Suppr超能文献

老年心力衰竭患者中阿哌沙班诱发硬膜下血肿的罕见病例。

A Rare Case of Apixaban-Induced Subdural Hematoma in Elderly Heart Failure Patient.

作者信息

Abdirahman Ahmed Said, Hassan Mohamed Omar, Abdi Ishak Ahmed, Mohamud Mohamed Abdullahi, Waberi Mohamud Mire, Elmi Abdi Ahmed, Hassan Fujeyra Abdullahi Mohamed, Ali Abdijalil Abdullahi, Sheikh Hassan Mohamed

机构信息

Department of Cardiology at Mogadishu Somali-Turkish Training and Research Hospital, Mogadishu, Somalia.

Dean College of Medicine and Health Science at Abrar University, Mogadishu, Somalia.

出版信息

Int Med Case Rep J. 2023 Sep 28;16:623-626. doi: 10.2147/IMCRJ.S432794. eCollection 2023.

Abstract

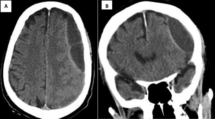
New oral anticoagulants (NOACs) have become more popular in the last few decades. Although apixaban has been proven to be safer than warfarin and causes less hemorrhage in comparison to other NOACs, it still poses a risk of spontaneous bleeding. We present here an 81-year-old male known case of heart failure with reduced ejection fraction (HFrEF) associated with an apical thrombus of 0.93×1.29 cm who presents with cognitive decline, slurred speech, and right side weakness following apixaban use for his apical thrombus. On further evaluation of non-contrast brain (), there was a large extra-axial subacute subdural hematoma with thick septations in the left parietal region, measuring 2.6 cm in thickness, causing an a mass effect, and an a midline shift of 1 mm. Following neurosurgery, cardiology, and anesthesiology discussions, the surgery was deferred due to his age and coexisting conditions with regular follow-ups. The patient has now gained full consciousness and is currently undergoing physiotherapy. This case highlights an elderly patient with apixaban-induced subdural hemorrhage, which is a rare entity in the medical literature. Although apixaban is safer than other NOACs, it may cause subdural hemorrhage.

摘要

在过去几十年中,新型口服抗凝剂(NOACs)越来越受欢迎。尽管已证实阿哌沙班比华法林更安全,与其他NOACs相比出血更少,但它仍有自发性出血的风险。我们在此介绍一名81岁男性,已知患有射血分数降低的心力衰竭(HFrEF),伴有0.93×1.29 cm的心尖血栓,在使用阿哌沙班治疗心尖血栓后出现认知衰退、言语不清和右侧肢体无力。在进一步评估非增强脑部()时,左顶叶区域有一个巨大的轴外亚急性硬膜下血肿,有厚分隔,厚度为2.6 cm,产生占位效应,中线移位1 mm。经过神经外科、心脏病学和麻醉学讨论后,由于患者年龄和并存疾病,手术延期,并定期进行随访。患者现已完全清醒,目前正在接受物理治疗。该病例突出了一名老年患者发生阿哌沙班诱导的硬膜下出血,这在医学文献中是一种罕见的情况。尽管阿哌沙班比其他NOACs更安全,但它可能导致硬膜下出血。

https://cdn.ncbi.nlm.nih.gov/pmc/blobs/0274/10544251/a9b27b6b529f/IMCRJ-16-623-g0001.jpg

文献AI研究员

20分钟写一篇综述,助力文献阅读效率提升50倍。

立即体验

用中文搜PubMed

大模型驱动的PubMed中文搜索引擎

马上搜索

文档翻译

学术文献翻译模型,支持多种主流文档格式。

立即体验