• 文献检索
  • 文档翻译
  • 深度研究
  • 学术资讯
  • Suppr Zotero 插件Zotero 插件
  • 邀请有礼
  • 套餐&价格
  • 历史记录
应用&插件
Suppr Zotero 插件Zotero 插件浏览器插件Mac 客户端Windows 客户端微信小程序
定价
高级版会员购买积分包购买API积分包
服务
文献检索文档翻译深度研究API 文档MCP 服务
关于我们
关于 Suppr公司介绍联系我们用户协议隐私条款
关注我们

Suppr 超能文献

核心技术专利:CN118964589B侵权必究
粤ICP备2023148730 号-1Suppr @ 2026

文献检索

告别复杂PubMed语法,用中文像聊天一样搜索,搜遍4000万医学文献。AI智能推荐,让科研检索更轻松。

立即免费搜索

文件翻译

保留排版,准确专业,支持PDF/Word/PPT等文件格式,支持 12+语言互译。

免费翻译文档

深度研究

AI帮你快速写综述,25分钟生成高质量综述,智能提取关键信息,辅助科研写作。

立即免费体验

RSPH6A在大鼠精子发生第一波及氧化应激条件下的表达:褪黑素的减弱作用

Expression of RSPH6A in the first wave of rat spermatogenesis and oxidative stress conditions: Attenuation by melatonin.

作者信息

Romano Maria Zelinda, Ben Rhouma Mariem, Messaoudi Imed, Aniello Francesco, Minucci Sergio, Venditti Massimo

机构信息

Dipartimento di Medicina Sperimentale, Sez. Fisiologia Umana e Funzioni Biologiche Integrate "F. Bottazzi" Università degli Studi della Campania "Luigi Vanvitelli" Napoli Italy.

Laboratoire LR11ES41 Génétique Biodiversité et Valorisation des Bio-Ressourcés Institut Supérieur de Biotechnologie de Monastir, Université de Monastir Monastir Tunisia.

出版信息

Reprod Med Biol. 2023 Oct 2;22(1):e12542. doi: 10.1002/rmb2.12542. eCollection 2023 Jan-Dec.

DOI:10.1002/rmb2.12542
PMID:37795044
原文链接:https://pmc.ncbi.nlm.nih.gov/articles/PMC10545975/
Abstract

PURPOSE

Here, we report, for the first time, the temporal expression and localization of axonemal radial spoke head homolog A (RSPH6A) protein during the first wave of rat spermatogenesis and in oxidative stress conditions.

METHODS

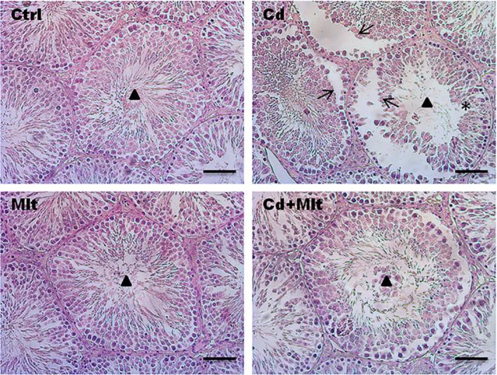
For the developmental study, testes were collected from rats at different developmental stages (7, 14, 21, 28, 35, 42, and 60 postnatal days); for , 24 rats were treated with cadmium and/or melatonin. From each sample, western blot (WB) and immunofluorescence (IF) analyses for RSPH6A were performed.

RESULTS

RSPH6A expression starts at 21 PND alongside the appearance of I spermatocytes (SPC) with a significant increase up to 60 PND. Data were confirmed by IF analysis, showing that RPSH6A expression is restricted to I and II SPC, spermatids, and mature sperm. experiments showed that the expression and localization of RSPH6A in the testis and epididymal spermatozoa of adult rats treated with cadmium were impaired. Interestingly, melatonin (an antioxidant), given together with Cd, can counteract its damaging effects.

CONCLUSIONS

All combined data confirm that RSPH6A contributes to the onset of fertility by acting on sperm motility, raising the possibility of using RSPH6A as a marker for normal fertility in the general population.

摘要

目的

在此,我们首次报告轴丝辐条头同源物A(RSPH6A)蛋白在大鼠精子发生第一波期间以及氧化应激条件下的表达时间和定位。

方法

在发育研究中,从处于不同发育阶段(出生后7、14、21、28、35、42和60天)的大鼠收集睾丸;对于 ,24只大鼠用镉和/或褪黑素进行处理。对每个样本进行针对RSPH6A的蛋白质印迹(WB)和免疫荧光(IF)分析。

结果

RSPH6A表达在出生后21天随着I型精母细胞(SPC)的出现而开始,直至出生后60天显著增加。IF分析证实了该数据,显示RPSH6A表达局限于I型和II型SPC、精子细胞和成熟精子。 实验表明,镉处理的成年大鼠睾丸和附睾精子中RSPH6A的表达和定位受损。有趣的是,与镉一起给予的褪黑素(一种抗氧化剂)可以抵消其破坏作用。

结论

所有综合数据证实,RSPH6A通过作用于精子活力对生育能力的开始有贡献,增加了将RSPH6A用作普通人群正常生育能力标志物的可能性。

https://cdn.ncbi.nlm.nih.gov/pmc/blobs/0ad8/10545975/14770d7662c1/RMB2-22-e12542-g001.jpg
https://cdn.ncbi.nlm.nih.gov/pmc/blobs/0ad8/10545975/7b8e203b53f8/RMB2-22-e12542-g004.jpg
https://cdn.ncbi.nlm.nih.gov/pmc/blobs/0ad8/10545975/68313c5007cd/RMB2-22-e12542-g002.jpg
https://cdn.ncbi.nlm.nih.gov/pmc/blobs/0ad8/10545975/c9dacb02fbd3/RMB2-22-e12542-g003.jpg
https://cdn.ncbi.nlm.nih.gov/pmc/blobs/0ad8/10545975/14770d7662c1/RMB2-22-e12542-g001.jpg
https://cdn.ncbi.nlm.nih.gov/pmc/blobs/0ad8/10545975/7b8e203b53f8/RMB2-22-e12542-g004.jpg
https://cdn.ncbi.nlm.nih.gov/pmc/blobs/0ad8/10545975/68313c5007cd/RMB2-22-e12542-g002.jpg
https://cdn.ncbi.nlm.nih.gov/pmc/blobs/0ad8/10545975/c9dacb02fbd3/RMB2-22-e12542-g003.jpg
https://cdn.ncbi.nlm.nih.gov/pmc/blobs/0ad8/10545975/14770d7662c1/RMB2-22-e12542-g001.jpg

相似文献

1
Expression of RSPH6A in the first wave of rat spermatogenesis and oxidative stress conditions: Attenuation by melatonin.RSPH6A在大鼠精子发生第一波及氧化应激条件下的表达:褪黑素的减弱作用
Reprod Med Biol. 2023 Oct 2;22(1):e12542. doi: 10.1002/rmb2.12542. eCollection 2023 Jan-Dec.
2
RSPH6A is required for sperm flagellum formation and male fertility in mice.RSPH6A 对于精子鞭毛的形成和雄性小鼠的生育能力是必需的。
J Cell Sci. 2018 Oct 11;131(19):jcs221648. doi: 10.1242/jcs.221648.
3
Sperm capacitation is associated with phosphorylation of the testis-specific radial spoke protein Rsph6a†.精子获能与睾丸特异性辐射状 spoke 蛋白 Rsph6a 的磷酸化有关†。
Biol Reprod. 2019 Feb 1;100(2):440-454. doi: 10.1093/biolre/ioy202.
4
New Insight on the In Vitro Effects of Melatonin in Preserving Human Sperm Quality.褪黑素对人精子质量体外保护作用的新见解。
Int J Mol Sci. 2022 May 4;23(9):5128. doi: 10.3390/ijms23095128.
5
The effect of melatonin on testis histological changes and spermatogenesis indexes in mice following treatment with dexamethasone.褪黑素对地塞米松处理后小鼠睾丸组织学变化及精子发生指标的影响。
Drug Chem Toxicol. 2022 May;45(3):1140-1149. doi: 10.1080/01480545.2020.1809672. Epub 2020 Nov 8.
6
Altered Expression of DAAM1 and PREP Induced by Cadmium Toxicity Is Counteracted by Melatonin in the Rat Testis.镉毒性诱导的 DAAM1 和 PREP 表达改变被褪黑素在大鼠睾丸中拮抗。
Genes (Basel). 2021 Jun 30;12(7):1016. doi: 10.3390/genes12071016.
7
Differential Expression and Localization of EHBP1L1 during the First Wave of Rat Spermatogenesis Suggest Its Involvement in Acrosome Biogenesis.EHBP1L1在大鼠精子发生第一波期间的差异表达与定位表明其参与顶体生物发生。
Biomedicines. 2022 Jan 16;10(1):181. doi: 10.3390/biomedicines10010181.
8
Testis-expressed protein 33 is not essential for spermiogenesis and fertility in mice.睾丸表达蛋白 33 对于精子发生和小鼠的生育能力并非必需。
Mol Med Rep. 2021 May;23(5). doi: 10.3892/mmr.2021.11956. Epub 2021 Mar 24.
9
Appearance of hyaluronan binding protein 1 proprotein in pachytene spermatocytes and round spermatids correlates with spermatogenesis.透明质酸结合蛋白1前体蛋白在粗线期精母细胞和圆形精子细胞中的出现与精子发生相关。
J Androl. 2006 Jul-Aug;27(4):604-10. doi: 10.2164/jandrol.05142. Epub 2006 Apr 1.
10
Melatonin improves the ability of spermatozoa to bind with oocytes in the mouse.褪黑素可提高小鼠精子与卵母细胞结合的能力。
Reprod Fertil Dev. 2023 Apr;35(7):445-457. doi: 10.1071/RD23006.

引用本文的文献

1
The Complicity of DAAM1, PTMA, RSPH6A, and Steroidogenic Genes in the Fertility of Male Rats Exposed to Cadmium During Gestation and Lactation: Attenuation by PREOG.妊娠和哺乳期暴露于镉的雄性大鼠生育力中DAAM1、PTMA、RSPH6A和类固醇生成基因的协同作用:PREOG的减弱作用
Reprod Sci. 2025 Jul 8. doi: 10.1007/s43032-025-01902-x.
2
Impact of Type 1 Diabetes on Testicular Microtubule Dynamics, Sperm Physiology, and Male Reproductive Health in Rat.1型糖尿病对大鼠睾丸微管动力学、精子生理学及雄性生殖健康的影响
Int J Mol Sci. 2025 May 10;26(10):4579. doi: 10.3390/ijms26104579.
3
Type 1 diabetes impairs the activity of rat testicular somatic and germ cells through NRF2/NLRP3 pathway-mediated oxidative stress.

本文引用的文献

1
Evidence of the protective role of D-Aspartate in counteracting/preventing cadmium-induced oxidative stress in the rat testis.D-天冬氨酸在抵抗/预防镉诱导的大鼠睾丸氧化应激中的保护作用的证据。
Ecotoxicol Environ Saf. 2023 Jul 1;259:115067. doi: 10.1016/j.ecoenv.2023.115067. Epub 2023 May 25.
2
Oxidative stress-induced apoptosis and autophagy: Balancing the contrary forces in spermatogenesis.氧化应激诱导的凋亡和自噬:在精子发生中平衡相反的力量。
Biochim Biophys Acta Mol Basis Dis. 2023 Aug;1869(6):166742. doi: 10.1016/j.bbadis.2023.166742. Epub 2023 May 3.
3
The simultaneous administration of microplastics and cadmium alters rat testicular activity and changes the expression of PTMA, DAAM1 and PREP.
1 型糖尿病通过 NRF2/NLRP3 通路介导的氧化应激损害大鼠睾丸体细胞和生殖细胞的活性。
Front Endocrinol (Lausanne). 2024 May 16;15:1399256. doi: 10.3389/fendo.2024.1399256. eCollection 2024.
4
Expression of Insl3 Protein in Adult .成年 中 Insl3 蛋白的表达。
Int J Mol Sci. 2024 May 16;25(10):5419. doi: 10.3390/ijms25105419.
微塑料和镉的同时施用会改变大鼠睾丸活性,并改变PTMA、DAAM1和PREP的表达。
Front Cell Dev Biol. 2023 Mar 9;11:1145702. doi: 10.3389/fcell.2023.1145702. eCollection 2023.
4
Combined effect of polystyrene microplastics and cadmium on rat blood-testis barrier integrity and sperm quality.聚苯乙烯微塑料和镉对大鼠血睾屏障完整性和精子质量的联合影响。
Environ Sci Pollut Res Int. 2023 Apr;30(19):56700-56712. doi: 10.1007/s11356-023-26429-z. Epub 2023 Mar 16.
5
Mechanisms of Cadmium-Induced Testicular Injury: A Risk to Male Fertility.镉诱导睾丸损伤的机制:对男性生育力的风险。
Cells. 2022 Nov 14;11(22):3601. doi: 10.3390/cells11223601.
6
Molecular basis of the morphogenesis of sperm head and tail in mice.小鼠精子头部和尾部形态发生的分子基础。
Reprod Med Biol. 2022 May 23;21(1):e12466. doi: 10.1002/rmb2.12466. eCollection 2022 Jan-Dec.
7
New Insight on the In Vitro Effects of Melatonin in Preserving Human Sperm Quality.褪黑素对人精子质量体外保护作用的新见解。
Int J Mol Sci. 2022 May 4;23(9):5128. doi: 10.3390/ijms23095128.
8
Evidence of melatonin ameliorative effects on the blood-testis barrier and sperm quality alterations induced by cadmium in the rat testis.褪黑素对镉致大鼠睾丸血睾屏障及精子质量损伤的改善作用。
Ecotoxicol Environ Saf. 2021 Dec 15;226:112878. doi: 10.1016/j.ecoenv.2021.112878. Epub 2021 Oct 8.
9
Altered Expression of DAAM1 and PREP Induced by Cadmium Toxicity Is Counteracted by Melatonin in the Rat Testis.镉毒性诱导的 DAAM1 和 PREP 表达改变被褪黑素在大鼠睾丸中拮抗。
Genes (Basel). 2021 Jun 30;12(7):1016. doi: 10.3390/genes12071016.
10
Genetic factors as potential molecular markers of human oocyte and embryo quality.遗传因素作为人类卵子和胚胎质量的潜在分子标志物。
J Assist Reprod Genet. 2021 May;38(5):993-1002. doi: 10.1007/s10815-021-02196-z. Epub 2021 Apr 24.