Suppr超能文献

剖宫产瘢痕妊娠的成功非手术治疗

Successful Non-surgical Management of Cesarean Scar Pregnancy.

作者信息

Joshi Arushi, Pillai Sheila K, Vishwanath Usha

机构信息

Medical School, Sri Ramachandra Institute of Higher Education and Research, Chennai, IND.

Department of Obstetrics and Gynaecology, Sri Ramachandra Institute of Higher Education and Research, Chennai, IND.

出版信息

Cureus. 2023 Sep 22;15(9):e45763. doi: 10.7759/cureus.45763. eCollection 2023 Sep.

Abstract

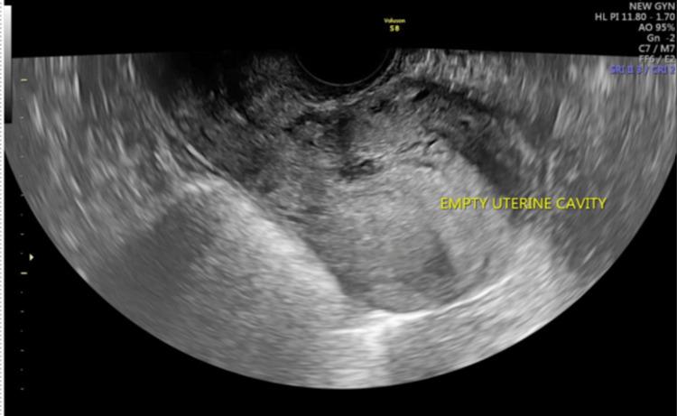
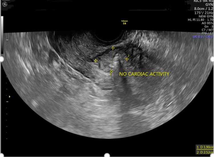
Ectopic pregnancy in the scar of a previous cesarean section contributes to significant maternal morbidity in the first trimester due to a significantly higher risk of uterine rupture if left undetected. The routine scans done in the first trimester serve as an important screening tool in the detection of such an ectopic pregnancy. Early detection can aid in making a paradigm shift from a surgical to a more conservative approach for the management of such pregnancies. Here, we report a case of a cesarean scar pregnancy diagnosed in the sixth week of gestation which was managed non-surgically with methotrexate and intracardiac potassium chloride injection.

摘要

既往剖宫产瘢痕处的异位妊娠,若未被发现,由于子宫破裂风险显著更高,会在孕早期导致严重的孕产妇发病。孕早期进行的常规扫描是检测此类异位妊娠的重要筛查工具。早期发现有助于将此类妊娠的管理模式从手术治疗转变为更保守的方法。在此,我们报告一例在妊娠六周时诊断出的剖宫产瘢痕妊娠,该病例通过甲氨蝶呤和心内注射氯化钾进行了非手术治疗。

https://cdn.ncbi.nlm.nih.gov/pmc/blobs/981c/10590534/3b386f596848/cureus-0015-00000045763-i01.jpg

文献AI研究员

20分钟写一篇综述,助力文献阅读效率提升50倍。

立即体验

用中文搜PubMed

大模型驱动的PubMed中文搜索引擎

马上搜索

文档翻译

学术文献翻译模型,支持多种主流文档格式。

立即体验