Suppr超能文献

生长激素对前脂肪细胞Ob1771中分化依赖性基因表达的调节

Growth hormone regulation of the expression of differentiation-dependent genes in preadipocyte Ob1771 cells.

作者信息

Doglio A, Dani C, Grimaldi P, Ailhaud G

出版信息

Biochem J. 1986 Aug 15;238(1):123-9. doi: 10.1042/bj2380123.

Abstract

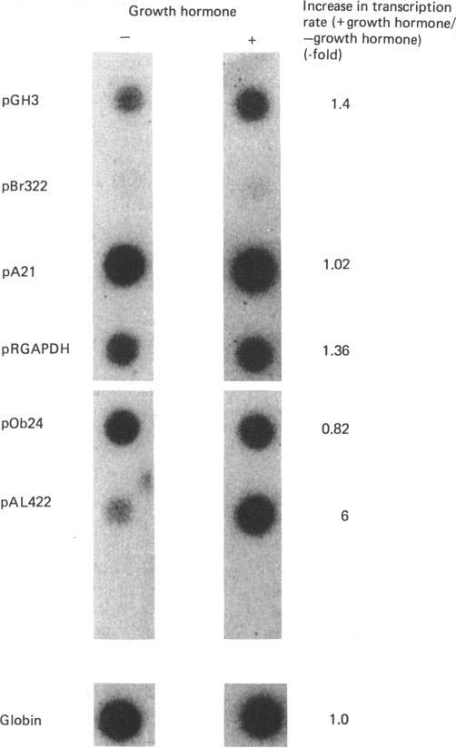
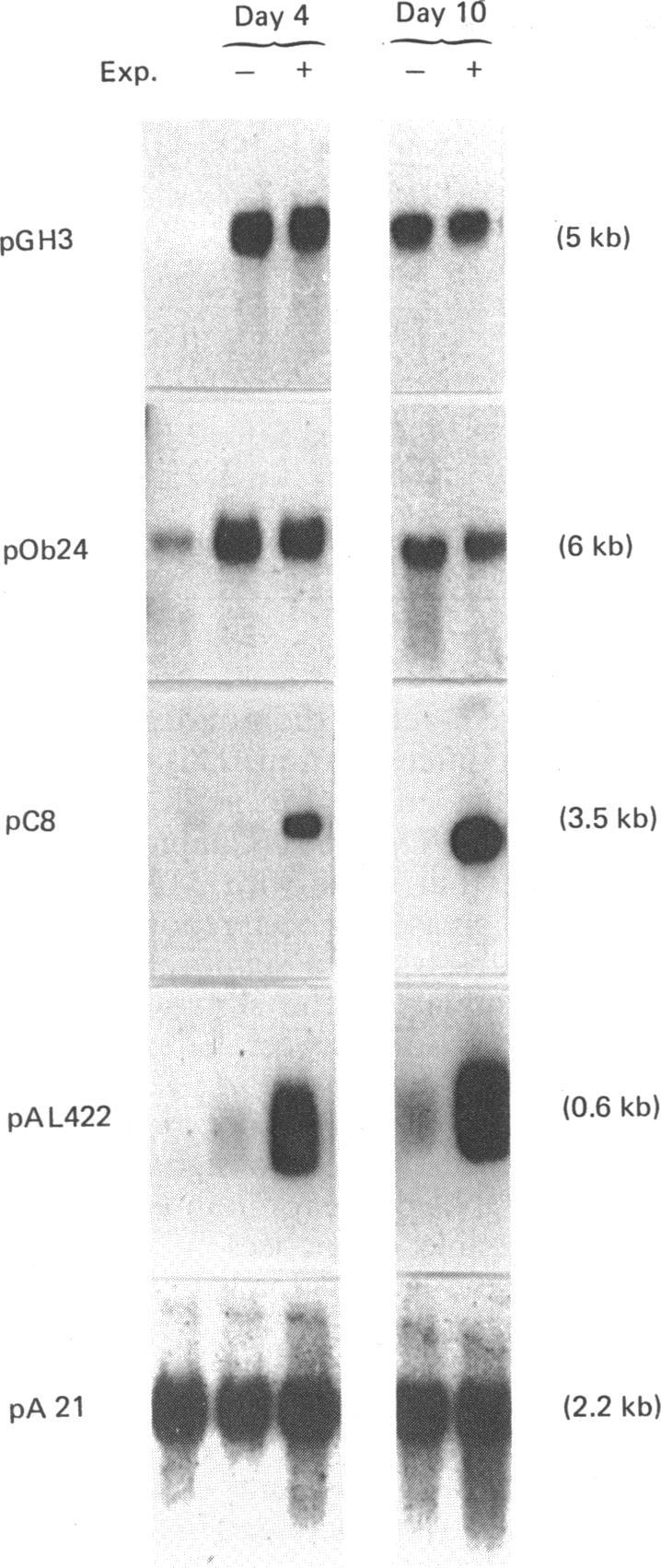
The adipose conversion of Ob1771 preadipocytes, during exposure to medium containing bovine serum and supplemented with growth hormone, is accompanied by the acquisition of phenotypic markers and the increased accumulation of specific mRNAs. The expression of lipoprotein lipase, and that of unidentified pOb24 and pGH3 mRNAs, are early events which are independent of growth hormone supplementation. By contrast, the late expression of mRNAs encoding for glycerol-3-phosphate dehydrogenase and p422 protein (a myelin-P2 homologue) and that of glycerol-3-phosphate dehydrogenase activity require the presence of growth hormone. The abundance of beta-actin mRNA does not change during differentiation. Runoff transcription by nuclei isolated from untreated or growth hormone-treated cells reveal little or no change in the rates of transcription of pOb24, pGH3 and beta-actin mRNAs. By contrast, the transcription rate of the p422 gene increases markedly (greater than 6-fold) in nuclei of growth hormone-treated cells. However, the p422 mRNA is more abundant than would be predicted by its nuclear transcription alone, suggesting, in Ob1771 cells exposed to growth hormone, that there is a post-transcriptional level of control. These results indicate that the permissive role of growth hormone during adipose cell differentiation is related to terminal events only and that its effects can be seen both at the protein and mRNA level. These results strongly suggest that an increased rate of specific transcription is primarily responsible for the accumulation of mRNAs during exposure to growth hormone.

摘要

在暴露于含有牛血清并添加生长激素的培养基中时,Ob1771前脂肪细胞的脂肪转化伴随着表型标志物的获得和特定mRNA积累的增加。脂蛋白脂肪酶以及未鉴定的pOb24和pGH3 mRNA的表达是早期事件,与生长激素的添加无关。相比之下,编码甘油-3-磷酸脱氢酶和p422蛋白(一种髓磷脂P2同源物)的mRNA的晚期表达以及甘油-3-磷酸脱氢酶活性的表达需要生长激素的存在。β-肌动蛋白mRNA的丰度在分化过程中没有变化。从未经处理或生长激素处理的细胞中分离出的细胞核进行的连续转录显示,pOb24、pGH3和β-肌动蛋白mRNA的转录速率几乎没有变化。相比之下,在生长激素处理的细胞的细胞核中,p422基因的转录速率显著增加(超过6倍)。然而,p422 mRNA的丰度比仅由其核转录所预测的要高,这表明在暴露于生长激素的Ob1771细胞中,存在转录后水平的调控。这些结果表明,生长激素在脂肪细胞分化过程中的允许作用仅与终末事件有关,并且其作用在蛋白质和mRNA水平上都可以看到。这些结果强烈表明,在暴露于生长激素期间,特定转录速率增加是mRNA积累的主要原因。

https://cdn.ncbi.nlm.nih.gov/pmc/blobs/e6ac/1147105/304ea53ee30f/biochemj00273-0124-a.jpg

文献检索

告别复杂PubMed语法,用中文像聊天一样搜索,搜遍4000万医学文献。AI智能推荐,让科研检索更轻松。

立即免费搜索

文件翻译

保留排版,准确专业,支持PDF/Word/PPT等文件格式,支持 12+语言互译。

免费翻译文档

深度研究

AI帮你快速写综述,25分钟生成高质量综述,智能提取关键信息,辅助科研写作。

立即免费体验