Suppr超能文献

胞质和线粒体过氧化物还原酶的过度氧化和寡聚化

Overoxidation and Oligomerization of Cytosolic and Mitochondrial Peroxiredoxins.

作者信息

Piñeyro María Dolores, Chiribao María Laura, Arias Diego G, Robello Carlos, Parodi-Talice Adriana

机构信息

Laboratorio de Interacciones Hospedero Patógeno, Unidad de Biología Molecular, Institut Pasteur de Montevideo, Montevideo 11400, Uruguay.

Departamento de Bioquímica, Facultad de Medicina, Universidad de la República, Montevideo 11800, Uruguay.

出版信息

Pathogens. 2023 Oct 23;12(10):1273. doi: 10.3390/pathogens12101273.

Abstract

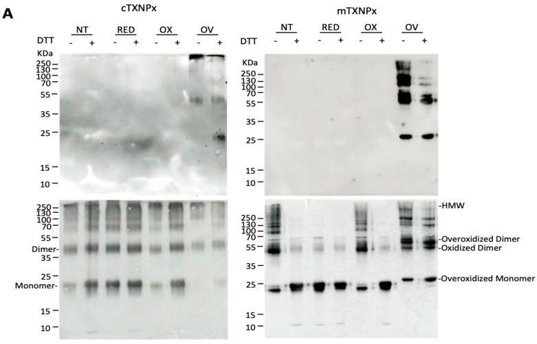
Peroxiredoxins (Prxs) have been shown to be important enzymes for trypanosomatids, counteracting oxidative stress and promoting cell infection and intracellular survival. In this work, we investigate the in vitro sensitivity to overoxidation and the overoxidation dynamics of Prxs in parasites in culture and in the infection context. We showed that recombinant m-TXNPx, in contrast to what was observed for c-TXNPx, exists as low molecular mass forms in the overoxidized state. We observed that Prxs were overoxidized in epimastigotes treated with oxidants, and a significant proportion of the overoxidized forms were still present at least 24 h after treatment suggesting that these forms are not actively reversed. In in vitro infection experiments, we observed that Prxs are overoxidized in amastigotes residing in infected macrophages, demonstrating that inactivation of at least part of the Prxs by overoxidation occurs in a physiological context. We have shown that m-TXNPx has a redox-state-dependent chaperone activity. This function may be related to the increased thermotolerance observed in m-TXNPx-overexpressing parasites. This study suggests that despite the similarity between protozoan and mammalian Prxs, Prxs have different oligomerization dynamics and sensitivities to overoxidation, which may have implications for their function in the parasite life cycle and infection process.

摘要

过氧化物酶(Prxs)已被证明是锥虫的重要酶类,可对抗氧化应激并促进细胞感染和细胞内存活。在本研究中,我们调查了培养的寄生虫和感染环境中Prxs的体外过氧化敏感性及过氧化动力学。我们发现,与c-TXNPx的情况不同,重组m-TXNPx在过氧化状态下以低分子量形式存在。我们观察到,在用氧化剂处理的前鞭毛体中Prxs发生了过氧化,并且在处理后至少24小时仍有相当比例的过氧化形式存在,这表明这些形式不会被主动逆转。在体外感染实验中,我们观察到存在于被感染巨噬细胞中的无鞭毛体中的Prxs发生了过氧化,这表明至少部分Prxs通过过氧化失活发生在生理环境中。我们已经表明m-TXNPx具有依赖氧化还原状态的伴侣活性。该功能可能与在过表达m-TXNPx的寄生虫中观察到的耐热性增加有关。这项研究表明,尽管原生动物和哺乳动物的Prxs之间存在相似性,但Prxs具有不同的寡聚动力学和对过氧化的敏感性,这可能对它们在寄生虫生命周期和感染过程中的功能产生影响。

https://cdn.ncbi.nlm.nih.gov/pmc/blobs/bb03/10610341/3843709e33a5/pathogens-12-01273-g001a.jpg

文献AI研究员

20分钟写一篇综述,助力文献阅读效率提升50倍。

立即体验

用中文搜PubMed

大模型驱动的PubMed中文搜索引擎

马上搜索

文档翻译

学术文献翻译模型,支持多种主流文档格式。

立即体验