Suppr超能文献

一名同时患有肺癌和结直肠癌患者的副肿瘤性多关节炎

Paraneoplastic Polyarthritis in a Patient with Synchronous Lung and Colorectal Malignancy.

作者信息

Cobilinschi Claudia, Constantinescu Alexandra, Șargarovschi Egor, Enache Simona, Bălănescu Andra Rodica, Opriş-Belinski Daniela

机构信息

Department of Internal Medicine and Rheumatology, Sf. Maria Clinical Hospital, Bucharest, Romania.

Carol Davila University of Medicine and Pharmacy, Bucharest, Romania.

出版信息

Mediterr J Rheumatol. 2023 Aug 31;34(3):363-366. doi: 10.31138/mjr.20230831.pp. eCollection 2023 Sep.

Abstract

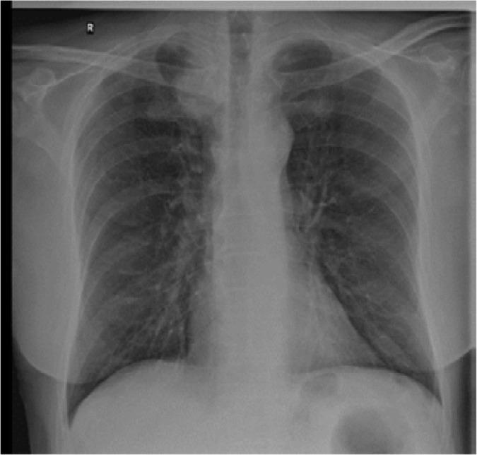
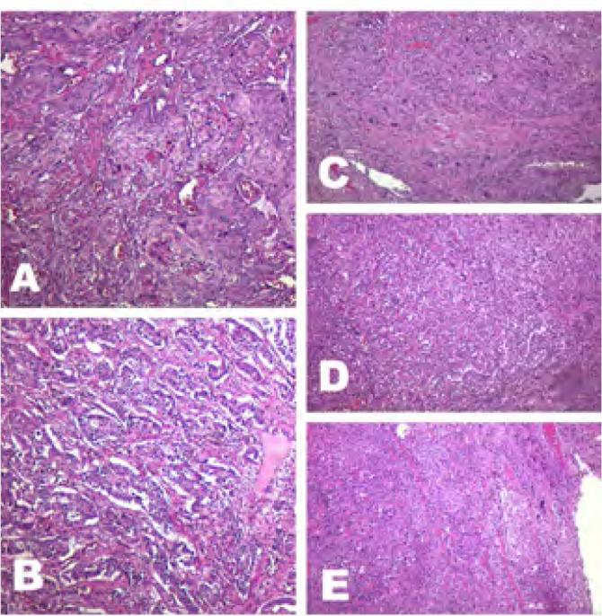
Arthritis is an unusual manifestation of paraneoplastic syndrome, appearing in a variety of cancers, including pulmonary and colorectal. It can often pose a diagnostic challenge to physicians, since it may be difficult to distinguish from more commonly encountered rheumatic illnesses. Moreover, synchronous cancers are rare and unexpected in patients with symmetrical polyarthritis. Hypertrophic pulmonary osteoarthropathy is to be considered in patients with polyarthritis and lung neoplasia. The aim of this report is to highlight the case of a patient presenting with paraneoplastic polyarthritis, which led to identifying the presence of underlying synchronous lung and colorectal malignancies. Lymph node biopsy was performed raising suspicion of Caplan's syndrome but lung lobectomy confirmed adenocarcinoma. Rheumatologists should be reacquainted with rheumatic manifestations in malignant diseases.

摘要

关节炎是副肿瘤综合征的一种不寻常表现,出现在多种癌症中,包括肺癌和结直肠癌。它常常给医生带来诊断挑战,因为可能难以与更常见的风湿性疾病相区分。此外,在对称性多关节炎患者中,同时发生的癌症罕见且出乎意料。对于多关节炎和肺肿瘤患者,应考虑肥厚性肺骨关节病。本报告的目的是强调一例出现副肿瘤性多关节炎的患者病例,该病例导致发现了潜在的同时存在的肺癌和结直肠癌。进行了淋巴结活检,引发了对卡普兰综合征的怀疑,但肺叶切除术确诊为腺癌。风湿病学家应重新熟悉恶性疾病中的风湿性表现。

https://cdn.ncbi.nlm.nih.gov/pmc/blobs/1e00/10628873/d17ec7030e21/MJR-34-3-363-g001.jpg

相似文献

1
Paraneoplastic Polyarthritis in a Patient with Synchronous Lung and Colorectal Malignancy.
Mediterr J Rheumatol. 2023 Aug 31;34(3):363-366. doi: 10.31138/mjr.20230831.pp. eCollection 2023 Sep.
3
Paraneoplastic Arthritides: Insights to Pathogenesis, Diagnostic Approach, and Treatment.
J Clin Rheumatol. 2021 Dec 1;27(8):e505-e509. doi: 10.1097/RHU.0000000000001202.
4
[Paraneoplastic syndromes in rheumatology].
Z Rheumatol. 2018 May;77(4):309-321. doi: 10.1007/s00393-018-0445-2.
5
[Paraneoplastic syndromes in rheumatology].
Z Rheumatol. 2023 Apr;82(3):212-219. doi: 10.1007/s00393-022-01314-1. Epub 2023 Jan 23.
6
Hypertrophic Osteoarthropathy: A Case of an Undifferentiated Polyarthritis.
Cureus. 2023 Dec 27;15(12):e51145. doi: 10.7759/cureus.51145. eCollection 2023 Dec.
7
Palmar Fasciitis and Polyarthritis Syndrome Associated with Lung Adenocarcinoma.
Intern Med. 2022 Jul 15;61(14):2221-2225. doi: 10.2169/internalmedicine.8619-21. Epub 2021 Dec 28.
10
Paraneoplastic polyarthritis in association with metastatic neuroendocrince tumour of the adrenal gland.
Australas Med J. 2014 Aug 31;7(8):345-9. doi: 10.4066/AMJ.2014.2113. eCollection 2014.

本文引用的文献

1
Arthritis as an initial presentation of malignancy: two case reports.
J Med Case Rep. 2021 Feb 23;15(1):94. doi: 10.1186/s13256-020-02642-z.
2
Sudden onset polyarthritis as a paraneoplastic syndrome from non-small cell lung cancer.
J Community Hosp Intern Med Perspect. 2020 May 21;10(2):174-178. doi: 10.1080/20009666.2020.1749503.
3
Lung cancer patients with synchronous colon cancer.
Mol Clin Oncol. 2018 Jan;8(1):137-140. doi: 10.3892/mco.2017.1471. Epub 2017 Oct 27.
4
Malignancy dominated with rheumatic manifestations: A retrospective single-center analysis.
Sci Rep. 2018 Jan 29;8(1):1786. doi: 10.1038/s41598-018-20167-w.
6
Paraneoplastic syndromes associated with lung cancer.
World J Clin Oncol. 2014 Aug 10;5(3):197-223. doi: 10.5306/wjco.v5.i3.197.
7
Synchronous colorectal cancer: clinical, pathological and molecular implications.
World J Gastroenterol. 2014 Jun 14;20(22):6815-20. doi: 10.3748/wjg.v20.i22.6815.
8
Cigarette smoking and risk of rheumatoid arthritis: a dose-response meta-analysis.
Arthritis Res Ther. 2014 Mar 5;16(2):R61. doi: 10.1186/ar4498.
9
Diagnostic dilemma of paraneoplastic arthritis: case series.
Int J Rheum Dis. 2014 Jul;17(6):640-5. doi: 10.1111/1756-185X.12277. Epub 2014 Jan 17.
10
Synchronous triple carcinoma of the colon and rectum.
World J Surg Oncol. 2013 Mar 13;11:66. doi: 10.1186/1477-7819-11-66.

文献AI研究员

20分钟写一篇综述,助力文献阅读效率提升50倍。

立即体验

用中文搜PubMed

大模型驱动的PubMed中文搜索引擎

马上搜索

文档翻译

学术文献翻译模型,支持多种主流文档格式。

立即体验