Suppr超能文献

通过小鼠模型模拟脱氧雪腐镰刀菌烯醇的臭氧降解及其生物安全性评估。

Simulating ozone degradation of deoxynivalenol and its bio-safety assessment by mouse model.

作者信息

Sun Chao, Yang Fang, Xiao Jianhui, Zhou Wenwen, Li Jun, Gu Xiaolong

机构信息

College of Food Science and Engineering, Jiangxi Agricultural University, Nanchang, China.

College of Veterinary Medicine, Yunnan Agricultural University, Kunming, China.

出版信息

Front Microbiol. 2023 Oct 30;14:1286503. doi: 10.3389/fmicb.2023.1286503. eCollection 2023.

Abstract

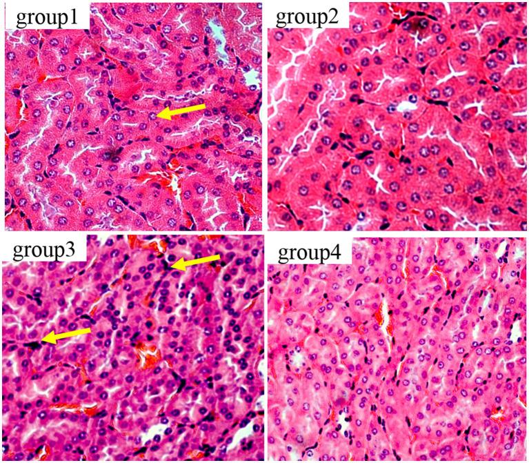
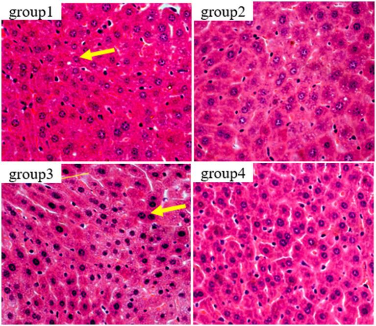
Deoxynivalenol (DON), a trichothecene mycotoxin, is one of the most prevalent mycotoxins globally, primarily produced by species. DON exposure could cause a range of symptoms, including nausea, vomiting, gastroenteritis, growth retardation, immunosuppression, and intestinal flora disorders in both humans and animals. Recently, ozone degradation technology has been applied for DON control. However, the safety of the contaminated grain after degradation was often ignored. Therefore, the implementation technology for assessing the safety of DON-contaminated grain degradation is of great significance for food safety. In this study, based on previous degradation result of DON, we further studied and assessed the toxicity of corn contaminated with ozone-degrading DON by animal experiments in mice. We simulated feed made from corn contaminated with DON produced by inoculated , which was treated with an ozone aqueous solution. DON treated by ozone could effectively increase the expression of total protein in mice and improve the immune system efficacy. Meanwhile, compared with DON directly-exposed mice, the corn with degrading DON could effectively maintain the level of liver and kidney immune function, and improved growth performance, enterohepatic circulation, and energy metabolism. Our study indicated that the toxicity of fed corn contaminated with degrading-DON decreased significantly after ozone degradation, resulting in a much lower toxicity compared to the DON group, or nontoxicity to some extent. Therefore, we hope that this mouse model could be used as a promising approach for assessing the risk of fungal toxins on metabolism, immunity, and intestinal health.

摘要

脱氧雪腐镰刀菌烯醇(DON)是一种单端孢霉烯族霉菌毒素,是全球最普遍存在的霉菌毒素之一,主要由某些物种产生。接触DON会导致一系列症状,包括人类和动物出现恶心、呕吐、肠胃炎、生长发育迟缓、免疫抑制和肠道菌群紊乱。最近,臭氧降解技术已被应用于DON的控制。然而,降解后受污染谷物的安全性常常被忽视。因此,评估DON污染谷物降解安全性的实施技术对食品安全具有重要意义。在本研究中,基于之前DON的降解结果,我们通过小鼠动物实验进一步研究和评估了被臭氧降解DON污染的玉米的毒性。我们模拟了由接种产生的被DON污染的玉米制成的饲料,并用臭氧水溶液对其进行处理。经臭氧处理的DON能有效增加小鼠体内总蛋白的表达并提高免疫系统功效。同时,与直接接触DON的小鼠相比,含有降解DON的玉米能有效维持肝脏和肾脏的免疫功能水平,并改善生长性能、肠肝循环和能量代谢。我们的研究表明,经臭氧降解后,喂食含有降解DON的玉米的毒性显著降低,与DON组相比毒性低得多,甚至在一定程度上无毒。因此,我们希望这种小鼠模型可作为一种有前景的方法,用于评估真菌毒素对代谢、免疫和肠道健康的风险。

https://cdn.ncbi.nlm.nih.gov/pmc/blobs/aeb6/10642302/5474bad774a4/fmicb-14-1286503-g001.jpg

文献AI研究员

20分钟写一篇综述,助力文献阅读效率提升50倍。

立即体验

用中文搜PubMed

大模型驱动的PubMed中文搜索引擎

马上搜索

文档翻译

学术文献翻译模型,支持多种主流文档格式。

立即体验