Suppr超能文献

原发性大网膜异位妊娠:一例罕见病例报告

Primary omental ectopic pregnancy: A rare case report.

作者信息

Budha Bishal, Jha Kritika, Poudel Dhiraj, Pokharel Saroj, Aryal Suraj, Bajracharya Satish, Joshi Bishweshwar, Ghimire Asmita

机构信息

Maharajgunj Medical Campus, Institute of Medicine Tribhuvan University Maharajgunj Nepal.

Department of Obstetrics and Gynaecology, Maharajgunj Medical Campus Tribhuvan University Maharajgunj Nepal.

出版信息

Clin Case Rep. 2023 Oct 17;11(10):e8063. doi: 10.1002/ccr3.8063. eCollection 2023 Oct.

Abstract

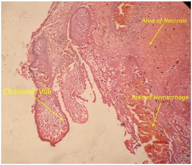
Primary abdominal pregnancy is the rarest form of ectopic pregnancy in which the fertilized ovum is directly implanted into peritoneal cavity. This condition poses significantly high risk of maternal morbidity and mortality. Here, we present a case of 5 weeks of primary omental pregnancy managed by laparotomy.

摘要

原发性腹腔妊娠是最罕见的异位妊娠形式,受精卵直接植入腹膜腔。这种情况会带来显著较高的孕产妇发病和死亡风险。在此,我们报告一例通过剖腹手术处理的5周原发性网膜妊娠病例。

https://cdn.ncbi.nlm.nih.gov/pmc/blobs/5521/10580687/7ce076255fd6/CCR3-11-e8063-g004.jpg

文献AI研究员

20分钟写一篇综述,助力文献阅读效率提升50倍。

立即体验

用中文搜PubMed

大模型驱动的PubMed中文搜索引擎

马上搜索

文档翻译

学术文献翻译模型,支持多种主流文档格式。

立即体验