Suppr超能文献

采用脊椎矫正生物物理学方法治疗颈椎加速-减速(CAD)损伤后的积极结果:汽车事故前与事故后病例系列

Positive Outcomes Following Cervical Acceleration-Deceleration (CAD) Injury Using Chiropractic BioPhysics Methods: A Pre-Auto Injury and Post-Auto Injury Case Series.

作者信息

Norton Tim C, Oakley Paul A, Haas Jason W, Harrison Deed E

机构信息

Private Practice, Shoreline, WA 98133, USA.

CBP Nonprofit, Eagle, ID 83616, USA.

出版信息

J Clin Med. 2023 Oct 9;12(19):6414. doi: 10.3390/jcm12196414.

Abstract

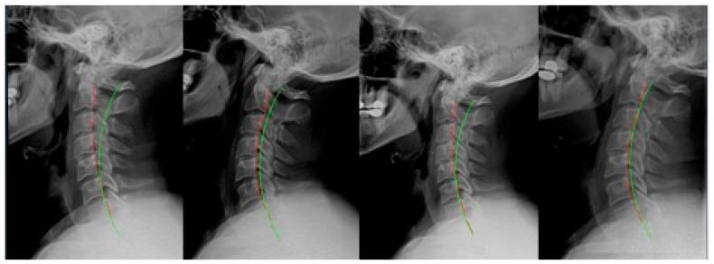
This series illustrates how rear-end impact motor vehicle collisions (MVCs) alter the cervical spine's alignment and demonstrates therapeutic use of cervical extension traction to improve lordotic alignment and other outcomes. This is a retrospective reporting of 7 adult patients (4 males and 3 females, 28-42 years) treated for cervical hypolordosis. These subjects received Chiropractic BioPhysics (CBP) rehabilitation and then were involved in a rear-end MVC. All cases had radiographic assessment that quantified the buckling of the cervical spine, presumably resulting directly from the CAD trauma. After an average of 3 years and 9 months (range: 1-7.6 years) following their initial program of care, the 7 patients sought care for a second time after the MVC. At this time, compared with their previously recorded post-treatment spine radiographs, there was an average 18.7° (range: 7.6-35.4°) reduction in cervical lordosis, a 9.2 mm (range: 3.6-19.8 mm) increase in anterior head translation (AHT), an 11.3° (range: 0.2-19.9°) decrease in the atlas plane line (APL), as well as a 35.7% (range: 22-52%) average neck disability index score (NDI) measured after the MVC. After the crash, a second round of CBP rehabilitation was administered, resulting in an average 15.1° improvement in cervical lordosis, 10.9 mm reduction in AHT, 10.4° increase in APL, and a 23.7% drop in NDI after an average of 35 treatments over 9 weeks. Treatment was universally successful, as an average 80% re-establishment of the lordosis toward its pre-injury state was found. There were no adverse events reported. This case series demonstrates that motor vehicle collisions may alter the alignment of the cervical spine. Rehabilitation of the cervical curve using extension traction improved the patients' initial pre-crash alignments toward their pre-injury alignments and was likely responsible for improvement in the patients' conditions. Clinical trials are needed to confirm these findings.

摘要

本系列阐述了机动车追尾碰撞(MVCs)如何改变颈椎排列,并展示了颈椎伸展牵引在改善前凸排列及其他结果方面的治疗用途。这是一项对7例因颈椎前凸不足接受治疗的成年患者(4例男性和3例女性,年龄28 - 42岁)的回顾性报告。这些受试者接受了脊椎矫正生物物理学(CBP)康复治疗,随后遭遇了机动车追尾碰撞。所有病例均进行了影像学评估,量化了颈椎的屈曲情况,推测这是由追尾创伤直接导致的。在其初始治疗方案实施平均3年9个月(范围:1 - 7.6年)后,这7例患者在追尾碰撞后再次寻求治疗。此时,与之前记录的治疗后脊柱X光片相比,颈椎前凸平均减少了18.7°(范围:7.6 - 35.4°),头部向前平移(AHT)增加了9.2毫米(范围:3.6 - 19.8毫米),寰椎平面线(APL)减少了11.3°(范围:0.2 - 19.9°),并且追尾碰撞后测量的颈部残疾指数(NDI)平均得分增加了35.7%(范围:22 - 52%)。碰撞后,进行了第二轮CBP康复治疗,在9周内平均进行35次治疗后,颈椎前凸平均改善了15.1°,AHT减少了10.9毫米,APL增加了10.4°,NDI下降了23.7%。治疗普遍成功,因为发现前凸平均恢复到损伤前状态的80%。未报告不良事件。该病例系列表明机动车碰撞可能会改变颈椎排列。使用伸展牵引对颈椎曲度进行康复治疗,使患者从碰撞后的初始排列改善至损伤前的排列,这可能是患者病情改善的原因。需要进行临床试验来证实这些发现。

https://cdn.ncbi.nlm.nih.gov/pmc/blobs/73f7/10573959/50054ff65101/jcm-12-06414-g001.jpg

文献AI研究员

20分钟写一篇综述,助力文献阅读效率提升50倍。

立即体验

用中文搜PubMed

大模型驱动的PubMed中文搜索引擎

马上搜索

文档翻译

学术文献翻译模型,支持多种主流文档格式。

立即体验