Suppr超能文献

完全性食管梗阻:卓-艾综合征的一种罕见并发症。

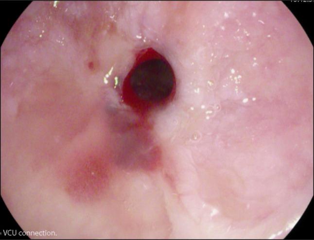
Complete Esophageal Obstruction: A Rare Complication of Zollinger-Ellison Syndrome.

作者信息

Bentley Blake, Chanaa Fadi, Clayton Steven

机构信息

Section on Gastroenterology and Hepatology, Department of Internal Medicine, Wake Forest University School of Medicine, Winston-Salem, NC.

出版信息

ACG Case Rep J. 2023 Nov 15;10(11):e01205. doi: 10.14309/crj.0000000000001205. eCollection 2023 Nov.

Abstract

Complete esophageal obstruction (CEO) is a rare phenomenon usually observed after receiving head and neck radiation. Zollinger-Ellison syndrome (ZES) is typically associated with minimal esophageal morbidity because of advancements in antisecretory medications. There are currently no documented reports of CEO in patients with ZES. Although surgeries are available for the treatment of CEO, there is no established method for endoscopic lumen restoration, given its rarity. This case documents potential sequala of modern-day patients with ZES.

摘要

完全性食管梗阻(CEO)是一种罕见现象,通常在接受头颈部放疗后出现。由于抗分泌药物的进展,卓艾综合征(ZES)通常与最小的食管发病率相关。目前尚无ZES患者发生CEO的文献报道。尽管有手术可用于治疗CEO,但鉴于其罕见性,尚无成熟的内镜管腔恢复方法。本病例记录了现代ZES患者的潜在后遗症。

https://cdn.ncbi.nlm.nih.gov/pmc/blobs/bc6d/10651347/8de88f2bddc7/ac9-10-e01205-g001.jpg

文献AI研究员

20分钟写一篇综述,助力文献阅读效率提升50倍。

立即体验

用中文搜PubMed

大模型驱动的PubMed中文搜索引擎

马上搜索

文档翻译

学术文献翻译模型,支持多种主流文档格式。

立即体验