Suppr超能文献

口腔黏膜下纤维化临床分期与组织病理学分期的相关性:来自印度南部238例病例的临床病理认识

Correlation Between Clinical and Histopathological Stagings of Oral Submucous Fibrosis: A Clinicopathological Cognizance of 238 Cases From South India.

作者信息

Pandiar Deepak, G Priyadharshini, Poothakulath Krishnan Reshma, T N Uma Maheswari

机构信息

Oral Pathology and Microbiology, Saveetha Dental College and Hospitals, Saveetha Institute of Medical and Technical Sciences, Saveetha University, Chennai, IND.

Oral Medicine and Radiology, Saveetha Dental College and Hospitals, Saveetha Institute of Medical and Technical Sciences, Saveetha University, Chennai, IND.

出版信息

Cureus. 2023 Nov 20;15(11):e49107. doi: 10.7759/cureus.49107. eCollection 2023 Nov.

Abstract

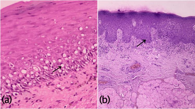
Background  This paper aims to descriptively present the clinico-demographic and pathological profile of 238 cases of oral submucous fibrosis (OSMF) with emphasis on the correlation between clinical and histopathological classification systems and the incidence of malignant transformation. Methods A total of 7098 oral biopsies were retrospectively retrieved over a period of 13 years, out of which 238 cases of OSMF were included in the present study. Data were analyzed for age, gender, habits, clinical symptoms, functional staging, histological staging, type and nature of epithelium, signet-ring cell changes, presence/absence of dysplasia or transformation squamous cell carcinoma, and treatment. Results Clinically and histologically, most cases were moderately advanced. Men outnumbered women. The prevalence of dysplasia was found to be 23.94% and the malignant transformation rate was estimated to be 13.8%. There was a significant correlation between clinical staging with age and histological grading. No correlation was found between histological staging and the age of the patients. Conclusions OSMF is a habit-related progressive chronic oral condition with a high malignant transformation rate. Multimodal treatment with auxiliary physiotherapy helps in the improvement of the clinical symptoms.

摘要

背景 本文旨在描述性地呈现238例口腔黏膜下纤维化(OSMF)的临床人口统计学和病理特征,重点关注临床和组织病理学分类系统之间的相关性以及恶变发生率。方法 回顾性检索了13年间共7098例口腔活检病例,其中238例OSMF纳入本研究。对年龄、性别、习惯、临床症状、功能分期、组织学分期、上皮类型和性质、印戒细胞改变、发育异常或转化为鳞状细胞癌的存在与否以及治疗情况进行了数据分析。结果 在临床和组织学上,大多数病例为中度进展。男性多于女性。发育异常的患病率为23.94%,恶变率估计为13.8%。临床分期与年龄和组织学分级之间存在显著相关性。未发现组织学分期与患者年龄之间存在相关性。结论 OSMF是一种与习惯相关的进行性慢性口腔疾病,恶变率高。辅助物理治疗的多模式治疗有助于改善临床症状。

https://cdn.ncbi.nlm.nih.gov/pmc/blobs/264d/10731393/e18e32903f98/cureus-0015-00000049107-i01.jpg

文献AI研究员

20分钟写一篇综述,助力文献阅读效率提升50倍。

立即体验

用中文搜PubMed

大模型驱动的PubMed中文搜索引擎

马上搜索

文档翻译

学术文献翻译模型,支持多种主流文档格式。

立即体验