Wang Pengcheng, Ren Dunqiang, Guo Caihong, Ding Xiaoqian, Cao Yiwei, Zhao Peige, Wang Qiang, Xu Wenjuan
Department of Respiratory and Critical Care Medicine, Affiliated Hospital of Qingdao University, Qingdao, Shandong 266000, P.R. China.
Oncol Lett. 2023 Sep 28;26(5):490. doi: 10.3892/ol.2023.14077. eCollection 2023 Nov.
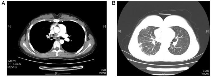
Pulmonary embolism (PE) caused by malignant tumor is not uncommon, but pulmonary artery with choriocarcinoma is rare and difficult to timely diagnose and effectively treat. To the best of our knowledge, there are only 15 cases reported at present in the literature that present variable clinical characteristics and prognosis. In the current study reports a 21-year-old female with a history of chest pain and slight fever for 4 months who was treated as a case of pneumonia. Owing to the recurrence of the symptoms, a contrast-enhanced chest computer tomography scan was performed on the patient, which revealed complete occlusion of the right pulmonary artery. The patient was diagnosed to have pulmonary embolism (PE). However, no abnormalities were observed in D-dimer value, tumor antigen testing or ultrasonography. Positron emission tomography/computed tomography (PET/CT) was performed, which revealed the abnormal hypermetabolic lesion of the right pulmonary artery. Following the laboratory report of a significantly elevated human chorionic gonadotropin β-subunit level combined with characteristic appearance of PET-CT, the diagnosis of primary pulmonary artery with choriocarcinoma was established based on guidelines of the European Society for Medical Oncology and the criteria formulated by the International Federation of Gynecology and Obstetrics. The patient underwent chemotherapy and responded well to the treatment. Although rare, choriocarcinoma should be considered for any fertile women who presents with a massive PE. These findings emphasize the importance of the early diagnosis and treatment of this disease.
恶性肿瘤所致肺栓塞(PE)并不少见,但绒毛膜癌累及肺动脉者罕见,且难以及时诊断和有效治疗。据我们所知,目前文献中仅报道了15例,其临床特征和预后各异。在本研究中,报告了一名21岁女性,有胸痛和低热4个月病史,最初按肺炎治疗。因症状复发,对该患者进行了胸部增强计算机断层扫描,结果显示右肺动脉完全闭塞。患者被诊断为肺栓塞(PE)。然而,D - 二聚体值、肿瘤抗原检测或超声检查均未发现异常。进行了正电子发射断层扫描/计算机断层扫描(PET/CT),显示右肺动脉有异常高代谢病变。结合实验室报告显示人绒毛膜促性腺激素β亚单位水平显著升高以及PET - CT的特征性表现,根据欧洲医学肿瘤学会指南和国际妇产科联合会制定的标准,确诊为原发性肺动脉绒毛膜癌。该患者接受了化疗,治疗反应良好。尽管罕见,但对于任何出现大面积肺栓塞的育龄女性都应考虑绒毛膜癌的可能。这些发现强调了该病早期诊断和治疗的重要性。