• 文献检索
  • 文档翻译
  • 深度研究
  • 学术资讯
  • Suppr Zotero 插件Zotero 插件
  • 邀请有礼
  • 套餐&价格
  • 历史记录
应用&插件
Suppr Zotero 插件Zotero 插件浏览器插件Mac 客户端Windows 客户端微信小程序
定价
高级版会员购买积分包购买API积分包
服务
文献检索文档翻译深度研究API 文档MCP 服务
关于我们
关于 Suppr公司介绍联系我们用户协议隐私条款
关注我们

Suppr 超能文献

核心技术专利:CN118964589B侵权必究
粤ICP备2023148730 号-1Suppr @ 2026

文献检索

告别复杂PubMed语法,用中文像聊天一样搜索,搜遍4000万医学文献。AI智能推荐,让科研检索更轻松。

立即免费搜索

文件翻译

保留排版,准确专业,支持PDF/Word/PPT等文件格式,支持 12+语言互译。

免费翻译文档

深度研究

AI帮你快速写综述,25分钟生成高质量综述,智能提取关键信息,辅助科研写作。

立即免费体验

腹腔镜下切除肝十二指肠韧带神经节细胞瘤:一例报告。

Laparoscopic resection of ganglioneuroma from the hepatoduodenal ligament: A case report.

作者信息

Felföldi Tamás, Varga Zsolt, Kolozsi Péter, Kovács Dávid Ágoston, Tóth Dezső

机构信息

University of Debrecen Clinical Center Surgical Department, 4032 Debrecen, Móricz Zsigmond krt. 22, Hungary.

出版信息

Int J Surg Case Rep. 2023 Nov;112:108914. doi: 10.1016/j.ijscr.2023.108914. Epub 2023 Oct 5.

DOI:10.1016/j.ijscr.2023.108914
PMID:37832360
原文链接:https://pmc.ncbi.nlm.nih.gov/articles/PMC10667774/
Abstract

INTRODUCTION AND IMPORTANCE

Ganglioneuromas are extremely rare, slow-growing, benign tumors that arising from Schwann cells, ganglion cells, and neuronal or fibrous tissue. Their malignant degeneration occurs very rarely, complete surgical removal is recommended to eliminate possible symptoms or to prevent possible malignant transformation. Reviewing the literature, there is currently insufficient data available on laparoscopic resection of retroperitoneal ganglioneuromas.

CASE PRESENTATION

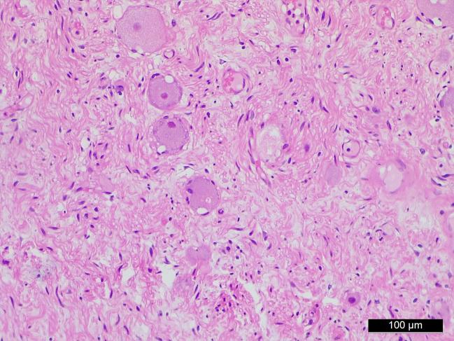
20-year-old young woman with no previous medical history or regular medication use complaints of abdominal pain. Abdominal CT scan found a cystic mass measuring up to 50 mm in diameter with a thick fluid density and no contrast accumulation, was identified in the porta hepatis region extrahepatically. Ultrasound-guided biopsy was performed, histopathological finding revealed mature benign neurogenic tumor tissue consisting of mature ganglion cells, mature Schwann cells, and branching stroma.

CLINICAL DISCUSSION

A laparoscopic surgery was performed, the 5 cm large tumor was excised from the hepatoduodenal ligament. The tumor was removed from the region of the inferior caval vein, portal vein, and the common and proper hepatic arteries. Final histological diagnosis is ganglioneuroma of the hepatoduodenal ligament. After uneventful postoperative period, the patient was discharged home on the 6th day.

CONCLUSIONS

Retroperitoneal tumors were previously excised during laparotomy. However, in recent decades, with the development of laparoscopic surgical techniques and tools, laparoscopic removal of some retroperitoneal tumors seems to be the ideal approach. The use of laparoscopy improves visibility of the relationship of the tumor to the surrounding, often vital, structures. Based on a review of the international literature and our own experience, laparoscopic ganglioneuroma resection is the recommended procedure with careful patient selection, as well as appropriate preoperative imaging and diagnostics, and with adequate expertise.

摘要

引言与重要性

神经节神经瘤极为罕见,生长缓慢,是起源于施万细胞、神经节细胞以及神经元或纤维组织的良性肿瘤。其恶性变极为罕见,建议完整手术切除以消除可能的症状或预防可能的恶性转化。查阅文献发现,目前关于腹腔镜切除腹膜后神经节神经瘤的可用数据不足。

病例介绍

一名20岁年轻女性,既往无病史且未规律用药,主诉腹痛。腹部CT扫描发现肝门区肝外有一个直径达50毫米的囊性肿块,密度较高且无造影剂积聚。进行了超声引导下活检,组织病理学检查发现成熟的良性神经源性肿瘤组织,由成熟的神经节细胞、成熟的施万细胞和分支间质组成。

临床讨论

实施了腹腔镜手术,从肝十二指肠韧带切除了一个5厘米大的肿瘤。该肿瘤从下腔静脉、门静脉以及肝总动脉和肝固有动脉区域切除。最终组织学诊断为肝十二指肠韧带神经节神经瘤。术后恢复顺利,患者于第6天出院。

结论

腹膜后肿瘤以前是在剖腹手术中切除的。然而,近几十年来,随着腹腔镜手术技术和工具的发展,腹腔镜切除一些腹膜后肿瘤似乎是理想的方法。腹腔镜的使用提高了肿瘤与周围通常为重要结构关系的可视性。基于对国际文献的回顾和我们自己的经验,在仔细选择患者、进行适当的术前影像学检查和诊断以及具备足够专业知识的情况下,腹腔镜神经节神经瘤切除术是推荐的手术方式。

https://cdn.ncbi.nlm.nih.gov/pmc/blobs/15f9/10667774/f4b004399844/gr8.jpg
https://cdn.ncbi.nlm.nih.gov/pmc/blobs/15f9/10667774/3238b32f6217/gr1.jpg
https://cdn.ncbi.nlm.nih.gov/pmc/blobs/15f9/10667774/33b6a317b083/gr2.jpg
https://cdn.ncbi.nlm.nih.gov/pmc/blobs/15f9/10667774/54ec2eae9e52/gr3.jpg
https://cdn.ncbi.nlm.nih.gov/pmc/blobs/15f9/10667774/d5d2d548e354/gr4.jpg
https://cdn.ncbi.nlm.nih.gov/pmc/blobs/15f9/10667774/06cfa6e4e807/gr5.jpg
https://cdn.ncbi.nlm.nih.gov/pmc/blobs/15f9/10667774/1a492e82de9b/gr6.jpg
https://cdn.ncbi.nlm.nih.gov/pmc/blobs/15f9/10667774/dc9a40c7ceb7/gr7.jpg
https://cdn.ncbi.nlm.nih.gov/pmc/blobs/15f9/10667774/f4b004399844/gr8.jpg
https://cdn.ncbi.nlm.nih.gov/pmc/blobs/15f9/10667774/3238b32f6217/gr1.jpg
https://cdn.ncbi.nlm.nih.gov/pmc/blobs/15f9/10667774/33b6a317b083/gr2.jpg
https://cdn.ncbi.nlm.nih.gov/pmc/blobs/15f9/10667774/54ec2eae9e52/gr3.jpg
https://cdn.ncbi.nlm.nih.gov/pmc/blobs/15f9/10667774/d5d2d548e354/gr4.jpg
https://cdn.ncbi.nlm.nih.gov/pmc/blobs/15f9/10667774/06cfa6e4e807/gr5.jpg
https://cdn.ncbi.nlm.nih.gov/pmc/blobs/15f9/10667774/1a492e82de9b/gr6.jpg
https://cdn.ncbi.nlm.nih.gov/pmc/blobs/15f9/10667774/dc9a40c7ceb7/gr7.jpg
https://cdn.ncbi.nlm.nih.gov/pmc/blobs/15f9/10667774/f4b004399844/gr8.jpg

相似文献

1
Laparoscopic resection of ganglioneuroma from the hepatoduodenal ligament: A case report.腹腔镜下切除肝十二指肠韧带神经节细胞瘤:一例报告。
Int J Surg Case Rep. 2023 Nov;112:108914. doi: 10.1016/j.ijscr.2023.108914. Epub 2023 Oct 5.
2
Laparoscopic celiac plexus ganglioneuroma resection: A video case report.腹腔镜下腹腔神经丛神经节细胞瘤切除术:一例视频病例报告。
World J Gastrointest Surg. 2019 Mar 27;11(3):191-197. doi: 10.4240/wjgs.v11.i3.191.
3
Laparoscopic resection of a large nonadrenal ganglioneuroma adhered to the aorta and inferior mesenteric artery: A case report and literature review.腹腔镜下切除与主动脉和肠系膜下动脉粘连的巨大非肾上腺神经节瘤:病例报告及文献复习
Int J Surg Case Rep. 2021 Jan;78:16-20. doi: 10.1016/j.ijscr.2020.11.127. Epub 2020 Dec 2.
4
Total resection of a giant retroperitoneal and mediastinal ganglioneuroma-case report and systematic review of the literature.巨大腹膜后及纵隔神经节细胞瘤的全切除——病例报告及文献系统综述
World J Surg Oncol. 2020 Sep 18;18(1):248. doi: 10.1186/s12957-020-02016-1.
5
[Laparoscopic excision of retroperitoneal ganglioneuroma through anterior transperitoneal approach].[经腹腔前路腹腔镜下切除腹膜后神经节细胞瘤]
Cir Cir. 2012 May-Jun;80(3):274-7.
6
Laparoscopic excision of a retroperitoneal ganglioneuroma.腹腔镜下切除腹膜后神经节细胞瘤。
JSLS. 2012 Oct-Dec;16(4):668-70. doi: 10.4293/108680812X13517013316799.
7
Retroperitoneal Ganglioneuroma (GN): Case report in 14 years old boy.腹膜后神经节细胞瘤(GN):一名14岁男孩的病例报告。
Int J Surg Case Rep. 2019;60:130-132. doi: 10.1016/j.ijscr.2019.06.011. Epub 2019 Jun 12.
8
Total laparoscopic excision of retroperitoneal ganglioneuroma: A case report.腹腔镜完全切除腹膜后神经节细胞瘤:病例报告
Int J Surg Case Rep. 2021 Jun;83:106053. doi: 10.1016/j.ijscr.2021.106053. Epub 2021 May 29.
9
Total laparoscopic excision of retroperitoneal ganglioneuroma using the hanging method and a vessel-sealing device.采用悬吊法和血管闭合装置完全腹腔镜下切除腹膜后神经节细胞瘤。
J Laparoendosc Adv Surg Tech A. 2008 Oct;18(5):779-82. doi: 10.1089/lap.2007.0114.
10
Laparoscopic resection of benign schwannoma in the hepatoduodenal ligament: A case report and review of the literature.腹腔镜下肝十二指肠韧带良性神经鞘瘤切除术:1例报告并文献复习
Oncol Lett. 2016 May;11(5):3349-3353. doi: 10.3892/ol.2016.4410. Epub 2016 Apr 5.

本文引用的文献

1
International Society of Paediatric Surgical Oncology (IPSO) Surgical Practice Guidelines.国际小儿外科肿瘤学会(IPSO)手术实践指南
Ecancermedicalscience. 2022 Feb 17;16:1356. doi: 10.3332/ecancer.2022.1356. eCollection 2022.
2
Laparoscopic resection of a large nonadrenal ganglioneuroma adhered to the aorta and inferior mesenteric artery: A case report and literature review.腹腔镜下切除与主动脉和肠系膜下动脉粘连的巨大非肾上腺神经节瘤:病例报告及文献复习
Int J Surg Case Rep. 2021 Jan;78:16-20. doi: 10.1016/j.ijscr.2020.11.127. Epub 2020 Dec 2.
3
Total resection of a giant retroperitoneal and mediastinal ganglioneuroma-case report and systematic review of the literature.
巨大腹膜后及纵隔神经节细胞瘤的全切除——病例报告及文献系统综述
World J Surg Oncol. 2020 Sep 18;18(1):248. doi: 10.1186/s12957-020-02016-1.
4
Laparoscopic resection of paraaortic/paracaval neurogenic tumors: surgical outcomes and technical tips.腹腔镜下切除腹主动脉旁/腔静脉旁神经源性肿瘤:手术结果及技术要点
Surg Endosc. 2016 Oct;30(10):4640-5. doi: 10.1007/s00464-015-4740-6. Epub 2015 Dec 29.
5
Incidental ganglioneuromas: a presentation of 14 surgical cases and literature review.偶发性神经节细胞瘤:14例手术病例报告及文献综述
J Endocrinol Invest. 2015 May;38(5):547-54. doi: 10.1007/s40618-014-0226-y. Epub 2014 Dec 13.
6
Successful management of presacral ganglioneuroma: A case report and a review of the literature.骶前神经节神经瘤的成功治疗:一例报告及文献综述
Int J Surg Case Rep. 2013;4(10):933-5. doi: 10.1016/j.ijscr.2013.07.032. Epub 2013 Aug 15.
7
Presacral ganglioneuroma: a case report and review of literature.骶前神经节神经瘤:一例病例报告及文献综述
World J Gastroenterol. 2007 Apr 14;13(14):2129-31. doi: 10.3748/wjg.v13.i14.2129.