Faculty of Medicine, Vilnius University, M. K. Čiurlionio Str. 21/27, LT-03101 Vilnius, Lithuania.
Department of Human and Medical Genetics, Institute of Biomedical Sciences, Faculty of Medicine, Vilnius University, Santariskiu Str. 2, LT-08661 Vilnius, Lithuania.
Genes (Basel). 2023 Nov 10;14(11):2062. doi: 10.3390/genes14112062.
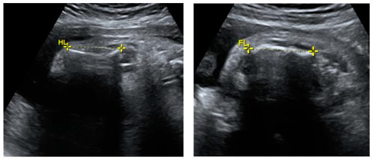
Osteogenesis imperfecta (OI), also known as brittle bone disease, belongs to a rare heterogeneous group of inherited connective tissue disorders. In experienced prenatal centers, severe cases of OI can be suspected before birth from the first trimester prenatal ultrasound screening. In this article, we describe a case report of OI suspected at the 26th week of gestation and the patient's outcomes in infancy one year after birth, as well as compare our case to other prenatally or soon-after-birth suspected and/or diagnosed OI clinical case reports in the literature. This case was managed by a multidisciplinary team. In this clinical case, OI was first suspected when prenatal ultrasound revealed asymmetric intrauterine growth restriction and skeletal dysplasia features. The diagnosis was confirmed after birth using gene variant detection via exome sequencing; the gene variant causes OI types I-IV. The familial history was negative for both pregnancy-related risk factors and genetic diseases. At one year old, the patient's condition remains severe with bisphosphonate therapy.
成骨不全症(OI),又称脆骨病,属于一组罕见的异质性遗传性结缔组织疾病。在经验丰富的产前中心,严重的 OI 病例可以在妊娠早期通过产前超声筛查进行产前诊断。本文描述了一例在妊娠 26 周时疑似 OI 的病例,并报告了患者出生后一年内的婴儿期结局,同时还将我们的病例与文献中其他产前或出生后不久疑似和/或诊断的 OI 临床病例报告进行了比较。该病例由多学科团队进行管理。在本临床病例中,产前超声显示宫内生长受限和骨骼发育不良特征时首次怀疑 OI。出生后通过外显子组测序进行基因变异检测确认了诊断;该基因变异导致 I-IV 型 OI。家族史中无妊娠相关风险因素和遗传疾病。一岁时,患者的病情仍严重,采用双膦酸盐治疗。