Suppr超能文献

共存的干燥综合征和 Birt-Hogg-Dube 综合征:一例报告。

Coexistent Sjogren's syndrome and Birt-Hogg-Dube´ syndrome: a case report.

机构信息

Department of Pulmonary and Critical Care Medicine, the Second Xiangya Hospital, Central South University, 139 Renmin Middle Road, Furong District, Changsha, Hunan, 410011, China.

Research Unit of Respiratory Disease, Central South University, Changsha, Hunan, 410011, China.

出版信息

BMC Pulm Med. 2023 Nov 22;23(1):460. doi: 10.1186/s12890-023-02680-5.

Abstract

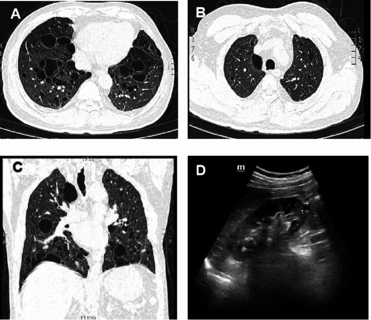
We report a rare case of Sjogren's syndrome complicated with Birt-Hogg-Dubé syndrome (BHDS) not previously mentioned in the literature. Further, there is insufficient evidence linking the two diseases. Here, we review existing diagnostic algorithms for diagnosing diffuse cystic lung disease and provide new insights. The patient initially complained of thirst and dry eyes for ten years, and gradually developed shortness of breath. After admission, physical examination showed five missing teeth, decreased respiratory sounds in both lower lungs, and Velcro rales. Computed tomography showed multiple thin-walled cystic lesions in both lungs. Initial xerophthalmia and labial gland biopsy seemed to reveal a pulmonary cystic change associated with Sjogren's syndrome. Before discharge, a rash suspected to indicate a fibrofollicular tumor in the neck was observed, and then FLCN variant has been found. The challenges how to clarify the diagnosis of DCLD causes are discussed.

摘要

我们报告了一例以前文献中未提及的干燥综合征合并 Birt-Hogg-Dubé 综合征(BHDS)的罕见病例。此外,这两种疾病之间的关联证据不足。在这里,我们回顾了现有的弥漫性囊性肺病诊断算法,并提供了新的见解。患者最初抱怨口渴和干眼症十年,逐渐出现呼吸困难。入院后,体格检查显示五颗缺牙,双下肺呼吸音减弱,Velcro 啰音。计算机断层扫描显示双肺多发性薄壁囊性病变。最初的干眼症和唇腺活检似乎显示与干燥综合征相关的肺囊性改变。出院前,观察到颈部疑似提示纤维滤泡瘤的皮疹,随后发现 FLCN 变异。讨论了如何阐明 DCLD 病因诊断的挑战。

https://cdn.ncbi.nlm.nih.gov/pmc/blobs/8c4c/10664354/99e96d8f2d14/12890_2023_2680_Fig1_HTML.jpg

文献AI研究员

20分钟写一篇综述,助力文献阅读效率提升50倍。

立即体验

用中文搜PubMed

大模型驱动的PubMed中文搜索引擎

马上搜索

文档翻译

学术文献翻译模型,支持多种主流文档格式。

立即体验