Suppr超能文献

未成熟畸胎瘤:一例儿童期巨大肿瘤的病例报告

Immature Teratoma: A Case Report of a Monster Tumor in the Pediatric Age Group.

作者信息

Patel Drashti, Tayade Surekha, Sharma Sakshi, Reddy Lucky Srivani

机构信息

Obstetrics and Gynaecology, Jawaharlal Nehru Medical College, Datta Meghe Institute of Higher Education and Research, Wardha, IND.

出版信息

Cureus. 2023 Nov 18;15(11):e48989. doi: 10.7759/cureus.48989. eCollection 2023 Nov.

Abstract

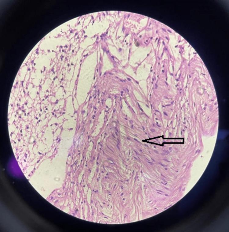
Immature teratoma is a rare type of germ cell tumor containing embryonic tissues that may be malignant. It usually occurs in young women and affects the ovaries. Teratomas exhibit benign clinical behavior, but they can return as teratomas or with malignant components, and in a small subset of individuals, the prognosis may be deadly. We will discuss a case of a 9-year-old female child who presented with pain and a huge lump in the lower abdomen that was suggestive of an ovarian dermoid cyst or a germ cell tumor on computed tomography (CT) abdomen pelvis and underwent exploratory laparotomy and debulking surgery. Histopathology results indicated that she had a grade 3 immature teratoma. Postoperatively, the patient received 3 cycles of bleomycin, etoposide, and cisplatin (BEP) as adjuvant chemotherapy with a good response. She is currently under regular follow-up and has no evidence of recurrence or metastasis. This case illustrates the importance of early diagnosis and treatment of immature teratoma, which can be cured with surgery and chemotherapy. It also highlights the challenges of managing such a large tumor in a pediatric patient.

摘要

未成熟畸胎瘤是一种罕见的生殖细胞肿瘤,含有可能恶变的胚胎组织。它通常发生于年轻女性,累及卵巢。畸胎瘤表现出良性的临床行为,但可能复发为畸胎瘤或伴有恶性成分,在一小部分个体中,预后可能是致命的。我们将讨论一例9岁女童的病例,她因下腹部疼痛和巨大肿块就诊,腹部盆腔计算机断层扫描(CT)提示卵巢皮样囊肿或生殖细胞肿瘤,随后接受了剖腹探查和肿瘤减灭术。组织病理学结果显示她患有3级未成熟畸胎瘤。术后,患者接受了3个周期的博来霉素、依托泊苷和顺铂(BEP)辅助化疗,反应良好。她目前正在接受定期随访,没有复发或转移的迹象。该病例说明了未成熟畸胎瘤早期诊断和治疗的重要性,通过手术和化疗可以治愈。它还凸显了在儿科患者中处理如此大的肿瘤所面临的挑战。

https://cdn.ncbi.nlm.nih.gov/pmc/blobs/9876/10726097/96eb5e62fd71/cureus-0015-00000048989-i01.jpg

文献AI研究员

20分钟写一篇综述,助力文献阅读效率提升50倍。

立即体验

用中文搜PubMed

大模型驱动的PubMed中文搜索引擎

马上搜索

文档翻译

学术文献翻译模型,支持多种主流文档格式。

立即体验