Suppr超能文献

一种基于肿瘤微环境相关基因表达的乳腺癌患者预后数学模型。

A prognostic mathematical model based on tumor microenvironment-related genes expression for breast cancer patients.

作者信息

Chen Hong, Wang Shan, Zhang Yuting, Gao Xue, Guan Yufu, Wu Nan, Wang Xinyi, Zhou Tianyang, Zhang Ying, Cui Di, Wang Mijia, Zhang Dianlong, Wang Jia

机构信息

Department of Breast Surgery, Second Affiliated Hospital of Dalian Medical University, Dalian, China.

Department of Pathology, The First Affiliated Hospital of Dalian Medical University, Dalian, China.

出版信息

Front Oncol. 2023 Oct 4;13:1209707. doi: 10.3389/fonc.2023.1209707. eCollection 2023.

Abstract

BACKGROUND

Tumor microenvironment (TME) status is closely related to breast cancer (BC) prognosis and systemic therapeutic effects. However, to date studies have not considered the interactions of immune and stromal cells at the gene expression level in BC as a whole. Herein, we constructed a predictive model, for adjuvant decision-making, by mining TME molecular expression information related to BC patient prognosis and drug treatment sensitivity.

METHODS

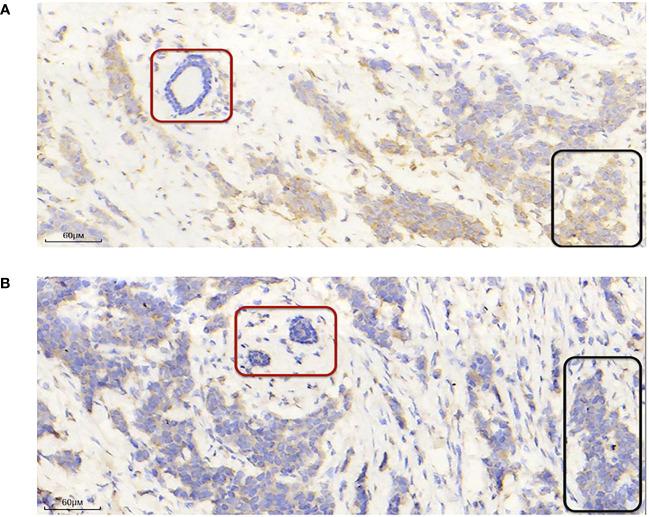
Clinical information and gene expression profiles were extracted from The Cancer Genome Atlas (TCGA), with patients divided into high- and low-score groups according to immune/stromal scores. TME-related prognostic genes were identified using Kaplan-Meier analysis, functional enrichment analysis, and protein-protein interaction (PPI) networks, and validated in the Gene Expression Omnibus (GEO) database. Least absolute shrinkage and selection operator (LASSO) Cox regression analysis was used to construct and verify a prognostic model based on TME-related genes. In addition, the patients' response to chemotherapy and immunotherapy was assessed by survival outcome and immunohistochemistry (IPS). Immunohistochemistry (IHC) staining laid a solid foundation for exploring the value of novel therapeutic target genes.

RESULTS

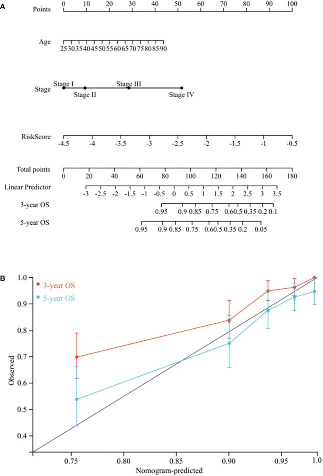
By dividing patients into low- and high-risk groups, a significant distinction in overall survival was found (p < 0.05). The risk model was independent of multiple clinicopathological parameters and accurately predicted prognosis in BC patients (p < 0.05). The nomogram-integrated risk score had high prediction accuracy and applicability, when compared with simple clinicopathological features. As predicted by the risk model, regardless of the chemotherapy regimen, the survival advantage of the low-risk group was evident in those patients receiving chemotherapy (p < 0.05). However, in patients receiving anthracycline (A) therapy, outcomes were not significantly different when compared with those receiving no-A therapy (p = 0.24), suggesting these patients may omit from A-containing adjuvant chemotherapy. Our risk model also effectively predicted tumor mutation burden (TMB) and immunotherapy efficacy in BC patients (p < 0.05).

CONCLUSION

The prognostic score model based on TME-related genes effectively predicted prognosis and chemotherapy effects in BC patients. The model provides a theoretical basis for novel driver-gene discover in BC and guides the decision-making for the adjuvant treatment of early breast cancer (eBC).

摘要

背景

肿瘤微环境(TME)状态与乳腺癌(BC)的预后及全身治疗效果密切相关。然而,迄今为止,尚未有研究从整体上考虑BC中免疫细胞和基质细胞在基因表达水平上的相互作用。在此,我们通过挖掘与BC患者预后和药物治疗敏感性相关的TME分子表达信息,构建了一个用于辅助决策的预测模型。

方法

从癌症基因组图谱(TCGA)中提取临床信息和基因表达谱,根据免疫/基质评分将患者分为高分和低分两组。使用Kaplan-Meier分析、功能富集分析和蛋白质-蛋白质相互作用(PPI)网络鉴定TME相关的预后基因,并在基因表达综合数据库(GEO)中进行验证。采用最小绝对收缩和选择算子(LASSO)Cox回归分析构建并验证基于TME相关基因的预后模型。此外,通过生存结果和免疫组化(IPS)评估患者对化疗和免疫治疗的反应。免疫组化(IHC)染色为探索新型治疗靶点基因的价值奠定了坚实基础。

结果

通过将患者分为低风险和高风险组,发现总生存期存在显著差异(p < 0.05)。风险模型独立于多个临床病理参数,能够准确预测BC患者的预后(p < 0.05)。与简单的临床病理特征相比,列线图整合风险评分具有较高的预测准确性和适用性。如风险模型所预测,无论化疗方案如何,低风险组患者接受化疗时的生存优势明显(p < 0.05)。然而,在接受蒽环类药物(A)治疗的患者中,与未接受A治疗的患者相比,结果无显著差异(p = 0.24),这表明这些患者可能可省略含A的辅助化疗。我们的风险模型还能有效预测BC患者的肿瘤突变负荷(TMB)和免疫治疗疗效(p < 0.05)。

结论

基于TME相关基因的预后评分模型能有效预测BC患者的预后和化疗效果。该模型为BC中新型驱动基因的发现提供了理论依据,并指导早期乳腺癌(eBC)辅助治疗的决策。

https://cdn.ncbi.nlm.nih.gov/pmc/blobs/e627/10583559/a4d6bd101df8/fonc-13-1209707-g001.jpg

文献检索

告别复杂PubMed语法,用中文像聊天一样搜索,搜遍4000万医学文献。AI智能推荐,让科研检索更轻松。

立即免费搜索

文件翻译

保留排版,准确专业,支持PDF/Word/PPT等文件格式,支持 12+语言互译。

免费翻译文档

深度研究

AI帮你快速写综述,25分钟生成高质量综述,智能提取关键信息,辅助科研写作。

立即免费体验