Suppr超能文献

一例典型先兆无头痛型偏头痛患者的偏头痛性先兆状态病例

A Case of Migraine Aura Status in a Migraine Patient With Typical Aura Without Headache.

作者信息

Sadamoto Yasutaka

机构信息

Headache Center (Neurosurgery), Takanoko Hospital, Matsuyama, JPN.

出版信息

Cureus. 2023 Dec 6;15(12):e50062. doi: 10.7759/cureus.50062. eCollection 2023 Dec.

Abstract

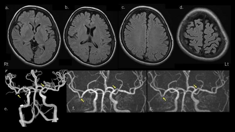
Migraine aura status (MAS) is a rare complication of migraine and is listed in the appendix of the International Classification of Headache, Third Edition. MAS occurs in migraine with aura (MwA) patients, with at least three auras occurring over a period of three days. We describe a case of MAS associated with a patient who had a migraine with a typical aura without headache (TAWH). She has experienced only visual auras, including periods of MAS complications, and has not experienced headaches or other auras, including sensory, speech, and motor. The patient is a 45-year-old woman. She had discomfort with visual aura without a headache every two to three months. The visual aura began to gradually darken a portion of the right side of the visual field binocularly, which gradually expanded around it and was surrounded by iridescent flashes running in a zig-zag pattern to the periphery. The area of the visual field abnormality gradually decreased and disappeared after approximately 15 minutes. One day, she had an aura once after dinner, and when she awoke without any trigger after going to bed, the aura appeared and repeated approximately three times. She experienced three to four auras the next day and the day after. In the six-month follow-up period, there was no further recurrence of MAS. Most previous reports of MAS have been associated with typical MwA, and there have been few other reports of MAS associated with TAWH as far as we could investigate.

摘要

偏头痛性眩晕状态(MAS)是偏头痛的一种罕见并发症,被列入《国际头痛分类第三版》附录中。MAS发生于有先兆偏头痛(MwA)患者中,在三天内至少出现三次先兆。我们描述了一例与一名有典型无头痛性先兆偏头痛(TAWH)患者相关的MAS病例。她仅经历过视觉先兆,包括MAS并发症发作期,未经历过头痛或其他先兆,如感觉、言语和运动性先兆。该患者为一名45岁女性。她每两到三个月会出现一次无头痛的视觉先兆不适。视觉先兆开始时双眼右侧视野的一部分逐渐变暗,其周围逐渐扩大,并被呈之字形向周边延伸的彩虹色闪光所环绕。视野异常区域在大约15分钟后逐渐缩小并消失。一天,她晚饭后出现了一次先兆,上床睡觉后无任何诱因醒来时,先兆再次出现并重复了约三次。第二天和第三天她又经历了三到四次先兆。在六个月的随访期内,MAS未再复发。既往大多数关于MAS的报道都与典型的MwA相关,就我们所能查到的而言,很少有其他关于与TAWH相关的MAS报道。

https://cdn.ncbi.nlm.nih.gov/pmc/blobs/7171/10699829/3c35374cc13f/cureus-0015-00000050062-i01.jpg

文献AI研究员

20分钟写一篇综述,助力文献阅读效率提升50倍。

立即体验

用中文搜PubMed

大模型驱动的PubMed中文搜索引擎

马上搜索

文档翻译

学术文献翻译模型,支持多种主流文档格式。

立即体验