Suppr超能文献

一例琥珀酸脱氢酶复合物亚基D突变患者中附着于左冠状动脉主干的心脏副神经节瘤病例报告。

A case report of an intracardiac paraganglioma attached to the left main coronary artery in a patient with a succinate dehydrogenase complex subunit D mutation.

作者信息

Feijen Michelle, Palmen Meindert, Lamb Hildo J, Corssmit Eleonora P M, Antoni Maria Louisa

机构信息

Department of Cardiology, Leiden University Medical Center, Albinusdreef 2, Leiden 2333 ZA, The Netherlands.

Department of Cardiothoracic Surgery, Leiden University Medical Center, Leiden, The Netherlands.

出版信息

Eur Heart J Case Rep. 2023 Aug 19;7(10):ytad418. doi: 10.1093/ehjcr/ytad418. eCollection 2023 Oct.

Abstract

BACKGROUND

Cardiac paragangliomas are extremely rare neuroendocrine tumours derived from neural crest cells that represent <2% of all paragangliomas. Approximately 35-40% of all paragangliomas are associated with inherited syndromes such as mutation in the succinate dehydrogenase (SDH) enzyme.

CASE SUMMARY

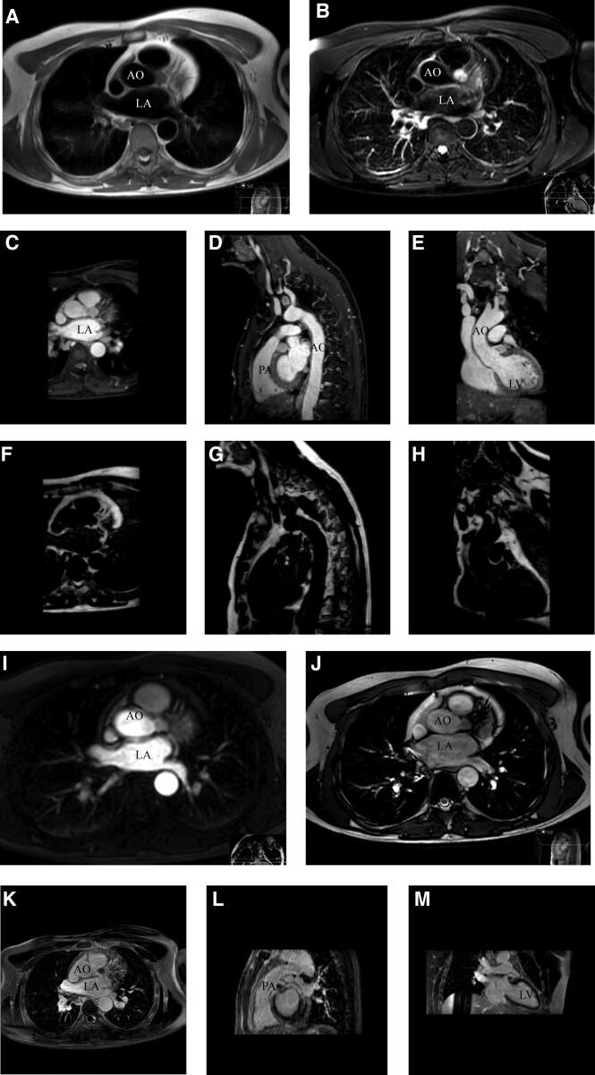
A 44-year-old male with an SDH complex subunit D (SDHD) mutation was diagnosed with an intracardiac paraganglioma attached to the left main coronary artery. Multimodality imaging, including gallium dotatate positron emission tomography computed tomography, cardiac magnetic resonance imaging, and coronary computed tomography angiography (CCTA) confirmed the suspected intracardiac paraganglioma. During follow-up with a CCTA, the mass showed growth, and surgical removal was recommended to anticipate on the risk of compression of the left main coronary artery. Prior to surgery, coronary angiography was performed, which showed no coronary calcifications. The highly vascularized paraganglioma was visible near the left main and proximal left anterior descending artery. The intracardiac paraganglioma was successfully removed through a median sternotomy with cardiopulmonary bypass, without any complications. The post-operative course was uneventful, and histological examination confirmed the diagnosis of a paraganglioma.

DISCUSSION

Intracardiac paragangliomas in the vicinity of the left main coronary artery are rare, and surgical removal may be challenging. Therefore, screening and the use of multiple imaging modalities in patients with SDHD mutations prior to surgery is of major importance.

摘要

背景

心脏副神经节瘤是极为罕见的神经内分泌肿瘤,起源于神经嵴细胞,占所有副神经节瘤的比例不到2%。所有副神经节瘤中约35 - 40%与遗传性综合征相关,如琥珀酸脱氢酶(SDH)基因突变。

病例摘要

一名44岁男性,携带琥珀酸脱氢酶复合体亚基D(SDHD)突变,被诊断患有附着于左冠状动脉主干的心脏内副神经节瘤。多模态成像,包括镓标记奥曲肽正电子发射断层扫描计算机断层扫描、心脏磁共振成像和冠状动脉计算机断层扫描血管造影(CCTA),证实了疑似心脏内副神经节瘤的诊断。在CCTA随访期间,肿块显示生长,建议手术切除以预防左冠状动脉主干受压风险。手术前进行了冠状动脉造影,结果显示无冠状动脉钙化。高度血管化的副神经节瘤在左冠状动脉主干和左前降支近端附近可见。通过正中胸骨切开术并在体外循环下成功切除心脏内副神经节瘤,无任何并发症。术后病程平稳,组织学检查确诊为副神经节瘤。

讨论

左冠状动脉主干附近的心脏内副神经节瘤罕见,手术切除可能具有挑战性。因此,术前对携带SDHD突变的患者进行筛查并使用多种成像模态至关重要。

https://cdn.ncbi.nlm.nih.gov/pmc/blobs/d03c/10551059/bae40133263e/ytad418f1.jpg

文献AI研究员

20分钟写一篇综述,助力文献阅读效率提升50倍。

立即体验

用中文搜PubMed

大模型驱动的PubMed中文搜索引擎

马上搜索

文档翻译

学术文献翻译模型,支持多种主流文档格式。

立即体验