Suppr超能文献

新型苯氧基-((苯乙炔基)硒基)丙-2-醇衍生物作为潜在的抗癌剂。

Novel phenoxy-((phenylethynyl) selanyl) propan-2-ol derivatives as potential anticancer agents.

作者信息

Xu Wenxin, Du Yali, Pan Beibin, Wang Qiying, Zheng Haoran, Zhang Ruonan, Lou Jiaxin, Zhu Guanghui, Zhou Jie, Sun Jian

机构信息

School of Pharmaceutical Sciences, Wenzhou Medical University, Zhejiang, China.

Sir Run Run Shaw Hospital, School of Medicine, Zhejiang University, Zhejiang, China.

出版信息

BMC Chem. 2023 Nov 28;17(1):172. doi: 10.1186/s13065-023-01076-0.

Abstract

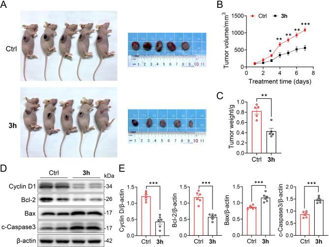
Selenocompounds protect against damage to healthy cells and induce the death of tumor cells by apoptosis; for this reason, they are attractive compounds for cancer research. In the present study, two series of novel phenoxy-((phenylethynyl) selanyl) propan-2-ol derivatives were synthesized, and their anti-proliferation activities were evaluated. Of the 23 compounds synthesized, most showed potent anti-proliferative activity against human cancer cell lines. Specifically, compounds 3h, 3g, and 3h-2, which had a 2- or 4-position halogen substituent on 1-((phenylethynyl)selanyl)-3-phenoxypropan-2-ol, exhibited the best anti-proliferative activity against tumor cells. Flow cytometry demonstrated that 3h, 3g, and 3h-2 induced G2/M phase arrest and apoptosis in A549 cells. Cellular studies demonstrated that the induction of apoptosis by 3h correlated with changes in the expression of cell cycle-related proteins and apoptosis-related proteins. Xenograft tumor experiments in nude mice revealed that compound 3h has antitumor effects in vivo and no evident toxic effects in nude mice. In addition, compound 3h alleviated cisplatin-induced liver and kidney damage. These findings uncover the applicability of compound 3h as a novel lead compound for cancer treatment.

摘要

硒化合物可保护健康细胞免受损伤,并通过凋亡诱导肿瘤细胞死亡;因此,它们是癌症研究中具有吸引力的化合物。在本研究中,合成了两个系列的新型苯氧基-((苯乙炔基)硒基)丙-2-醇衍生物,并评估了它们的抗增殖活性。在合成的23种化合物中,大多数对人癌细胞系显示出有效的抗增殖活性。具体而言,在1-((苯乙炔基)硒基)-3-苯氧基丙-2-醇的2-或4-位具有卤素取代基的化合物3h、3g和3h-2对肿瘤细胞表现出最佳的抗增殖活性。流式细胞术表明,3h、3g和3h-2诱导A549细胞G2/M期阻滞和凋亡。细胞研究表明,3h诱导的凋亡与细胞周期相关蛋白和凋亡相关蛋白表达的变化有关。裸鼠异种移植肿瘤实验表明,化合物3h在体内具有抗肿瘤作用,对裸鼠无明显毒性作用。此外,化合物3h减轻了顺铂诱导的肝肾损伤。这些发现揭示了化合物3h作为新型癌症治疗先导化合物的适用性。

https://cdn.ncbi.nlm.nih.gov/pmc/blobs/e5ee/10685490/6a5316403b93/13065_2023_1076_Figa_HTML.jpg

文献检索

告别复杂PubMed语法,用中文像聊天一样搜索,搜遍4000万医学文献。AI智能推荐,让科研检索更轻松。

立即免费搜索

文件翻译

保留排版,准确专业,支持PDF/Word/PPT等文件格式,支持 12+语言互译。

免费翻译文档

深度研究

AI帮你快速写综述,25分钟生成高质量综述,智能提取关键信息,辅助科研写作。

立即免费体验