Deng Boer, Kong Weimin, Suo Hongyan, Shen Xiaochang, Newton Meredith A, Burkett Wesley C, Zhao Ziyi, John Catherine, Sun Wenchuan, Zhang Xin, Fan Yali, Hao Tianran, Zhou Chunxiao, Bae-Jump Victoria L
Department of Gynecology, Beijing Obstetrics and Gynecology Hospital, Capital Medical University, Beijing Maternal and Child Health Care Hospital, Beijing 100006, China.
Division of Gynecologic Oncology, University of North Carolina at Chapel Hill, Chapel Hill, NC 27599, USA.
Cancers (Basel). 2023 Nov 14;15(22):5407. doi: 10.3390/cancers15225407.
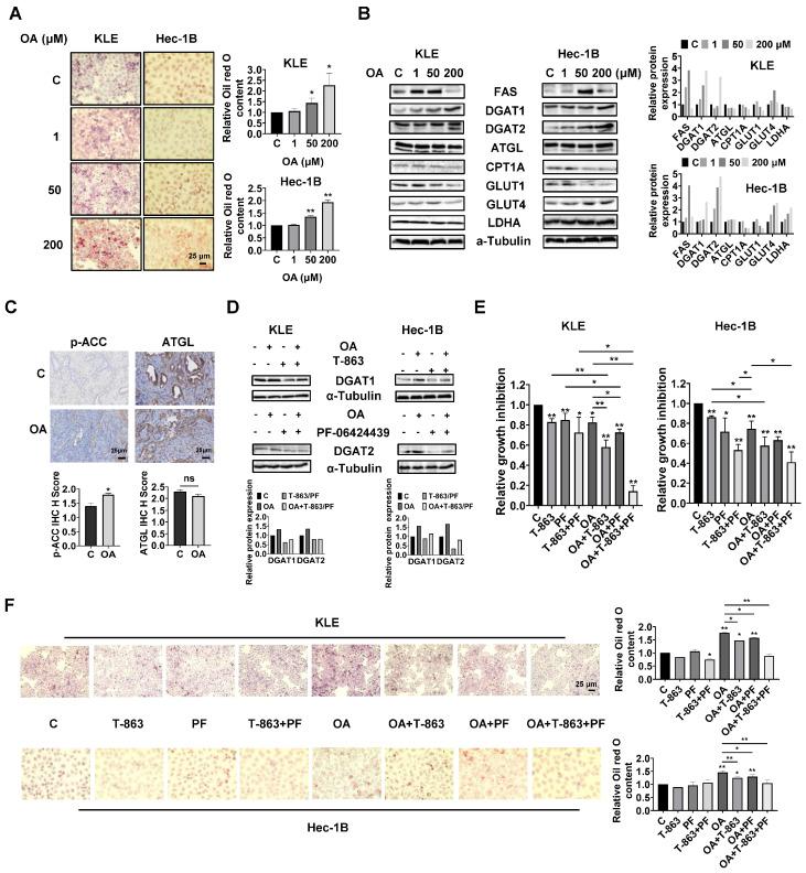
Reprogramming of fatty acid metabolism promotes cell growth and metastasis through a variety of processes that stimulate signaling molecules, energy storage, and membrane biosynthesis in endometrial cancer. Oleic acid is one of the most important monounsaturated fatty acids in the human body, which appears to have both pro- and anti-tumorigenic activities in various pre-clinical models. In this study, we evaluated the potential anti-tumor effects of oleic acid in endometrial cancer cells and the mouse model of endometrial cancer. Oleic acid increased lipogenesis, inhibited cell proliferation, caused cell cycle G1 arrest, induced cellular stress and apoptosis, and suppressed invasion in endometrial cancer cells. Targeting of diacylglycerol acyltransferases 1 and 2 effectively increased the cytotoxicity of oleic acid. Moreover, oleic acid significantly increased the expression of wild-type PTEN, and knockdown of PTEN by shRNA partially reversed the anti-proliferative and anti-invasive effects of oleic acid. Inhibition of the AKT/mTOR pathway by ipatasertib effectively increased the anti-tumor activity of oleic acid in endometrial cancer cells. Oleic acid treatment (10 mg/kg, daily, oral) for four weeks significantly inhibited tumor growth by 52.1% in the mice. Our findings demonstrated that oleic acid exhibited anti-tumorigenic activities, dependent on the PTEN/AKT/mTOR signaling pathway, in endometrial cancer.
脂肪酸代谢重编程通过多种过程促进子宫内膜癌细胞的生长和转移,这些过程会刺激信号分子、能量储存和膜生物合成。油酸是人体中最重要的单不饱和脂肪酸之一,在各种临床前模型中似乎具有促肿瘤和抗肿瘤活性。在本研究中,我们评估了油酸对子宫内膜癌细胞和子宫内膜癌小鼠模型的潜在抗肿瘤作用。油酸增加脂肪生成,抑制细胞增殖,导致细胞周期G1期停滞,诱导细胞应激和凋亡,并抑制子宫内膜癌细胞的侵袭。靶向二酰甘油酰基转移酶1和2可有效增加油酸的细胞毒性。此外,油酸显著增加野生型PTEN的表达,通过shRNA敲低PTEN可部分逆转油酸的抗增殖和抗侵袭作用。伊帕替尼抑制AKT/mTOR途径可有效增加油酸对子宫内膜癌细胞的抗肿瘤活性。在小鼠中,油酸治疗(10mg/kg,每日,口服)四周可显著抑制肿瘤生长52.1%。我们的研究结果表明,油酸在子宫内膜癌中表现出依赖于PTEN/AKT/mTOR信号通路的抗肿瘤活性。