• 文献检索
  • 文档翻译
  • 深度研究
  • 学术资讯
  • Suppr Zotero 插件Zotero 插件
  • 邀请有礼
  • 套餐&价格
  • 历史记录
应用&插件
Suppr Zotero 插件Zotero 插件浏览器插件Mac 客户端Windows 客户端微信小程序
定价
高级版会员购买积分包购买API积分包
服务
文献检索文档翻译深度研究API 文档MCP 服务
关于我们
关于 Suppr公司介绍联系我们用户协议隐私条款
关注我们

Suppr 超能文献

核心技术专利:CN118964589B侵权必究
粤ICP备2023148730 号-1Suppr @ 2026

文献检索

告别复杂PubMed语法,用中文像聊天一样搜索,搜遍4000万医学文献。AI智能推荐,让科研检索更轻松。

立即免费搜索

文件翻译

保留排版,准确专业,支持PDF/Word/PPT等文件格式,支持 12+语言互译。

免费翻译文档

深度研究

AI帮你快速写综述,25分钟生成高质量综述,智能提取关键信息,辅助科研写作。

立即免费体验

肝脏中去唾液酸血小板清除是全身免疫抑制的一种新机制。

Desialylated Platelet Clearance in the Liver is a Novel Mechanism of Systemic Immunosuppression.

作者信息

Li June, Karakas Danielle, Xue Feng, Chen Yingyu, Zhu Guangheng, Yucel Yeni H, MacParland Sonya A, Zhang Haibo, Semple John W, Freedman John, Shi Qizhen, Ni Heyu

机构信息

Department of Laboratory Medicine and Pathobiology, University of Toronto, Toronto, ON, Canada.

Toronto Platelet Immunobiology Group, Toronto, ON, Canada.

出版信息

Research (Wash D C). 2023 Oct 5;6:0236. doi: 10.34133/research.0236. eCollection 2023.

DOI:10.34133/research.0236
PMID:37808178
原文链接:https://pmc.ncbi.nlm.nih.gov/articles/PMC10551749/
Abstract

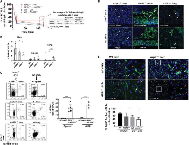
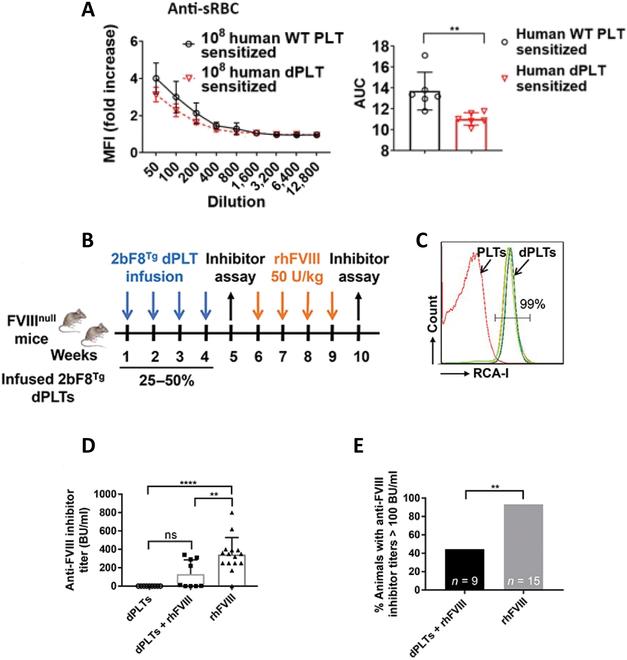
Platelets are small, versatile blood cells that are critical for hemostasis/thrombosis. Local platelet accumulation is a known contributor to proinflammation in various disease states. However, the anti-inflammatory/immunosuppressive potential of platelets has been poorly explored. Here, we uncovered, unexpectedly, desialylated platelets (dPLTs) down-regulated immune responses against both platelet-associated and -independent antigen challenges. Utilizing multispectral photoacoustic tomography, we tracked dPLT trafficking to gut vasculature and an exclusive Kupffer cell-mediated dPLT clearance in the liver, a process that we identified to be synergistically dependent on platelet glycoprotein Ibα and hepatic Ashwell-Morell receptor. Mechanistically, Kupffer cell clearance of dPLT potentiated a systemic immunosuppressive state with increased anti-inflammatory cytokines and circulating CD4 regulatory T cells, abolishable by Kupffer cell depletion. Last, in a clinically relevant model of hemophilia A, presensitization with dPLT attenuated anti-factor VIII antibody production after factor VIII ( infusion. As platelet desialylation commonly occurs in daily-aged and activated platelets, these findings open new avenues toward understanding immune homeostasis and potentiate the therapeutic potential of dPLT and engineered dPLT transfusions in controlling autoimmune and alloimmune diseases.

摘要

血小板是体积小、功能多样的血细胞,对止血/血栓形成至关重要。局部血小板聚集是多种疾病状态下促炎症反应的已知因素。然而,血小板的抗炎/免疫抑制潜力尚未得到充分探索。在此,我们意外地发现,去唾液酸血小板(dPLT)可下调针对血小板相关和非相关抗原刺激的免疫反应。利用多光谱光声断层扫描技术,我们追踪了dPLT向肠道血管的转运以及肝脏中由库普弗细胞介导的dPLT特异性清除过程,我们发现该过程协同依赖于血小板糖蛋白Ibα和肝脏阿什韦尔-莫雷尔受体。从机制上讲,库普弗细胞对dPLT的清除增强了全身免疫抑制状态,伴随着抗炎细胞因子和循环CD4调节性T细胞增加,库普弗细胞耗竭可消除这种状态。最后,在一个临床相关的甲型血友病模型中,用dPLT进行预致敏可减弱因子VIII输注后抗因子VIII抗体的产生。由于血小板去唾液酸化常见于老化和活化的血小板中,这些发现为理解免疫稳态开辟了新途径,并增强了dPLT和工程化dPLT输血在控制自身免疫性和同种免疫性疾病方面的治疗潜力。

https://cdn.ncbi.nlm.nih.gov/pmc/blobs/9aa3/10551749/a3a3420d6267/research.0236.fig.007.jpg
https://cdn.ncbi.nlm.nih.gov/pmc/blobs/9aa3/10551749/0f41692a2ea6/research.0236.fig.001.jpg
https://cdn.ncbi.nlm.nih.gov/pmc/blobs/9aa3/10551749/53af2b288dea/research.0236.fig.002.jpg
https://cdn.ncbi.nlm.nih.gov/pmc/blobs/9aa3/10551749/70115de12932/research.0236.fig.003.jpg
https://cdn.ncbi.nlm.nih.gov/pmc/blobs/9aa3/10551749/d3827d1b0009/research.0236.fig.004.jpg
https://cdn.ncbi.nlm.nih.gov/pmc/blobs/9aa3/10551749/210dd1df2dcf/research.0236.fig.005.jpg
https://cdn.ncbi.nlm.nih.gov/pmc/blobs/9aa3/10551749/91e1913f0164/research.0236.fig.006.jpg
https://cdn.ncbi.nlm.nih.gov/pmc/blobs/9aa3/10551749/a3a3420d6267/research.0236.fig.007.jpg
https://cdn.ncbi.nlm.nih.gov/pmc/blobs/9aa3/10551749/0f41692a2ea6/research.0236.fig.001.jpg
https://cdn.ncbi.nlm.nih.gov/pmc/blobs/9aa3/10551749/53af2b288dea/research.0236.fig.002.jpg
https://cdn.ncbi.nlm.nih.gov/pmc/blobs/9aa3/10551749/70115de12932/research.0236.fig.003.jpg
https://cdn.ncbi.nlm.nih.gov/pmc/blobs/9aa3/10551749/d3827d1b0009/research.0236.fig.004.jpg
https://cdn.ncbi.nlm.nih.gov/pmc/blobs/9aa3/10551749/210dd1df2dcf/research.0236.fig.005.jpg
https://cdn.ncbi.nlm.nih.gov/pmc/blobs/9aa3/10551749/91e1913f0164/research.0236.fig.006.jpg
https://cdn.ncbi.nlm.nih.gov/pmc/blobs/9aa3/10551749/a3a3420d6267/research.0236.fig.007.jpg

相似文献

1
Desialylated Platelet Clearance in the Liver is a Novel Mechanism of Systemic Immunosuppression.肝脏中去唾液酸血小板清除是全身免疫抑制的一种新机制。
Research (Wash D C). 2023 Oct 5;6:0236. doi: 10.34133/research.0236. eCollection 2023.
2
Platelet desialylation and TFH cells-the novel pathway of immune thrombocytopenia.血小板去唾液酸化与滤泡辅助性T细胞——免疫性血小板减少症的新途径
Exp Hematol Oncol. 2021 Mar 15;10(1):21. doi: 10.1186/s40164-021-00214-5.
3
Platelets are versatile cells: New discoveries in hemostasis, thrombosis, immune responses, tumor metastasis and beyond.血小板是多功能细胞:在止血、血栓形成、免疫反应、肿瘤转移等方面的新发现。
Crit Rev Clin Lab Sci. 2016 Dec;53(6):409-30. doi: 10.1080/10408363.2016.1200008. Epub 2016 Jul 22.
4
Macrophage galactose lectin is critical for Kupffer cells to clear aged platelets.巨噬细胞半乳糖凝集素对于库普弗细胞清除衰老血小板至关重要。
J Exp Med. 2020 Apr 6;217(4). doi: 10.1084/jem.20190723.
5
Sialylation on O-glycans protects platelets from clearance by liver Kupffer cells.糖链上的唾液酸化能保护血小板免受肝脏库普弗细胞的清除。
Proc Natl Acad Sci U S A. 2017 Aug 1;114(31):8360-8365. doi: 10.1073/pnas.1707662114. Epub 2017 Jul 17.
6
Platelet storage induces accelerated desialylation of platelets and increases hepatic thrombopoietin production.血小板储存会导致血小板加速去唾液酸化,并增加肝脏生成的血小板生成素。
J Transl Med. 2018 Jul 18;16(1):199. doi: 10.1186/s12967-018-1576-6.
7
GPIbα is required for platelet-mediated hepatic thrombopoietin generation.GPIbα 对于血小板介导的肝生成素生成是必需的。
Blood. 2018 Aug 9;132(6):622-634. doi: 10.1182/blood-2017-12-820779. Epub 2018 May 24.
8
Prognostic value of platelet recovery degree before and after achieving minimal residual disease negative complete remission in acute myeloid leukemia patients.血小板恢复程度在急性髓系白血病患者达到微小残留病阴性完全缓解前后的预后价值。
BMC Cancer. 2020 Aug 5;20(1):732. doi: 10.1186/s12885-020-07222-4.
9
Kupffer cell receptor CLEC4F is important for the destruction of desialylated platelets in mice.库普弗细胞受体 CLEC4F 对于小鼠去唾液酸化血小板的破坏很重要。
Cell Death Differ. 2021 Nov;28(11):3009-3021. doi: 10.1038/s41418-021-00797-w. Epub 2021 May 15.
10
Efficiently Restored Thrombopoietin Production by Ashwell-Morell Receptor and IL-6R Induced Janus Kinase 2/Signal Transducer and Activator of Transcription Signaling Early After Partial Hepatectomy.部分肝切除术后早期,通过 Ashwell-Morell 受体和 IL-6R 诱导的 Janus 激酶 2/信号转导子和转录激活子信号通路高效恢复血小板生成素的产生。
Hepatology. 2021 Jul;74(1):411-427. doi: 10.1002/hep.31698. Epub 2021 Jun 4.

引用本文的文献

1
Platelets in infection: intrinsic roles and functional outcomes.感染中的血小板:内在作用与功能结果
Front Immunol. 2025 Jul 7;16:1616783. doi: 10.3389/fimmu.2025.1616783. eCollection 2025.
2
Structural analyses of apolipoprotein A-IV polymorphisms Q360H and T347S elucidate the inhibitory effect against thrombosis.载脂蛋白A-IV多态性Q360H和T347S的结构分析阐明了其对血栓形成的抑制作用。
J Biol Chem. 2025 Apr;301(4):108392. doi: 10.1016/j.jbc.2025.108392. Epub 2025 Mar 10.
3
Selective apoptosis of tumor-associated platelets boosts the anti-metastatic potency of PD-1 blockade therapy.

本文引用的文献

1
SARS-CoV-2 RBD and Its Variants Can Induce Platelet Activation and Clearance: Implications for Antibody Therapy and Vaccinations against COVID-19.严重急性呼吸综合征冠状病毒2受体结合域(SARS-CoV-2 RBD)及其变体可诱导血小板活化和清除:对COVID-19抗体治疗和疫苗接种的启示
Research (Wash D C). 2023 Apr 24;6:0124. doi: 10.34133/research.0124. eCollection 2023.
2
Programming of Regulatory T Cells In Situ for Nerve Regeneration and Long-Term Patency of Vascular Grafts.原位编程调节性T细胞促进神经再生和血管移植物的长期通畅
Research (Wash D C). 2022 Jul 19;2022:9826426. doi: 10.34133/2022/9826426. eCollection 2022.
3
Helper T Cell (CD4) Targeted Tacrolimus Delivery Mediates Precise Suppression of Allogeneic Humoral Immunity.
肿瘤相关血小板的选择性凋亡增强了PD-1阻断疗法的抗转移效力。
Cell Rep Med. 2025 Mar 18;6(3):101984. doi: 10.1016/j.xcrm.2025.101984. Epub 2025 Feb 27.
4
Dynamics of peripheral blood inflammatory index predict tumor pathological response and survival among patients with locally advanced non-small cell lung cancer who underwent neoadjuvant immunochemotherapy: a multi-cohort retrospective study.外周血炎症指标动力学预测新辅助免疫化疗的局部晚期非小细胞肺癌患者的肿瘤病理反应和生存:一项多队列回顾性研究。
Front Immunol. 2024 Jul 23;15:1422717. doi: 10.3389/fimmu.2024.1422717. eCollection 2024.
5
The role of platelet desialylation as a biomarker in primary immune thrombocytopenia: mechanisms and therapeutic perspectives.血小板去唾液酸化作为原发性免疫性血小板减少症生物标志物的作用:机制和治疗前景。
Front Immunol. 2024 Jun 24;15:1409461. doi: 10.3389/fimmu.2024.1409461. eCollection 2024.
6
Cathelicidin-HG Alleviates Sepsis-Induced Platelet Dysfunction by Inhibiting GPVI-Mediated Platelet Activation.抗菌肽-HG通过抑制糖蛋白VI介导的血小板活化减轻脓毒症诱导的血小板功能障碍。
Research (Wash D C). 2024 Jun 5;7:0381. doi: 10.34133/research.0381. eCollection 2024.
7
Commentary on "Desialylated Platelets Maintain Immune Quiescence through Regulating Kupffer Cells".关于“去唾液酸血小板通过调节库普弗细胞维持免疫静止”的评论
Research (Wash D C). 2023 Dec 12;6:0279. doi: 10.34133/research.0279. eCollection 2023.
靶向辅助性T细胞(CD4)的他克莫司递送介导对同种异体体液免疫的精确抑制。
Research (Wash D C). 2022 Jul 16;2022:9794235. doi: 10.34133/2022/9794235. eCollection 2022.
4
Platelet Membrane-Coated Nanocarriers Targeting Plaques to Deliver Anti-CD47 Antibody for Atherosclerotic Therapy.靶向斑块递送抗CD47抗体用于动脉粥样硬化治疗的血小板膜包被纳米载体
Research (Wash D C). 2022 Jan 17;2022:9845459. doi: 10.34133/2022/9845459. eCollection 2022.
5
Recent advances in the mechanisms and treatment of immune thrombocytopenia.免疫性血小板减少症发病机制及治疗的新进展。
EBioMedicine. 2022 Feb;76:103820. doi: 10.1016/j.ebiom.2022.103820. Epub 2022 Jan 21.
6
A subset of Kupffer cells regulates metabolism through the expression of CD36.一组库普弗细胞通过表达 CD36 来调节代谢。
Immunity. 2021 Sep 14;54(9):2101-2116.e6. doi: 10.1016/j.immuni.2021.08.006. Epub 2021 Aug 31.
7
GPIbα is the driving force of hepatic thrombopoietin generation.糖蛋白Ibα是肝脏生成血小板生成素的驱动力。
Res Pract Thromb Haemost. 2021 May 3;5(4):e12506. doi: 10.1002/rth2.12506. eCollection 2021 May.
8
Hyposialylation Must Be Considered to Develop Future Therapies in Autoimmune Diseases.低唾液酸化必须在自身免疫性疾病的未来治疗中得到考虑。
Int J Mol Sci. 2021 Mar 26;22(7):3402. doi: 10.3390/ijms22073402.
9
Dexamethasone plus oseltamivir versus dexamethasone in treatment-naive primary immune thrombocytopenia: a multicentre, randomised, open-label, phase 2 trial.地塞米松联合奥司他韦与地塞米松治疗初治原发性免疫性血小板减少症的疗效比较:一项多中心、随机、开放标签、2 期临床试验。
Lancet Haematol. 2021 Apr;8(4):e289-e298. doi: 10.1016/S2352-3026(21)00030-2.
10
A novel photoacoustic-fluorescent contrast agent for quantitative imaging of lymphatic drainage.一种用于淋巴引流定量成像的新型光声荧光造影剂。
Photoacoustics. 2021 Jan 8;21:100239. doi: 10.1016/j.pacs.2021.100239. eCollection 2021 Mar.