Department of Forensic Medicine, Faculty of Medicine and Health Technology Tampere University and Fimlab Laboratories Tampere Finland.
Vascular Centre Tampere University Hospital Tampere Finland.
J Am Heart Assoc. 2023 Nov 21;12(22):e030639. doi: 10.1161/JAHA.123.030639. Epub 2023 Nov 20.
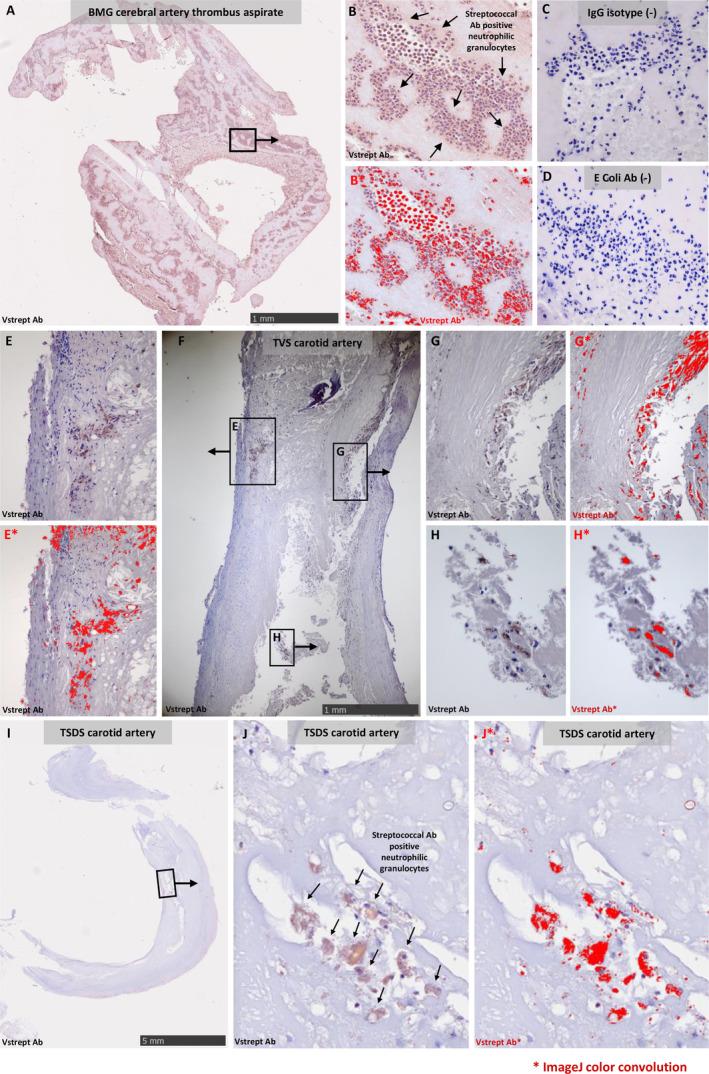
Acute ischemic stroke may be due to embolism from ruptured atherosclerotic carotid arteries. DNA of oral bacteria, mainly the viridans streptococci group, has been detected in thrombus aspirates of patients with ischemic stroke as well as in carotid endarterectomy samples. Because viridans streptococci are known to possess thrombogenic properties, we studied whether their presence in thrombus aspirates and in carotid artery specimens can be confirmed using bacterial immunohistochemistry.
Thrombus aspirates from 61 patients with ischemic stroke (70.5% men; mean age, 66.8 years) treated with mechanical thrombectomy, as well as carotid endarterectomy samples from 20 symptomatic patients (65.0% men; mean age, 66.2 years) and 48 carotid artery samples from nonstroke autopsy cases (62.5% men; mean age, 66.4 years), were immunostained with an antibody cocktail against 3 species (, and ) of viridans streptococci. Of the thrombus aspirates, 84.8% were immunopositive for viridans streptococci group bacteria, as were 80.0% of the carotid endarterectomy samples, whereas immunopositivity was observed in 31.3% of the carotid artery samples from nonstroke autopsies. Most streptococci were detected inside neutrophil granulocytes, but there were also remnants of bacterial biofilm as well as free bacterial infiltrates in some samples.
Oral streptococci were found in aspirated thrombi of patients with acute ischemic stroke as well as in carotid artery samples. Our results suggest that viridans streptococci group bacteria may play a role in the pathophysiology of ischemic stroke.
急性缺血性脑卒中可能是由于动脉粥样硬化颈动脉破裂引起的栓塞所致。在缺血性脑卒中患者的血栓抽吸物以及颈动脉内膜切除术样本中,均检测到了口腔细菌的 DNA,主要是草绿色链球菌群。由于草绿色链球菌具有血栓形成特性,因此我们研究了是否可以使用细菌免疫组织化学来确认其在血栓抽吸物和颈动脉标本中的存在。
对 61 例接受机械血栓切除术治疗的缺血性脑卒中患者(70.5%为男性;平均年龄 66.8 岁)的血栓抽吸物,以及 20 例有症状患者(65.0%为男性;平均年龄 66.2 岁)的颈动脉内膜切除术样本和 48 例非脑卒中尸检的颈动脉样本(62.5%为男性;平均年龄 66.4 岁)进行了免疫组织化学染色,使用针对 3 种(、和 )草绿色链球菌的抗体混合物进行染色。84.8%的血栓抽吸物以及 80.0%的颈动脉内膜切除术样本呈草绿色链球菌阳性,而非脑卒中尸检的颈动脉样本中免疫阳性率为 31.3%。大多数链球菌存在于中性粒细胞的粒细胞内,但在一些样本中也存在细菌生物膜的残留物以及游离的细菌浸润。
在急性缺血性脑卒中患者的血栓抽吸物以及颈动脉样本中均发现了口腔链球菌。我们的结果表明,草绿色链球菌群细菌可能在缺血性脑卒中的病理生理学中起作用。