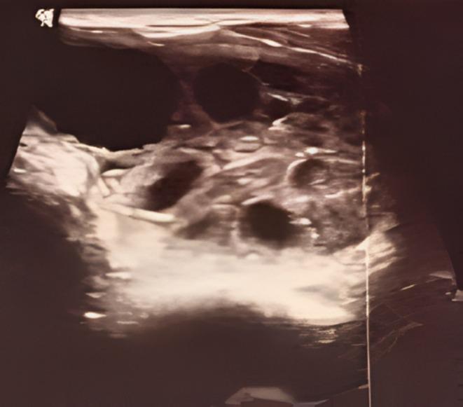
Hydatid cysts in the thyroid gland are extremely rare, even in endemic areas. A 64-year-old male presented with a painless swelling on the left side of the thyroid swelling for 2 years. Ultrasonography revealed a large multiloculated anechoic lesion while fine needle aspiration cytology yielded clear watery to granular fluid containing hooklets, protoscolioces, laminated membrane, identifiable on both Giemsa stained and unstained slides. Further tests confirmed positive serology for , and computed tomography (CT) scan showed no such cysts in other organs. The patient was treated successfully with a lobectomy without signs of recurrence in 1 year. Although primary hydatid cysts of the thyroid are rare, even in endemic areas, they should be considered as a differential diagnosis when evaluating thyroid nodules in these regions. Fine needle aspiration cytology (FNAC) can confirm the diagnosis. However, clinicians must take care to avoid anaphylactic reactions. The use of FNAC in hydatid disease is debatable as it may cause anaphylactic reaction, but in cases with doubtful diagnosis, it can serve as a confirmatory tool. The condition can be managed successfully with lobectomy.

摘要

甲状腺包虫囊肿极为罕见,即使在流行地区也是如此。一名64岁男性因甲状腺左侧无痛性肿胀就诊,病程2年。超声检查显示一个大的多房性无回声病变,细针穿刺细胞学检查抽出清亮水样至颗粒状液体,其中含有小钩、原头节、板层膜,在吉姆萨染色和未染色的玻片上均可识别。进一步检查证实血清学阳性,计算机断层扫描(CT)显示其他器官无此类囊肿。患者接受叶切除术治疗成功,1年内无复发迹象。尽管甲状腺原发性包虫囊肿罕见,即使在流行地区也是如此,但在评估这些地区的甲状腺结节时,应将其视为鉴别诊断之一。细针穿刺细胞学检查(FNAC)可确诊。然而,临床医生必须注意避免过敏反应。FNAC在包虫病中的应用存在争议,因为它可能引起过敏反应,但在诊断存疑的病例中,它可作为一种确诊工具。该疾病通过叶切除术可成功治疗。

https://cdn.ncbi.nlm.nih.gov/pmc/blobs/5f14/11979710/c596d5096a66/CCR3-13-e70337-g001.jpg
https://cdn.ncbi.nlm.nih.gov/pmc/blobs/5f14/11979710/d7ebcd37afe3/CCR3-13-e70337-g002.jpg
https://cdn.ncbi.nlm.nih.gov/pmc/blobs/5f14/11979710/c44e4a93d721/CCR3-13-e70337-g003.jpg
https://cdn.ncbi.nlm.nih.gov/pmc/blobs/5f14/11979710/c596d5096a66/CCR3-13-e70337-g001.jpg
https://cdn.ncbi.nlm.nih.gov/pmc/blobs/5f14/11979710/d7ebcd37afe3/CCR3-13-e70337-g002.jpg
https://cdn.ncbi.nlm.nih.gov/pmc/blobs/5f14/11979710/c44e4a93d721/CCR3-13-e70337-g003.jpg
https://cdn.ncbi.nlm.nih.gov/pmc/blobs/5f14/11979710/c596d5096a66/CCR3-13-e70337-g001.jpg

相似文献

1
Hydatid Cyst of Thyroid Gland: A Case Report.甲状腺包虫囊肿:一例报告
Clin Case Rep. 2025 Apr 9;13(4):e70337. doi: 10.1002/ccr3.70337. eCollection 2025 Apr.
2
Primary hydatid cyst of the thyroid glands: two case reports and a review of the literature.甲状腺原发性包虫囊肿:两例病例报告并文献复习。
J Med Case Rep. 2023 Oct 4;17(1):417. doi: 10.1186/s13256-023-04141-3.
3
Hydatid cyst in the parotid gland, a rare localization of the disease: A case report.腮腺包虫囊肿,一种罕见的疾病定位:病例报告
Int J Surg Case Rep. 2023 Jun;107:108355. doi: 10.1016/j.ijscr.2023.108355. Epub 2023 May 29.
4
Primary multilocular hydatid cyst of neck with unique presentation: a rare case report and literature review.颈部原发性多房性包虫囊肿伴独特表现:1例罕见病例报告及文献复习
Head Neck Pathol. 2014;8(3):334-8. doi: 10.1007/s12105-013-0502-8. Epub 2013 Oct 29.
5
Diagnosis of Primary Hydatid Cyst of Thyroid Gland: A Case Report.甲状腺原发性包虫囊肿的诊断:一例报告
Biomol Concepts. 2019 Jun 3;10(1):106-110. doi: 10.1515/bmc-2019-0013.
6
Hydatid cyst of thyroid gland, a rare case report with a literature review.甲状腺包虫囊肿:一例罕见病例报告并文献复习
Int J Surg Case Rep. 2020;67:267-270. doi: 10.1016/j.ijscr.2020.02.019. Epub 2020 Feb 11.
7
Hydatid cyst of parotid: Report of unusual cytological findings extending the cytomorphological spectrum.腮腺包虫囊肿:关于扩展细胞形态学谱的异常细胞学发现的报告。
Diagn Cytopathol. 2016 Sep;44(9):770-3. doi: 10.1002/dc.23515. Epub 2016 Jun 21.
8
Diagnosis of a pulmonary hydatid cyst by fine needle aspiration: a case report with literature review.细针穿刺诊断肺包虫囊肿:一例病例报告并文献复习
Ann Med Surg (Lond). 2023 Nov 17;86(1):552-555. doi: 10.1097/MS9.0000000000001526. eCollection 2024 Jan.
9
Pre-Operative Diagnosis Of Hydatid Cyst In The Breast: A Case Report Of A Rare Entity And Review Of Literature.术前诊断乳腺包虫囊肿:一种罕见实体的病例报告及文献复习。
J Pak Med Assoc. 2023 Jul;73(7):1530-1532. doi: 10.47391/JPMA.7085.
10
Hydatid cyst in soft tissues mimicking malignant tumors. Diagnosis by fine needle aspiration cytology.软组织中的棘球蚴囊肿酷似恶性肿瘤。通过细针穿刺细胞学检查进行诊断。
Acta Cytol. 2003 May-Jun;47(3):337-40. doi: 10.1159/000326530.

本文引用的文献

1
Primary hydatid cyst of the thyroid glands: two case reports and a review of the literature.甲状腺原发性包虫囊肿:两例病例报告并文献复习。
J Med Case Rep. 2023 Oct 4;17(1):417. doi: 10.1186/s13256-023-04141-3.
2
An institutional experience of hydatidosis and cysticercosis in Nepal: a retrospective chart review.尼泊尔包虫病和囊尾蚴病的机构经验:一项回顾性病历审查。
Ann Med Surg (Lond). 2023 May 17;85(6):2598-2602. doi: 10.1097/MS9.0000000000000840. eCollection 2023 Jun.
3
Thyroglossal Duct Cyst, a Case Report and Literature Review.
甲状舌管囊肿:一例报告及文献综述
Diseases. 2022 Jan 25;10(1):7. doi: 10.3390/diseases10010007.
4
Hydatid cyst in the neck, an unusual localization of the disease: A case report.颈部包虫囊肿,一种罕见的疾病定位:病例报告
Int J Surg Case Rep. 2021 Aug;85:106274. doi: 10.1016/j.ijscr.2021.106274. Epub 2021 Aug 4.
5
Giant isolated hydatid lung cyst: two case reports.巨大孤立性肺包虫囊肿:两例病例报告。
J Med Case Rep. 2020 Oct 24;14(1):200. doi: 10.1186/s13256-020-02524-4.
6
Diagnosis of Primary Hydatid Cyst of Thyroid Gland: A Case Report.甲状腺原发性包虫囊肿的诊断:一例报告
Biomol Concepts. 2019 Jun 3;10(1):106-110. doi: 10.1515/bmc-2019-0013.
7
A Rare Case of Isolated Cystic Hydatid of Thyroid Gland.甲状腺孤立性囊状包虫病一例罕见病例。
Medicine (Baltimore). 2016 Mar;95(10):e2929. doi: 10.1097/MD.0000000000002929.
8
Hydatid cyst disease of the thyroid gland: report of two cases.甲状腺包虫囊肿病:两例报告。
Int Surg. 2015 Apr;100(4):643-7. doi: 10.9738/INTSURG-D-14-00124.1. Epub 2015 Jan 18.
9
The burden of parasitic zoonoses in Nepal: a systematic review.尼泊尔人兽共患寄生虫病的负担:一项系统评价
PLoS Negl Trop Dis. 2014 Jan 2;8(1):e2634. doi: 10.1371/journal.pntd.0002634. eCollection 2014.
10
The CARE guidelines: consensus-based clinical case report guideline development.《CARE指南:基于共识的临床病例报告指南制定》
J Diet Suppl. 2013 Dec;10(4):381-90. doi: 10.3109/19390211.2013.830679.