• 文献检索
  • 文档翻译
  • 深度研究
  • 学术资讯
  • Suppr Zotero 插件Zotero 插件
  • 邀请有礼
  • 套餐&价格
  • 历史记录
应用&插件
Suppr Zotero 插件Zotero 插件浏览器插件Mac 客户端Windows 客户端微信小程序
定价
高级版会员购买积分包购买API积分包
服务
文献检索文档翻译深度研究API 文档MCP 服务
关于我们
关于 Suppr公司介绍联系我们用户协议隐私条款
关注我们

Suppr 超能文献

核心技术专利:CN118964589B侵权必究
粤ICP备2023148730 号-1Suppr @ 2026

文献检索

告别复杂PubMed语法,用中文像聊天一样搜索,搜遍4000万医学文献。AI智能推荐,让科研检索更轻松。

立即免费搜索

文件翻译

保留排版,准确专业,支持PDF/Word/PPT等文件格式,支持 12+语言互译。

免费翻译文档

深度研究

AI帮你快速写综述,25分钟生成高质量综述,智能提取关键信息,辅助科研写作。

立即免费体验

一种与肿瘤相关的肝素硫酸相关糖胺聚糖促进功能性调节性 T 细胞的生成。

A tumor-associated heparan sulfate-related glycosaminoglycan promotes the generation of functional regulatory T cells.

机构信息

Department of Biochemistry and Molecular Biology, School of Chemistry, Complutense University of Madrid, Madrid, Spain.

Inmunotek, Alcalá de Henares, Madrid, Spain.

出版信息

Cell Mol Immunol. 2023 Dec;20(12):1499-1512. doi: 10.1038/s41423-023-01096-9. Epub 2023 Nov 22.

DOI:10.1038/s41423-023-01096-9
PMID:37990034
原文链接:https://pmc.ncbi.nlm.nih.gov/articles/PMC10687014/
Abstract

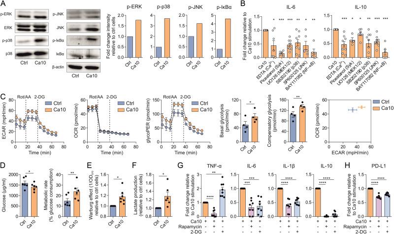
Functional Tregs play a key role in tumor development and progression, representing a major barrier to anticancer immunity. The mechanisms by which Tregs are generated in cancer and the influence of the tumor microenvironment on these processes remain incompletely understood. Herein, by using NMR, chemoenzymatic structural assays and a plethora of in vitro and in vivo functional analyses, we demonstrate that the tumoral carbohydrate A10 (Ca10), a cell-surface carbohydrate derived from Ehrlich's tumor (ET) cells, is a heparan sulfate-related proteoglycan that enhances glycolysis and promotes the development of tolerogenic features in human DCs. Ca10-stimulated human DCs generate highly suppressive Tregs by mechanisms partially dependent on metabolic reprogramming, PD-L1, IL-10, and IDO. Ca10 also reprograms the differentiation of human monocytes into DCs with tolerogenic features. In solid ET-bearing mice, we found positive correlations between Ca10 serum levels, tumor size and splenic Treg numbers. Administration of isolated Ca10 also increases the proportion of splenic Tregs in tumor-free mice. Remarkably, we provide evidence supporting the presence of a circulating human Ca10 counterpart (Ca10H) and show, for the first time, that serum levels of Ca10H are increased in patients suffering from different cancer types compared to healthy individuals. Of note, these levels are higher in prostate cancer patients with bone metastases than in prostate cancer patients without metastases. Collectively, we reveal novel molecular mechanisms by which heparan sulfate-related structures associated with tumor cells promote the generation of functional Tregs in cancer. The discovery of this novel structural-functional relationship may open new avenues of research with important clinical implications in cancer treatment.

摘要

功能性调节性 T 细胞(Tregs)在肿瘤的发生和发展中发挥着关键作用,是抗肿瘤免疫的主要障碍。Tregs 在癌症中产生的机制以及肿瘤微环境对这些过程的影响仍不完全清楚。在此,我们通过使用 NMR、化学酶结构测定以及大量的体外和体内功能分析,证明了肿瘤碳水化合物 A10(Ca10)是一种源自艾氏腹水瘤(ET)细胞的细胞表面碳水化合物,是一种与肝素硫酸相关的蛋白聚糖,可增强糖酵解并促进人类树突状细胞(DC)产生耐受性特征。Ca10 刺激的人类 DC 通过部分依赖于代谢重编程、PD-L1、IL-10 和 IDO 的机制产生高度抑制性 Tregs。Ca10 还可重新编程人类单核细胞向具有耐受性特征的 DC 分化。在实体 ET 荷瘤小鼠中,我们发现血清 Ca10 水平、肿瘤大小和脾脏 Treg 数量之间存在正相关。分离的 Ca10 给药也会增加无肿瘤小鼠脾脏 Treg 的比例。值得注意的是,我们提供了存在循环人类 Ca10 对应物(Ca10H)的证据,并首次表明,与健康个体相比,患有不同癌症类型的患者的血清 Ca10H 水平升高。值得注意的是,与无转移的前列腺癌患者相比,有骨转移的前列腺癌患者的血清 Ca10H 水平更高。总之,我们揭示了与肿瘤细胞相关的肝素硫酸相关结构促进癌症中功能性 Tregs 产生的新分子机制。发现这种新型结构-功能关系可能为癌症治疗开辟新的研究途径,并具有重要的临床意义。

https://cdn.ncbi.nlm.nih.gov/pmc/blobs/9bf7/10687014/245a7d002dd2/41423_2023_1096_Fig8_HTML.jpg
https://cdn.ncbi.nlm.nih.gov/pmc/blobs/9bf7/10687014/2adbf8b5bd6b/41423_2023_1096_Fig1_HTML.jpg
https://cdn.ncbi.nlm.nih.gov/pmc/blobs/9bf7/10687014/7ef14632846e/41423_2023_1096_Fig2_HTML.jpg
https://cdn.ncbi.nlm.nih.gov/pmc/blobs/9bf7/10687014/bdb7d4c547d9/41423_2023_1096_Fig3_HTML.jpg
https://cdn.ncbi.nlm.nih.gov/pmc/blobs/9bf7/10687014/cf3e230fae04/41423_2023_1096_Fig4_HTML.jpg
https://cdn.ncbi.nlm.nih.gov/pmc/blobs/9bf7/10687014/b70fe48f4d11/41423_2023_1096_Fig5_HTML.jpg
https://cdn.ncbi.nlm.nih.gov/pmc/blobs/9bf7/10687014/e42b1dcf98fd/41423_2023_1096_Fig6_HTML.jpg
https://cdn.ncbi.nlm.nih.gov/pmc/blobs/9bf7/10687014/481e7c9b76c1/41423_2023_1096_Fig7_HTML.jpg
https://cdn.ncbi.nlm.nih.gov/pmc/blobs/9bf7/10687014/245a7d002dd2/41423_2023_1096_Fig8_HTML.jpg
https://cdn.ncbi.nlm.nih.gov/pmc/blobs/9bf7/10687014/2adbf8b5bd6b/41423_2023_1096_Fig1_HTML.jpg
https://cdn.ncbi.nlm.nih.gov/pmc/blobs/9bf7/10687014/7ef14632846e/41423_2023_1096_Fig2_HTML.jpg
https://cdn.ncbi.nlm.nih.gov/pmc/blobs/9bf7/10687014/bdb7d4c547d9/41423_2023_1096_Fig3_HTML.jpg
https://cdn.ncbi.nlm.nih.gov/pmc/blobs/9bf7/10687014/cf3e230fae04/41423_2023_1096_Fig4_HTML.jpg
https://cdn.ncbi.nlm.nih.gov/pmc/blobs/9bf7/10687014/b70fe48f4d11/41423_2023_1096_Fig5_HTML.jpg
https://cdn.ncbi.nlm.nih.gov/pmc/blobs/9bf7/10687014/e42b1dcf98fd/41423_2023_1096_Fig6_HTML.jpg
https://cdn.ncbi.nlm.nih.gov/pmc/blobs/9bf7/10687014/481e7c9b76c1/41423_2023_1096_Fig7_HTML.jpg
https://cdn.ncbi.nlm.nih.gov/pmc/blobs/9bf7/10687014/245a7d002dd2/41423_2023_1096_Fig8_HTML.jpg

相似文献

1
A tumor-associated heparan sulfate-related glycosaminoglycan promotes the generation of functional regulatory T cells.一种与肿瘤相关的肝素硫酸相关糖胺聚糖促进功能性调节性 T 细胞的生成。
Cell Mol Immunol. 2023 Dec;20(12):1499-1512. doi: 10.1038/s41423-023-01096-9. Epub 2023 Nov 22.
2
Blocking senescence and tolerogenic function of dendritic cells induced by γδ Treg cells enhances tumor-specific immunity for cancer immunotherapy.阻断 γδ Treg 细胞诱导的树突状细胞衰老和耐受功能可增强肿瘤特异性免疫,用于癌症免疫治疗。
J Immunother Cancer. 2024 Apr 5;12(4):e008219. doi: 10.1136/jitc-2023-008219.
3
Apoptotic cell administration enhances pancreatic islet engraftment by induction of regulatory T cells and tolerogenic dendritic cells.凋亡细胞给药通过诱导调节性 T 细胞和耐受性树突状细胞增强胰岛移植物的植入。
Cell Mol Immunol. 2013 Sep;10(5):393-402. doi: 10.1038/cmi.2013.16. Epub 2013 Jul 22.
4
Tolerogenic bone marrow-derived dendritic cells induce neuroprotective regulatory T cells in a model of Parkinson's disease.耐受原骨髓来源的树突状细胞在帕金森病模型中诱导神经保护调节性 T 细胞。
Mol Neurodegener. 2018 May 21;13(1):26. doi: 10.1186/s13024-018-0255-7.
5
Human Regulatory Dendritic Cells Develop From Monocytes in Response to Signals From Regulatory and Helper T Cells.人类调节性树突状细胞在调节性 T 细胞和辅助性 T 细胞信号的作用下从单核细胞中发育而来。
Front Immunol. 2020 Aug 18;11:1982. doi: 10.3389/fimmu.2020.01982. eCollection 2020.
6
Differentially expressed patterns of glycosaminoglycan structure in heparan sulfate proteoglycans and free chains.硫酸乙酰肝素蛋白聚糖和游离链中糖胺聚糖结构的差异表达模式。
Eur J Biochem. 1993 Feb 1;211(3):771-9. doi: 10.1111/j.1432-1033.1993.tb17608.x.
7
Glycan Sulfation Modulates Dendritic Cell Biology and Tumor Growth.聚糖硫酸化调节树突状细胞生物学特性和肿瘤生长。
Neoplasia. 2016 May;18(5):294-306. doi: 10.1016/j.neo.2016.04.004.
8
Cellular immune responses towards regulatory cells.针对调节性细胞的细胞免疫反应。
Dan Med J. 2016 Jan;63(1):B5188.
9
Neem leaf glycoprotein overcomes indoleamine 2,3 dioxygenase mediated tolerance in dendritic cells by attenuating hyperactive regulatory T cells in cervical cancer stage IIIB patients.印苦楝叶糖蛋白通过减轻宫颈癌 IIIB 期患者过度活跃的调节性 T 细胞,克服树突状细胞中吲哚胺 2,3 双加氧酶介导的耐受。
Hum Immunol. 2013 Aug;74(8):1015-23. doi: 10.1016/j.humimm.2013.04.022. Epub 2013 Apr 27.
10
Heparan Sulfate in the Tumor Microenvironment.肿瘤微环境中的硫酸乙酰肝素
Adv Exp Med Biol. 2020;1245:147-161. doi: 10.1007/978-3-030-40146-7_7.

引用本文的文献

1
A mucosal vaccine prevents eosinophilic allergic airway inflammation by modulating immune responses to allergens in a murine model of airway disease.在气道疾病小鼠模型中,一种黏膜疫苗通过调节对过敏原的免疫反应来预防嗜酸性粒细胞性过敏性气道炎症。
Nat Commun. 2025 Aug 3;16(1):7129. doi: 10.1038/s41467-025-62632-x.
2
Eno1 in sepsis-induced coagulopathy: a pleiotropic mechanism hypothesis involving immunomodulation and endothelial dysfunction.烯醇化酶1在脓毒症诱导的凝血病中的作用:一种涉及免疫调节和内皮功能障碍的多效性机制假说
Thromb J. 2025 Jun 12;23(1):62. doi: 10.1186/s12959-025-00750-8.
3
Type 2 immunity in allergic diseases.

本文引用的文献

1
Acidity-mediated induction of FoxP3 regulatory T cells.酸度介导的 FoxP3 调节性 T 细胞的诱导。
Eur J Immunol. 2023 Jun;53(6):e2250258. doi: 10.1002/eji.202250258. Epub 2023 Mar 19.
2
Extracellular Galectin 4 Drives Immune Evasion and Promotes T-cell Apoptosis in Pancreatic Cancer.细胞外凝集素 4 驱动胰腺癌中的免疫逃逸并促进 T 细胞凋亡。
Cancer Immunol Res. 2023 Jan 3;11(1):72-92. doi: 10.1158/2326-6066.CIR-21-1088.
3
Protection of Regulatory T Cells from Fragility and Inactivation in the Tumor Microenvironment.保护调节性 T 细胞免受肿瘤微环境中的脆弱性和失活。
过敏性疾病中的2型免疫。
Cell Mol Immunol. 2025 Mar;22(3):211-242. doi: 10.1038/s41423-025-01261-2. Epub 2025 Feb 17.
4
Proteoglycans of basement membranes: Crucial controllers of angiogenesis, neurogenesis, and autophagy.基底膜蛋白聚糖:血管生成、神经发生和自噬的关键调控因子。
Proteoglycan Res. 2024 Jul-Sep;2(3). doi: 10.1002/pgr2.22. Epub 2024 Jun 29.
5
Crosstalk between T lymphocyte and extracellular matrix in tumor microenvironment.肿瘤微环境中 T 淋巴细胞与细胞外基质的相互作用。
Front Immunol. 2024 Apr 16;15:1340702. doi: 10.3389/fimmu.2024.1340702. eCollection 2024.
Cancer Immunol Res. 2022 Dec 2;10(12):1490-1505. doi: 10.1158/2326-6066.CIR-22-0295.
4
Treg-Dominant Tumor Microenvironment Is Responsible for Hyperprogressive Disease after PD-1 Blockade Therapy.Treg 细胞占主导地位的肿瘤微环境是导致 PD-1 阻断治疗后发生超进展性疾病的原因。
Cancer Immunol Res. 2022 Nov 2;10(11):1386-1397. doi: 10.1158/2326-6066.CIR-22-0041.
5
Distinct cellular dynamics associated with response to CAR-T therapy for refractory B cell lymphoma.与 CAR-T 疗法治疗难治性 B 细胞淋巴瘤反应相关的独特细胞动力学。
Nat Med. 2022 Sep;28(9):1848-1859. doi: 10.1038/s41591-022-01959-0. Epub 2022 Sep 12.
6
PD-L1 expression by dendritic cells is a key regulator of T-cell immunity in cancer.树突状细胞的程序性死亡配体1(PD-L1)表达是癌症中T细胞免疫的关键调节因子。
Nat Cancer. 2020 Jul;1(7):681-691. doi: 10.1038/s43018-020-0075-x. Epub 2020 Jun 22.
7
Tertiary lymphoid structures in cancer.癌症中的三级淋巴结构。
Science. 2022 Jan 7;375(6576):eabf9419. doi: 10.1126/science.abf9419.
8
Cannabinoids induce functional Tregs by promoting tolerogenic DCs via autophagy and metabolic reprograming.大麻素通过自噬和代谢重编程促进耐受型 DC 来诱导功能性 Treg。
Mucosal Immunol. 2022 Jan;15(1):96-108. doi: 10.1038/s41385-021-00455-x. Epub 2021 Sep 21.
9
Allergoid-mannan conjugates reprogram monocytes into tolerogenic dendritic cells via epigenetic and metabolic rewiring.变应原甘露聚糖缀合物通过表观遗传和代谢重编程将单核细胞转化为耐受性树突状细胞。
J Allergy Clin Immunol. 2022 Jan;149(1):212-222.e9. doi: 10.1016/j.jaci.2021.06.012. Epub 2021 Jun 18.
10
Tumor resident regulatory T cells.肿瘤驻留调节性 T 细胞。
Semin Immunol. 2021 Feb;52:101476. doi: 10.1016/j.smim.2021.101476. Epub 2021 Apr 24.