Suppr超能文献

表现为顽固性大疱性类天疱疮皮损的皮肤巨细胞病毒感染

Cutaneous Cytomegalovirus Infection Presenting As Recalcitrant Bullous Pemphigoid Lesion.

作者信息

Baek Gayun, Koo Taehan, Kim Min-Soo, Jue Mihn-Sook

机构信息

Department of Dermatology, Veterans Health Service Medical Center, Seoul, Korea.

出版信息

Ann Dermatol. 2023 May;35(Suppl 1):S97-S99. doi: 10.5021/ad.21.016.

Abstract

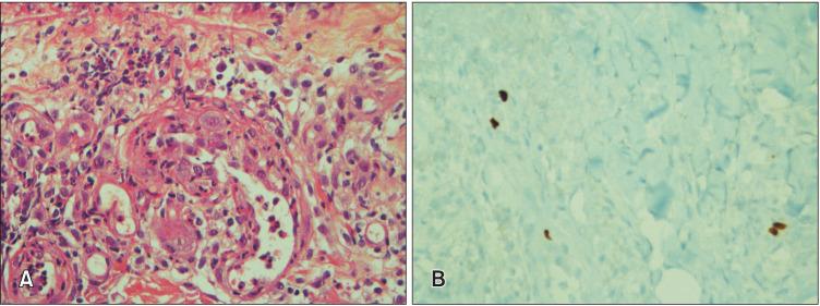
Cytomegalovirus (CMV) infection is common among immunocompromised hosts; however, its cutaneous manifestation is considered rare in comparison to internal organ involvement. Clinical manifestations of cutaneous CMV infection generally include perioral or perianal ulcerations. On the other hand, autoimmune bullous dermatosis can have bullae and ulcerations similar to those caused by cutaneous CMV infection. Autoimmune bullous dermatosis requires treatment with immunosuppressive agents for relatively long periods, which may cause reduction of immunocompetence. Because of this iatrogenic immunosuppression, patients with autoimmune bullous dermatosis subsequently acquire increased risk for opportunistic infections. However, cases of bullous pemphigoid (BP) complicated by cutaneous CMV infection are rarely reported. Herein, we report the case of an 88-year-old male who had BP and subsequently recalcitrant perianal skin lesions, which were eventually diagnosed as cutaneous CMV infections.

摘要

巨细胞病毒(CMV)感染在免疫功能低下的宿主中很常见;然而,与累及内脏器官相比,其皮肤表现被认为较为罕见。皮肤CMV感染的临床表现通常包括口周或肛周溃疡。另一方面,自身免疫性大疱性皮肤病可出现与皮肤CMV感染所致类似的水疱和溃疡。自身免疫性大疱性皮肤病需要使用免疫抑制剂进行较长时间的治疗,这可能会导致免疫功能下降。由于这种医源性免疫抑制,自身免疫性大疱性皮肤病患者随后发生机会性感染的风险增加。然而,大疱性类天疱疮(BP)并发皮肤CMV感染的病例鲜有报道。在此,我们报告一例88岁男性患者,该患者患有BP,随后出现顽固性肛周皮肤病变,最终被诊断为皮肤CMV感染。

https://cdn.ncbi.nlm.nih.gov/pmc/blobs/205d/10608396/53be4d7b2077/ad-35-S97-g001.jpg

相似文献

1
Cutaneous Cytomegalovirus Infection Presenting As Recalcitrant Bullous Pemphigoid Lesion.
Ann Dermatol. 2023 May;35(Suppl 1):S97-S99. doi: 10.5021/ad.21.016.
2
Bullous Pemphigoid Masquerading as Erythema Annulare Centrifugum.
Acta Dermatovenerol Croat. 2017 Oct;25(3):255-256.
3
Cytomegalovirus Cutaneous Infection in an Immunocompromised Patient.
Cureus. 2016 May 3;8(5):e598. doi: 10.7759/cureus.598.
6
Bullous pemphigoid-like rash revealing hypereosinophilic syndrome.
BMJ Case Rep. 2021 Jun 8;14(6):e242695. doi: 10.1136/bcr-2021-242695.
7
Checkpoint inhibitor-associated bullous cutaneous immune-related adverse events: a multicentre observational study.
Br J Dermatol. 2022 Dec;187(6):981-987. doi: 10.1111/bjd.21836. Epub 2022 Sep 6.
8
A Case of Severe Bullous Dermatitis With Mixed Bullous Pemphigoid and Pemphigus Vulgaris Cutaneous Manifestations.
Cureus. 2021 Dec 15;13(12):e20433. doi: 10.7759/cureus.20433. eCollection 2021 Dec.
10
Kaposi Sarcoma Associated With Iatrogenic Immunosuppression: A Rare Complication of Bullous Pemphigoid Treatment.
J Cutan Med Surg. 2017 Sep/Oct;21(5):449-451. doi: 10.1177/1203475417712247. Epub 2017 Jun 5.

本文引用的文献

2
Cytomegalovirus oral ulcers in a patient with bullous pemphigoid.
Clin Exp Dermatol. 2016 Aug;41(6):685-7. doi: 10.1111/ced.12862. Epub 2016 Jun 23.
3
Autoimmune bullous diseases the spectrum of infectious agent antibodies and review of the literature.
Autoimmun Rev. 2011 Jul;10(9):527-35. doi: 10.1016/j.autrev.2011.04.003. Epub 2011 Apr 16.
4
Occult herpes simplex virus colonization of bullous dermatitides.
Am J Clin Dermatol. 2008;9(3):163-8. doi: 10.2165/00128071-200809030-00004.
7
Mycophenolate mofetil increases cytomegalovirus invasive organ disease in renal transplant patients.
Clin Transplant. 2000 Apr;14(2):136-8. doi: 10.1034/j.1399-0012.2000.140206.x.
8
Mycophenolate mofetil.
Lancet. 1996 Nov 16;348(9038):1357-9. doi: 10.1016/S0140-6736(96)10310-X.

文献AI研究员

20分钟写一篇综述,助力文献阅读效率提升50倍。

立即体验

用中文搜PubMed

大模型驱动的PubMed中文搜索引擎

马上搜索

文档翻译

学术文献翻译模型,支持多种主流文档格式。

立即体验