Suppr超能文献

右三房心合并发育异常的三尖瓣

Cor Triatriatum Dexter Associated With a Dysplastic Tricuspid Valve.

作者信息

Binder M Scott, Binder Isabel E, Habib Asma S, Herold Steven E, Gay William M, Lystash John C

机构信息

Department of Cardiology, Virginia Tech Carilion Roanoke Memorial Hospital, Roanoke, Virginia.

Division of Echocardiography, Virginia Tech Carilion Roanoke Memorial Hospital, Roanoke, Virginia.

出版信息

CASE (Phila). 2023 Jun 24;7(9):360-364. doi: 10.1016/j.case.2023.05.004. eCollection 2023 Sep.

Abstract

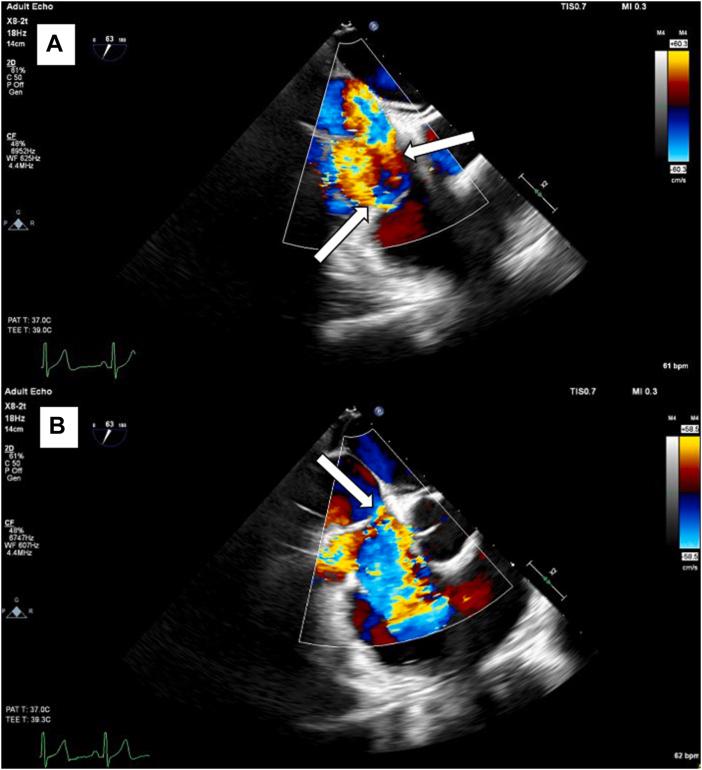
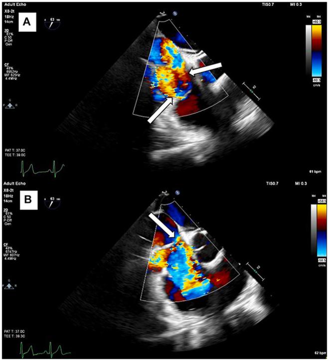
• Cor triatriatum dexter results from persistence of the right valve of the sinus venosus. • A 3D evaluation can help differentiate CTD from other congenital abnormalities. • Treatment options for CTD include surgery, first line, or percutaneous resection.

摘要

• 右三房心由静脉窦右瓣持续存在引起。

• 三维评估有助于将右三房心与其他先天性异常区分开来。

• 右三房心的治疗选择包括手术(一线治疗)或经皮切除术。

https://cdn.ncbi.nlm.nih.gov/pmc/blobs/37ed/10543178/781c65057eb9/ga1.jpg

文献检索

告别复杂PubMed语法,用中文像聊天一样搜索,搜遍4000万医学文献。AI智能推荐,让科研检索更轻松。

立即免费搜索

文件翻译

保留排版,准确专业,支持PDF/Word/PPT等文件格式,支持 12+语言互译。

免费翻译文档

深度研究

AI帮你快速写综述,25分钟生成高质量综述,智能提取关键信息,辅助科研写作。

立即免费体验