• 文献检索
  • 文档翻译
  • 深度研究
  • 学术资讯
  • Suppr Zotero 插件Zotero 插件
  • 邀请有礼
  • 套餐&价格
  • 历史记录
应用&插件
Suppr Zotero 插件Zotero 插件浏览器插件Mac 客户端Windows 客户端微信小程序
定价
高级版会员购买积分包购买API积分包
服务
文献检索文档翻译深度研究API 文档MCP 服务
关于我们
关于 Suppr公司介绍联系我们用户协议隐私条款
关注我们

Suppr 超能文献

核心技术专利:CN118964589B侵权必究
粤ICP备2023148730 号-1Suppr @ 2026

文献检索

告别复杂PubMed语法,用中文像聊天一样搜索,搜遍4000万医学文献。AI智能推荐,让科研检索更轻松。

立即免费搜索

文件翻译

保留排版,准确专业,支持PDF/Word/PPT等文件格式,支持 12+语言互译。

免费翻译文档

深度研究

AI帮你快速写综述,25分钟生成高质量综述,智能提取关键信息,辅助科研写作。

立即免费体验

巨大蜿蜒状动脉瘤:一名左利手患者的神经放射学与神经外科治疗

Giant serpentine aneurysm: Neuroradiological and neurosurgical management in a left-handed patient.

作者信息

Romano Andrea, Moltoni Giulia, Piazza Amedeo, Trasimeni Guido, Miscusi Massimo, Palizzi Serena, Romano Allegra, Raco Antonino, Bozzao Alessandro

机构信息

NESMOS, Department of Neuroradiology, S.Andrea Hospital, University Sapienza, Rome, Italy.

出版信息

Radiol Case Rep. 2023 Oct 4;18(12):4384-4388. doi: 10.1016/j.radcr.2023.09.014. eCollection 2023 Dec.

DOI:10.1016/j.radcr.2023.09.014
PMID:37840892
原文链接:https://pmc.ncbi.nlm.nih.gov/articles/PMC10569986/
Abstract

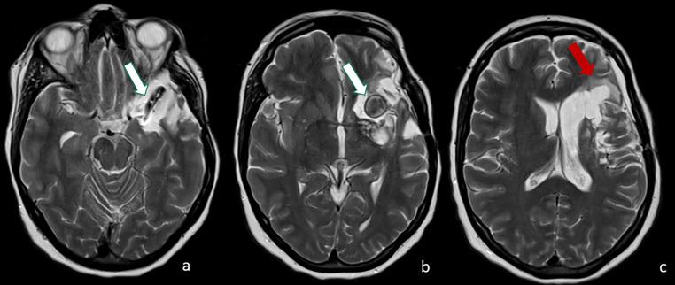
Giant serpentine aneurysms are rare huge and partially thrombosed aneurysms, with an eccentric tortuous intra-aneurysmal vascular channel. Surgical treatment is often necessary due to the great mass effect. We describe a case of a left-handed woman with a giant serpentine aneurysm of the left middle cerebral artery whose management was complex. The challenge was to exclude the aneurysm from circulation, reduce the mass effect, and, mostly, preserve the language function. Since the patient was left-handed the language dominance needed to be assessed; functional MRI (fMRI) and Wada test (WT) showed a right dominance. Surgical treatment was performed, as a complication, the patient developed left fronto-basal ischemia with a slight paresis of the right hand but without any language deficit. Our case shows the importance of a multidisciplinary team in patient management, with a pivotal role of neuroradiological functional tests in presurgical planning.

摘要

巨大蜿蜒状动脉瘤是罕见的巨大且部分血栓形成的动脉瘤,具有偏心迂曲的瘤内血管通道。由于巨大的占位效应,通常需要进行手术治疗。我们描述了一例左手中风的女性患者,患有左大脑中动脉巨大蜿蜒状动脉瘤,其治疗过程复杂。面临的挑战是将动脉瘤排除在循环之外,减轻占位效应,并且最重要的是保留语言功能。由于患者是左利手,需要评估语言优势半球;功能磁共振成像(fMRI)和Wada试验(WT)显示为右侧优势半球。进行了手术治疗,作为并发症,患者出现左额底部缺血,右手轻度无力,但无任何语言缺陷。我们的病例显示了多学科团队在患者管理中的重要性,神经放射学功能测试在术前规划中起着关键作用。

https://cdn.ncbi.nlm.nih.gov/pmc/blobs/9e7b/10569986/19dcb0676f38/gr5.jpg
https://cdn.ncbi.nlm.nih.gov/pmc/blobs/9e7b/10569986/8e08b56ee64e/gr1.jpg
https://cdn.ncbi.nlm.nih.gov/pmc/blobs/9e7b/10569986/ef4e1afd023d/gr2.jpg
https://cdn.ncbi.nlm.nih.gov/pmc/blobs/9e7b/10569986/15aa5eaca136/gr3.jpg
https://cdn.ncbi.nlm.nih.gov/pmc/blobs/9e7b/10569986/9093d4a471f3/gr4.jpg
https://cdn.ncbi.nlm.nih.gov/pmc/blobs/9e7b/10569986/19dcb0676f38/gr5.jpg
https://cdn.ncbi.nlm.nih.gov/pmc/blobs/9e7b/10569986/8e08b56ee64e/gr1.jpg
https://cdn.ncbi.nlm.nih.gov/pmc/blobs/9e7b/10569986/ef4e1afd023d/gr2.jpg
https://cdn.ncbi.nlm.nih.gov/pmc/blobs/9e7b/10569986/15aa5eaca136/gr3.jpg
https://cdn.ncbi.nlm.nih.gov/pmc/blobs/9e7b/10569986/9093d4a471f3/gr4.jpg
https://cdn.ncbi.nlm.nih.gov/pmc/blobs/9e7b/10569986/19dcb0676f38/gr5.jpg

相似文献

1
Giant serpentine aneurysm: Neuroradiological and neurosurgical management in a left-handed patient.巨大蜿蜒状动脉瘤:一名左利手患者的神经放射学与神经外科治疗
Radiol Case Rep. 2023 Oct 4;18(12):4384-4388. doi: 10.1016/j.radcr.2023.09.014. eCollection 2023 Dec.
2
An Alternative Surgical Treatment of Giant Serpentine Aneurysm of the Middle Cerebral Artery: Resection and End-to-End Anastomosis.大脑中动脉巨大梭形动脉瘤的一种替代手术治疗方法:切除和端端吻合。
World Neurosurg. 2022 May;161:152. doi: 10.1016/j.wneu.2022.02.100. Epub 2022 Mar 4.
3
Spontaneous thrombosis in giant intracranial aneurysms.巨大颅内动脉瘤的自发性血栓形成。
J Neurol Neurosurg Psychiatry. 1982 Nov;45(11):1040-7. doi: 10.1136/jnnp.45.11.1040.
4
Functional MR imaging in assessment of language dominance in epileptic patients.功能磁共振成像在评估癫痫患者语言优势半球中的应用
Neuroimage. 2003 Feb;18(2):460-7. doi: 10.1016/s1053-8119(03)00025-9.
5
Giant Serpentine Distal Anterior Cerebral Artery Aneurysm Treated with In Situ Side-to-Side A3-A3 Anastomosis and Aneurysm Resection.原位 A3-A3 吻合及动脉瘤切除治疗巨大蛇形远段大脑前动脉动脉瘤。
World Neurosurg. 2020 Jan;133:21-24. doi: 10.1016/j.wneu.2019.09.052. Epub 2019 Sep 14.
6
Endovascular Treatment of Giant Serpentine Aneurysm of the Middle Cerebral Artery.大脑中动脉巨大蜿蜒状动脉瘤的血管内治疗
J Cerebrovasc Endovasc Neurosurg. 2016 Sep;18(3):264-270. doi: 10.7461/jcen.2016.18.3.264. Epub 2016 Sep 30.
7
Near-Complete Resolution of Clinical and Radiographic Findings After Endovascular Embolization of a Giant Serpentine A1 Aneurysm.巨大蜿蜒状A1段动脉瘤血管内栓塞术后临床及影像学表现近乎完全消退
World Neurosurg. 2016 Feb;86:512.e9-14. doi: 10.1016/j.wneu.2015.09.057. Epub 2015 Sep 30.
8
Giant Serpentine Middle Cerebral Artery Aneurysm.巨大蜿蜒型大脑中动脉动脉瘤
J Craniofac Surg. 2017 Sep;28(6):e515-e517. doi: 10.1097/SCS.0000000000003680.
9
Giant Serpentine Aneurysm of the Middle Cerebral Artery.大脑中动脉巨大蜿蜒状动脉瘤
World Neurosurg. 2018 Sep;117:109-114. doi: 10.1016/j.wneu.2018.05.247. Epub 2018 Jun 8.
10
Intracranial Serpentine Aneurysms: Spontaneous Changes of Angiographic Filling Pattern.颅内蛇形动脉瘤:血管造影充盈模式的自发性变化。
AJNR Am J Neuroradiol. 2018 Sep;39(9):1662-1668. doi: 10.3174/ajnr.A5746. Epub 2018 Aug 23.

引用本文的文献

1
A comprehensive analysis and systematic review of giant serpentine aneurysms.巨大蜿蜒状动脉瘤的综合分析与系统评价
Ann Med Surg (Lond). 2025 Feb 26;87(3):1458-1466. doi: 10.1097/MS9.0000000000003000. eCollection 2025 Mar.

本文引用的文献

1
Impact of Methamphetamine Abuse: A Rare Case of Rapid Cerebral Aneurysm Growth with Review of Literature.甲基苯丙胺滥用的影响:一例罕见的脑动脉瘤快速生长病例并文献复习
Case Rep Neurol Med. 2018 Oct 4;2018:1879329. doi: 10.1155/2018/1879329. eCollection 2018.
2
Giant Serpentine Aneurysm of the Middle Cerebral Artery.大脑中动脉巨大蜿蜒状动脉瘤
World Neurosurg. 2018 Sep;117:109-114. doi: 10.1016/j.wneu.2018.05.247. Epub 2018 Jun 8.
3
Giant Serpentine Middle Cerebral Artery Aneurysm.巨大蜿蜒型大脑中动脉动脉瘤
J Craniofac Surg. 2017 Sep;28(6):e515-e517. doi: 10.1097/SCS.0000000000003680.
4
Study and Therapeutic Progress on Intracranial Serpentine Aneurysms.颅内蜿蜒状动脉瘤的研究与治疗进展
Int J Med Sci. 2016 May 26;13(6):432-9. doi: 10.7150/ijms.14934. eCollection 2016.
5
Intraoperative Functional and Perfusion Monitoring During Surgery for Giant Serpentine Middle Cerebral Artery Aneurysms.巨大蜿蜒型大脑中动脉瘤手术中的术中功能和灌注监测
World Neurosurg. 2015 Aug;84(2):592.e15-21. doi: 10.1016/j.wneu.2015.03.014. Epub 2015 Mar 17.
6
Comparison of language cortex reorganization patterns between cerebral arteriovenous malformations and gliomas: a functional MRI study.脑动静脉畸形与胶质瘤之间语言皮质重组模式的比较:一项功能磁共振成像研究
J Neurosurg. 2015 May;122(5):996-1003. doi: 10.3171/2014.12.JNS14629. Epub 2015 Feb 6.
7
Cocaine and aortic dissection.可卡因与主动脉夹层。
Vasc Med. 2010 Apr;15(2):127-33. doi: 10.1177/1358863X09358749.
8
Giant serpentine aneurysms.巨大蜿蜒状动脉瘤。
Neurosurg Focus. 2009 May;26(5):E5. doi: 10.3171/2009.2.FOCUS0918.
9
Middle cerebral artery dissection gives rise to giant serpentine aneurysm.大脑中动脉夹层可导致巨大蜿蜒状动脉瘤。
Cerebrovasc Dis. 2008;25(3):283-5. doi: 10.1159/000119639. Epub 2008 Mar 7.
10
Lesion-induced pseudo-dominance at functional magnetic resonance imaging: implications for preoperative assessments.功能磁共振成像中病变诱导的假性优势:对术前评估的影响。
Neurosurgery. 2004 Sep;55(3):569-79; discussion 580-1. doi: 10.1227/01.neu.0000134384.94749.b2.