Suppr超能文献

使用乙烯-乙烯醇共聚物(EVOH)进行前列腺栓塞期间的非靶向栓塞事件。

Non-target embolic events during prostatic embolization with ethylene vinyl alcohol copolymer (EVOH).

作者信息

Sédat Jacques, Arnoffi Paolo, Poirier Florent, Jamjoom Modhar, Raffaelli Charles, Colomb Frederic, Chau Yves

机构信息

Service de NeuroInterventionnel, CHU de Nice Hôpital, Pasteur 2, 30 Voie Romaine, Nice, France.

Hôpital de Grasse. Chemin de Clavary, Service d'urologie, 06130, Grasse, France.

出版信息

CVIR Endovasc. 2023 Nov 3;6(1):54. doi: 10.1186/s42155-023-00402-w.

Abstract

BACKGROUND

This study evaluated nontarget embolization (NTE) during prostatic artery embolization (PAE) with ethylene vinyl alcohol copolymer (EVOH).

RESULTS

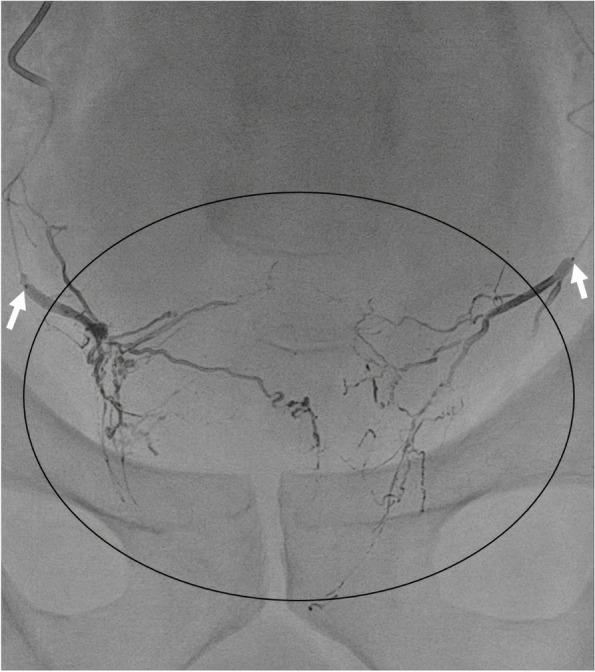
Ten consecutive patients treated by PAE with EVOH for the presence of disabling benign prostatic hyperplasia (BPH)-related lower urinary tract symptoms (LUTS) between June 22 and January 2023 were included in this prospective study. The inclusion criteria were as follows: LUTS attributed to BPH, LUTS duration ≥ 6 months, failure to respond to standard pharmacotherapy, IPSS > 18 or QoL score > 2, and prostate volume > 40 mL. Embolization was performed under general anaesthesia. According to established techniques, a microcatheter was positioned bilaterally within the feeding arteries, and EVOH was injected slowly under X-ray control. Unenhanced pelvic computed tomography scans were carried out before and after embolization to assess the NTE. The safety of the prostatic embolization procedure with EVOH was assessed by collecting adverse effects over 3 months of evaluation that included the International Prostate Symptom Score (IPSS) and quality of life (QoL) score.-up evaluations, occurring at 3, 6, and 12months, included International Prostate Symptom Score. Bilateral PAE was technically successful in 9 patients, and unilateral injection was performed in one patient. The postoperative scanner showed a distribution of the embolization material in the two lobes of the prostate in all patients. The procedure time varied from 120 to 150 (mean: 132) minutes. Eight out of 10 patients developed pollakiuria within 24 h; none of the patients had postoperative pain. Two patients required catheterization for postoperative urinary retention. Catheters were removed successfully at the end of the first day for one of these patients and on the tenth day for the other. At the 3-month follow-up, patients showed significant improvement in the International Prostate Symptom Score (n = 10; mean = -11,5; P < 0.01) and quality of life score (n = 10; mean = -3,40; P < 0.01). Only one patient presented one asymptomatic muscular NTE.

CONCLUSIONS

PAE with EVOH is safe, effective, and associated with few NTEs and no postoperative pain. Prospective comparative studies with longer follow-ups are warranted.

TRIAL REGISTRATION

IDRCB, 2021-AO29-56-35. Registered 27 May 2022, http://clinicaltrials.gov/study/NCT05395299?cond=embolization&term&rank=1 .

摘要

背景

本研究评估了在使用乙烯-乙烯醇共聚物(EVOH)进行前列腺动脉栓塞术(PAE)期间的非靶栓塞(NTE)情况。

结果

本前瞻性研究纳入了2022年6月22日至2023年1月期间连续10例因重度良性前列腺增生(BPH)相关下尿路症状(LUTS)接受EVOH-PAE治疗的患者。纳入标准如下:LUTS由BPH引起,LUTS持续时间≥6个月,对标准药物治疗无反应,国际前列腺症状评分(IPSS)>18或生活质量(QoL)评分>2,且前列腺体积>40 mL。栓塞术在全身麻醉下进行。根据既定技术,将微导管双侧置于供血动脉内,并在X线控制下缓慢注入EVOH。栓塞前后均进行盆腔非增强计算机断层扫描以评估NTE。通过收集3个月评估期内的不良反应来评估EVOH前列腺栓塞术的安全性,这些不良反应包括国际前列腺症状评分和生活质量评分。3、6和12个月时的随访评估包括国际前列腺症状评分。9例患者双侧PAE技术成功,1例患者进行了单侧注射。术后扫描显示所有患者的栓塞材料均分布于前列腺的两个叶。手术时间为120至150(平均:132)分钟。10例患者中有8例在24小时内出现尿频;所有患者均无术后疼痛。2例患者因术后尿潴留需要导尿。其中1例患者在第一天结束时成功拔除导尿管,另1例在第十天成功拔除。在3个月的随访中,患者的国际前列腺症状评分(n = 10;平均=-11.5;P < 0.01)和生活质量评分(n = 10;平均=-3.40;P < 0.01)均有显著改善。仅1例患者出现1例无症状的肌肉NTE。

结论

EVOH-PAE安全、有效,非靶栓塞少且无术后疼痛。有必要进行更长随访期的前瞻性对照研究。

试验注册

IDRCB,2021-AO29-56-35。于2022年5月27日注册,http://clinicaltrials.gov/study/NCT05395299?cond=embolization&term&rank=1

https://cdn.ncbi.nlm.nih.gov/pmc/blobs/e75e/10624789/31ddbb849dce/42155_2023_402_Fig1_HTML.jpg

文献AI研究员

20分钟写一篇综述,助力文献阅读效率提升50倍。

立即体验

用中文搜PubMed

大模型驱动的PubMed中文搜索引擎

马上搜索

文档翻译

学术文献翻译模型,支持多种主流文档格式。

立即体验