• 文献检索
  • 文档翻译
  • 深度研究
  • 学术资讯
  • Suppr Zotero 插件Zotero 插件
  • 邀请有礼
  • 套餐&价格
  • 历史记录
应用&插件
Suppr Zotero 插件Zotero 插件浏览器插件Mac 客户端Windows 客户端微信小程序
定价
高级版会员购买积分包购买API积分包
服务
文献检索文档翻译深度研究API 文档MCP 服务
关于我们
关于 Suppr公司介绍联系我们用户协议隐私条款
关注我们

Suppr 超能文献

核心技术专利:CN118964589B侵权必究
粤ICP备2023148730 号-1Suppr @ 2026

文献检索

告别复杂PubMed语法,用中文像聊天一样搜索,搜遍4000万医学文献。AI智能推荐,让科研检索更轻松。

立即免费搜索

文件翻译

保留排版,准确专业,支持PDF/Word/PPT等文件格式,支持 12+语言互译。

免费翻译文档

深度研究

AI帮你快速写综述,25分钟生成高质量综述,智能提取关键信息,辅助科研写作。

立即免费体验

表现为肾绞痛的高级别阑尾黏液性肿瘤:一例病例报告并文献复习

High-grade appendiceal mucinous neoplasm presenting as renal colic; a case report and review of literature.

作者信息

Amir Baraa, Amir Amaar, Sheikh Salwa

机构信息

Imam Abdulrahman Bin Faisal University, Dammam 31441, Saudi Arabia.

Pathology Services, John Hopkins Aramco Healthcare, Dhahran 34455, Saudi Arabia.

出版信息

J Surg Case Rep. 2023 Oct 17;2023(10):rjad567. doi: 10.1093/jscr/rjad567. eCollection 2023 Oct.

DOI:10.1093/jscr/rjad567
PMID:37854517
原文链接:https://pmc.ncbi.nlm.nih.gov/articles/PMC10581701/
Abstract

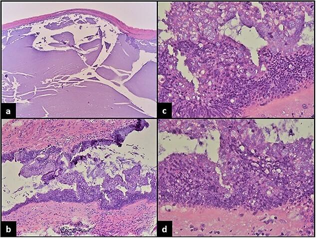
High-grade appendiceal mucinous neoplasms (HAMN) are rare mucinous appendiceal tumors that are mostly incidentally discovered and histologically show marked cytoplasmic atypia. We report a 62-year-old female patient who was diagnosed with acute right flank pain mimicking renal colic. Abdominal and pelvis CT scans showed no calculi or hydronephrosis. Incidentally, a markedly distended retrocecal appendix was identified and an appendectomy was performed. Histopathology revealed an HAMN of size 5.8 cm. HAMN are one of the rare and somewhat recently described epithelial appendiceal tumors. The latest 2019 classification is based on histologic appearance and on the consensus for classification and pathologic reporting of and associated appendiceal neoplasia (Peritoneal Surface Pathology Group International, modified Delphi process). Histologically, appendiceal mucinous lesions are classified as nonneoplastic/mucocele and neoplastic lesions with separate subcategorization. Despite its rarity, it is crucial for clinicians to be aware of HAMN to distinguish it from other clinical differentials.

摘要

高级别阑尾黏液性肿瘤(HAMN)是罕见的阑尾黏液性肿瘤,大多为偶然发现,组织学上表现为明显的细胞质异型性。我们报告一例62岁女性患者,诊断为酷似肾绞痛的急性右下腹疼痛。腹部和盆腔CT扫描未显示结石或肾积水。偶然发现一个明显扩张的盲肠后阑尾,并进行了阑尾切除术。组织病理学显示为大小5.8厘米的HAMN。HAMN是罕见且近期才有所描述的阑尾上皮性肿瘤之一。最新的2019年分类基于组织学表现以及国际腹膜表面病理组织(Peritoneal Surface Pathology Group International)对阑尾肿瘤及相关阑尾肿瘤的分类和病理报告的共识(改良德尔菲法)。组织学上,阑尾黏液性病变分为非肿瘤性/黏液囊肿和肿瘤性病变,并进一步细分。尽管HAMN罕见,但临床医生了解它以将其与其他临床鉴别诊断区分开来至关重要。

https://cdn.ncbi.nlm.nih.gov/pmc/blobs/b048/10581701/c5bb9b093571/rjad567f2.jpg
https://cdn.ncbi.nlm.nih.gov/pmc/blobs/b048/10581701/c632074bc294/rjad567f1.jpg
https://cdn.ncbi.nlm.nih.gov/pmc/blobs/b048/10581701/c5bb9b093571/rjad567f2.jpg
https://cdn.ncbi.nlm.nih.gov/pmc/blobs/b048/10581701/c632074bc294/rjad567f1.jpg
https://cdn.ncbi.nlm.nih.gov/pmc/blobs/b048/10581701/c5bb9b093571/rjad567f2.jpg

相似文献

1
High-grade appendiceal mucinous neoplasm presenting as renal colic; a case report and review of literature.表现为肾绞痛的高级别阑尾黏液性肿瘤:一例病例报告并文献复习
J Surg Case Rep. 2023 Oct 17;2023(10):rjad567. doi: 10.1093/jscr/rjad567. eCollection 2023 Oct.
2
Mucinous appendiceal neoplasms: Report of a case and brief literature review.黏液性阑尾肿瘤:1例报告及文献简要综述
Int J Surg Case Rep. 2024 Jun;119:109716. doi: 10.1016/j.ijscr.2024.109716. Epub 2024 Apr 28.
3
A Consensus for Classification and Pathologic Reporting of Pseudomyxoma Peritonei and Associated Appendiceal Neoplasia: The Results of the Peritoneal Surface Oncology Group International (PSOGI) Modified Delphi Process.腹膜假黏液瘤及相关阑尾肿瘤的分类与病理报告共识:国际腹膜表面肿瘤学组(PSOGI)改良德尔菲法的结果
Am J Surg Pathol. 2016 Jan;40(1):14-26. doi: 10.1097/PAS.0000000000000535.
4
Appendiceal Mucinous Neoplasm: A Case of an Incidental Finding.阑尾黏液性肿瘤:一例偶然发现的病例。
Cureus. 2024 May 2;16(5):e59540. doi: 10.7759/cureus.59540. eCollection 2024 May.
5
[A Case of High-Grade Appendiceal Mucinous Neoplasm].[一例高级别阑尾黏液性肿瘤]
Gan To Kagaku Ryoho. 2022 Dec;49(12):1369-1371.
6
The coexistence of low-grade mucinous neoplasms of the appendix and appendiceal diverticula: a possible role in the pathogenesis of pseudomyxoma peritonei.阑尾低度黏液性肿瘤与阑尾憩室并存:在腹膜假黏液瘤发病机制中的可能作用
Mod Pathol. 2000 May;13(5):495-501. doi: 10.1038/modpathol.3880086.
7
Review: Pathology and Its Clinical Relevance of Mucinous Appendiceal Neoplasms and Pseudomyxoma Peritonei.综述:黏液性阑尾肿瘤和腹膜假黏液瘤的病理学及其临床相关性。
Clin Colorectal Cancer. 2019 Mar;18(1):1-7. doi: 10.1016/j.clcc.2018.11.007. Epub 2018 Dec 6.
8
Mutation profile of high-grade appendiceal mucinous neoplasm.高级阑尾黏液性肿瘤的突变特征。
Histopathology. 2020 Feb;76(3):461-469. doi: 10.1111/his.13986. Epub 2019 Dec 23.
9
Low-grade appendiceal mucinous neoplasm and endometriosis of the appendix.低级别阑尾黏液性肿瘤和阑尾子宫内膜异位症。
World J Surg Oncol. 2017 Dec 19;15(1):226. doi: 10.1186/s12957-017-1294-1.
10
High-grade appendiceal mucinous neoplasm presenting as a giant appendiceal mucocele.表现为巨大阑尾黏液囊肿的高级别阑尾黏液性肿瘤。
Radiol Case Rep. 2021 Feb 24;16(5):1051-1056. doi: 10.1016/j.radcr.2021.02.014. eCollection 2021 May.

引用本文的文献

1
Insights into the Clinical Prognosis of High-grade Appendiceal Mucinous Neoplasms.高级别阑尾黏液性肿瘤的临床预后洞察
Am J Surg Pathol. 2025 May 1;49(5):499-507. doi: 10.1097/PAS.0000000000002373. Epub 2025 Feb 20.
2
Pseudomyxoma peritonei of appendiceal mucinous neoplasm origin: A case report and review of literature.阑尾黏液性肿瘤起源的腹膜假黏液瘤:一例报告并文献复习
Radiol Case Rep. 2024 Sep 28;19(12):6565-6573. doi: 10.1016/j.radcr.2024.08.158. eCollection 2024 Dec.

本文引用的文献

1
Mutation profile of high-grade appendiceal mucinous neoplasm.高级阑尾黏液性肿瘤的突变特征。
Histopathology. 2020 Feb;76(3):461-469. doi: 10.1111/his.13986. Epub 2019 Dec 23.
2
The Eighth Edition AJCC Cancer Staging Manual: Continuing to build a bridge from a population-based to a more "personalized" approach to cancer staging.第八版 AJCC 癌症分期手册:继续从基于人群的方法向更“个体化”的癌症分期方法构建桥梁。
CA Cancer J Clin. 2017 Mar;67(2):93-99. doi: 10.3322/caac.21388. Epub 2017 Jan 17.
3
A Consensus for Classification and Pathologic Reporting of Pseudomyxoma Peritonei and Associated Appendiceal Neoplasia: The Results of the Peritoneal Surface Oncology Group International (PSOGI) Modified Delphi Process.
腹膜假黏液瘤及相关阑尾肿瘤的分类与病理报告共识:国际腹膜表面肿瘤学组(PSOGI)改良德尔菲法的结果
Am J Surg Pathol. 2016 Jan;40(1):14-26. doi: 10.1097/PAS.0000000000000535.
4
Frequent GNAS mutations in low-grade appendiceal mucinous neoplasms.低级别阑尾黏液性肿瘤中频繁的 GNAS 突变。
Br J Cancer. 2013 Mar 5;108(4):951-8. doi: 10.1038/bjc.2013.47. Epub 2013 Feb 12.
5
Appendiceal mucinous neoplasms: clinicopathologic study of 116 cases with analysis of factors predicting recurrence.阑尾黏液性肿瘤:116 例临床病理研究并分析复发相关因素。
Am J Surg Pathol. 2009 Oct;33(10):1425-39. doi: 10.1097/PAS.0b013e3181af6067.
6
Appendiceal mucinous neoplasms: a clinicopathologic analysis of 107 cases.阑尾黏液性肿瘤:107例临床病理分析
Am J Surg Pathol. 2003 Aug;27(8):1089-103. doi: 10.1097/00000478-200308000-00006.
7
Molecular genetic evidence supporting the clonality and appendiceal origin of Pseudomyxoma peritonei in women.支持女性腹膜假黏液瘤克隆性及阑尾起源的分子遗传学证据。
Am J Pathol. 1999 Jun;154(6):1849-55. doi: 10.1016/S0002-9440(10)65442-9.