Suppr超能文献

Pancreatic ectopic thyroid tissue: A case report and analysis of literature.

作者信息

Zheng Hai-Lan, Lin Xiao, Zhang Ming-Jian, Zhang Guo-Hua

机构信息

Department of Radiology, Taizhou First People's Hospital, 218 Hengjie Road, Huangyan District, Taizhou City, HuangYan, 318020, Zhejiang Province, China.

Department of Pathology, Taizhou First People's Hospital, HuangYan, 318020, China.

出版信息

Open Life Sci. 2023 Oct 24;18(1):20220742. doi: 10.1515/biol-2022-0742. eCollection 2023.

Abstract

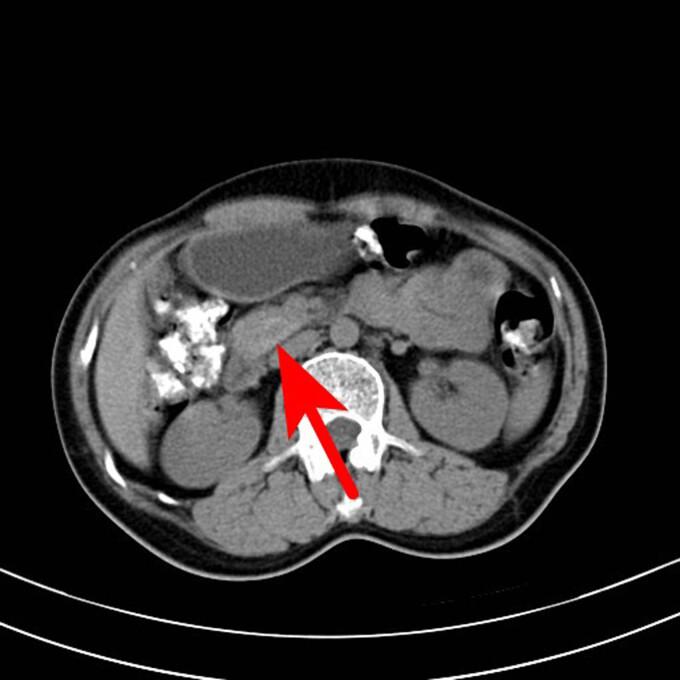
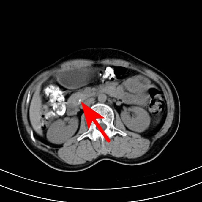
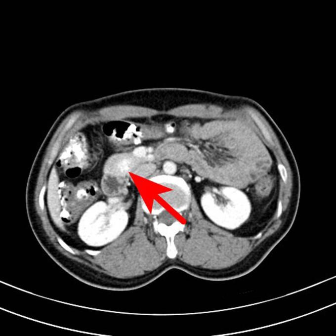
Ectopic thyroid is a rare malformation induced by a migration defect in the developing gland during embryogenesis. In 90% of cases, the ectopic thyroid is located in the lingual region, whereas it is extremely rare in the abdominal cavity, particularly in the pancreas. A 50-year-old female patient presented to the Taizhou First People's Hospital with a complaint of recurrent mid-lower abdominal pain and diarrhea for approximately a month. The abdominal computed tomography scan revealed a space-occupying lesion with abundant blood supply in the head of the pancreas during the consultation. This led to the suspicion of a neuroendocrine tumor. The doctor considered that this lesion in the head of the pancreas could be responsible for the patient's incontinence. A laparoscopic pancreaticoduodenectomy was performed after relevant tests were undertaken and contraindications were ruled out. The patient was diagnosed with ectopic thyroid of the pancreas through postoperative pathology. Ectopic thyroid can be considered in middle-aged and elderly women who present with a mass with abundant blood supply and an unknown diagnosis. Subsequent treatments should be decided after fine-needle aspiration cytology.

摘要
https://cdn.ncbi.nlm.nih.gov/pmc/blobs/729f/10628574/61819362c062/j_biol-2022-0742-fig001.jpg

相似文献

1
Pancreatic ectopic thyroid tissue: A case report and analysis of literature.
Open Life Sci. 2023 Oct 24;18(1):20220742. doi: 10.1515/biol-2022-0742. eCollection 2023.
2
Ectopic thyroid of the pancreas: A case report and literature review.
Medicine (Baltimore). 2017 Nov;96(47):e8707. doi: 10.1097/MD.0000000000008707.
5
Ectopic thyroid microfollicular adenoma in the lung: A case report.
Medicine (Baltimore). 2019 Aug;98(35):e16832. doi: 10.1097/MD.0000000000016832.
6
Ectopic thyroid tissue in submandibular and infrahyoid region.
Eurasian J Med. 2014 Oct;46(3):216-9. doi: 10.5152/eajm.2014.34. Epub 2014 Jul 8.
10
Castleman Disease Misdiagnosed as Pancreatic Neuroendocrine Tumor by Fine Needle Aspiration Biopsy.
Am Surg. 2023 Jun;89(6):2979-2981. doi: 10.1177/00031348221102606. Epub 2022 May 11.

本文引用的文献

2
Ectopic thyroid tissue in adrenal gland, case report and review of literature.
Gland Surg. 2020 Oct;9(5):1573-1578. doi: 10.21037/gs-20-471.
4
Ectopic thyroid of the pancreas: A case report and literature review.
Medicine (Baltimore). 2017 Nov;96(47):e8707. doi: 10.1097/MD.0000000000008707.
5
Incidental non-functional ectopic thyroid in a returning traveller.
Br J Hosp Med (Lond). 2016 Dec 2;77(12):720-721. doi: 10.12968/hmed.2016.77.12.720.
6
Ectopic thyroid: etiology, pathology and management.
Hormones (Athens). 2011 Oct-Dec;10(4):261-9. doi: 10.14310/horm.2002.1317.
7
Ectopic thyroid tissue within the gall bladder: case report and brief review of the literature.
Endocr Pathol. 2010 Dec;21(4):263-5. doi: 10.1007/s12022-010-9130-y.
8
Ectopic thyroid presenting as a gallbladder mass.
Ann R Coll Surg Engl. 2010 May;92(4):W4-6. doi: 10.1308/147870810X12659688852473.
9
Thyroid development and its disorders: genetics and molecular mechanisms.
Endocr Rev. 2004 Oct;25(5):722-46. doi: 10.1210/er.2003-0028.
10
Ectopic thyroid in the abdomen: report of a case.
Surg Today. 1999;29(5):472-4. doi: 10.1007/BF02483044.

文献AI研究员

20分钟写一篇综述,助力文献阅读效率提升50倍。

立即体验

用中文搜PubMed

大模型驱动的PubMed中文搜索引擎

马上搜索

文档翻译

学术文献翻译模型,支持多种主流文档格式。

立即体验