Suppr超能文献

使用先健科纳封堵器经导管封堵膜周部室间隔缺损,包括多孔型和Gerbode型缺损

Transcatheter Closure of Perimembranous Ventricular Septal Defects Including Multifenestrated and Gerbode-Type Defects Using the Lifetech Konar Device.

作者信息

Godart Francois, Baudelet Jean Benoit, Delarue Alexandre, Polge Anne Sophie, Domanski Olivia, Bichali Said, Houeijeh Ali

机构信息

Department of Pediatric Cardiology and Congenital Heart Disease, Institut Cœur Poumon, CHRU Lille, 59000 Lille, France.

Department of Echocardiography and Physiology, Institut Cœur Poumon, CHRU Lille, 59000 Lille, France.

出版信息

J Clin Med. 2023 Oct 5;12(19):6370. doi: 10.3390/jcm12196370.

Abstract

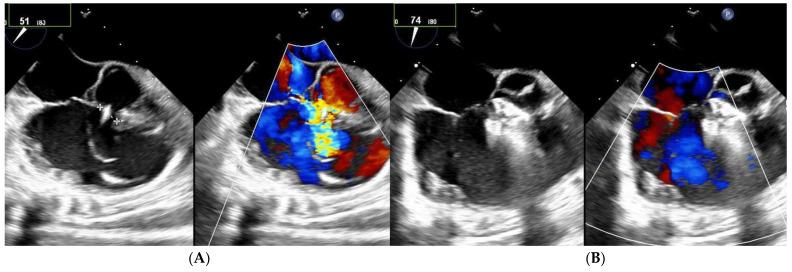
(1) Transcatheter closure of perimembranous ventricular septal defects (PmVSD) is becoming more attractive and effective with the development of new occluders. The aim of this study was to report a single-center experience in PmVSD closure using the Lifetech Konar-multifunctional occluder (MFO). (2) From March 2019 to October 2022, 43 consecutive patients were enrolled in the study. Among them, 13 had multifenestrated PmVSD including 5 Gerbode-type defects. (3) There were 23 males/20 females, and the median age was 17 years (range 2-68 years). Trivial aortic regurgitation was noticed in 19 patients. Implantation was successful in all patients under general anesthesia. A retrograde approach was used in 35 patients (81%). The retrograde approach was associated with a lower radiation dose ( = 0.042) and shorter fluoroscopy time ( = 0.002) compared to the antegrade approach. Full occlusion was observed immediately in 12 patients (28%) and in 33 patients (77%) at a median follow-up of 11 months. There were no complications such as embolization, complete atrioventricular block, device dislocation, new onset above grade I, or progression of tricuspid or aortic valve regurgitation. Seven of the thirteen patients with a multifenestrated defect had no residual shunt. The persistent shunts were all trivial intra-prosthetic leaks. (4) MFO is effective and safe for PmVSD closure including multifenestrated/Gerbode-type defects with no complication. However, a longer follow-up remains warranted to establish the safety of this technique.

摘要

(1) 随着新型封堵器的发展,经导管闭合膜周部室间隔缺损(PmVSD)正变得更具吸引力且更有效。本研究的目的是报告使用深圳先健科技公司的柯纳多功能封堵器(MFO)闭合PmVSD的单中心经验。(2) 从2019年3月至2022年10月,连续43例患者纳入本研究。其中,13例为多孔型PmVSD,包括5例Gerbode型缺损。(3) 男性23例/女性20例,中位年龄为17岁(范围2 - 68岁)。19例患者存在轻度主动脉瓣反流。所有患者均在全身麻醉下成功植入。35例患者(81%)采用逆行途径。与顺行途径相比,逆行途径的辐射剂量更低(P = 0.042),透视时间更短(P = 0.002)。12例患者(28%)即刻观察到完全封堵,在中位随访11个月时,33例患者(77%)达到完全封堵。未发生栓塞、完全性房室传导阻滞、封堵器移位、I级以上新出现的或三尖瓣或主动脉瓣反流进展等并发症。13例多孔型缺损患者中有7例无残余分流。持续性分流均为封堵器内轻度渗漏。(4) MFO用于闭合包括多孔型/Gerbode型缺损在内的PmVSD有效且安全,无并发症。然而,仍需要更长时间的随访以确定该技术的安全性。

https://cdn.ncbi.nlm.nih.gov/pmc/blobs/2f8a/10573930/2d098b88eb90/jcm-12-06370-g001.jpg

文献检索

告别复杂PubMed语法,用中文像聊天一样搜索,搜遍4000万医学文献。AI智能推荐,让科研检索更轻松。

立即免费搜索

文件翻译

保留排版,准确专业,支持PDF/Word/PPT等文件格式,支持 12+语言互译。

免费翻译文档

深度研究

AI帮你快速写综述,25分钟生成高质量综述,智能提取关键信息,辅助科研写作。

立即免费体验